



甲状舌管异常是甲状舌管残余上皮局限性持续存在的结果,可以以窦道的形式通往胸骨上切迹的皮肤组织,也可能伴有囊性扩张。当呈囊性改变时,被称为甲状舌管囊肿(thyroglossal duct cyst)。当与外界相通时,称为瘘。
1.肉眼观察 囊肿常位于颈部中线或近中线处,按其部位可分:①舌骨下,65%;②舌骨上,20%;③舌骨水平,15%。直径一般为2~3cm,表面光滑,边界清楚,触之有波动感。囊内容物为清亮黏液样物质,如继发感染则为脓性或黏液性内容物。
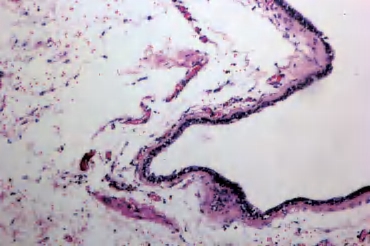
2.镜下 可见囊壁内衬假复层纤毛柱状上皮或复层鳞状上皮。纤维性囊壁内偶见甲状腺或黏液腺组织。合并感染者囊内可含脓性渗出物和坏死物,当囊肿穿破皮肤与外界相通时形成瘘管,也可与舌根部相通(图3-1)。
图3-1 甲状舌管囊肿右侧为囊壁组织
治疗采取手术切除。为了减少复发,手术应该包括切除舌骨的中1/3和可能存在的窦道的全长。
存在于甲状舌管异常中的甲状腺组织可以发生恶性变,通常表现为乳头状癌。预后极好,无须切除甲状腺。