



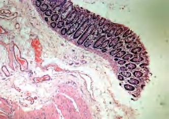
大肠管壁由黏膜、黏膜下层、肌层及浆膜构成(图2-7)。
图2-7 大肠自上而下依次为柱状上皮(固有层)、黏膜肌层、黏膜下层、血管、淋巴管、肌层
1.黏膜层由上皮、固有层和黏膜肌层组成。上皮为富含杯状细胞的柱状上皮。固有层内有散在的孤立淋巴小结。黏膜肌层由内环行和外纵行两层平滑肌组成。
2.黏膜下层为疏松结缔组织,内含较大的血管和淋巴管以及多量脂肪细胞。
3.肌层由内环行及外纵行两层平滑肌构成。内环行肌节段性局部增厚,形成结肠袋;外纵行肌局部增厚形成3条结肠带,带间的纵行肌菲薄甚至缺如。
4.浆膜在间皮下的结缔组织中常有脂肪细胞聚集形成的肠脂垂。