



CT引导下的各种介入诊断和治疗,穿刺针或者引流管如何准确到位是手术成功与否的关键。由于穿刺过程中不能实时显像,主要根据术者的经验和空间感,因此,寻求一些工具实现准确引导,防止术者的操作和影像靶点(靶区)“脱节”,是我国学者近年来的研究方向之一。为此我国学者做出了许多尝试,我们称这些工具为穿刺导航设备,本章将介绍目前具有代表性的穿刺导航设备及其优缺点和应用方法。
CT引导下的各种介入诊断和治疗工作都建立在精确定位的基础之上,本节主要介绍定位方法之一——两点一线定位法。
在CT引导中,我们通常使用定位栅格来定位,这种定位器可以帮助确定皮肤上的进针点,但是不能确定穿刺针的角度。很多情况下是术者根据自己的空间感觉来调整穿刺针的角度,使穿刺针到达病灶。这种方法依赖于术者的空间感觉,如果术者空间感好,则穿刺准,手术快,并发症少;但是如果术者空间感不好,就会使穿刺针偏离靶点,手术过程可能要经历很多次调整才能穿刺到靶点,这样手术时间会明显延长,患者创伤增大,引起并发症的机会增多。
在CT图像上,如果先确定靶点,再确定皮肤进针点,并将二者连成一条直线。如果能在体外找到并固定延长线上的某点,反过来从该点连接到皮肤进针点,那么进针后必定能穿刺到靶点。为此,我们设计了双层定位器来确定穿刺针的角度,其根本原理是“两点一线”,我们将其命名为两点一线定位法。
直线公理的内容之一是“过两点有且只有一条直线”,就是说从A点到B点连一条直线ab,那么直线ab就是经过A点和B点的唯一一条直线。然后我们画出ab的延长线,在延长线上找一个点C,则直线ab经过点A、B、C;如果从C点到B点连一条直线cb,则直线cb必然经过点A和C,现在直线ab和直线cb都经过点A和C,因为“经过点A和C有且只有一条直线”,所以直线cb和直线ab是同一条直线,则直线cb必然也经过点A。
我们把这条公理用在穿刺路径的设计上,假设我们准备穿刺的靶点是点A,我们常用的定位器在皮肤上标出的进针点是点B,直线ab是过两点的唯一一条直线,如果我们能找到那个在直线ab上的点C,只要让穿刺针的针尖在B点,穿刺针的尾端在C点,这样穿刺针沿着直线cb的延长线向前推进就能到达穿刺的靶点A(图4-1-1)。
图4-1-1 两点一线定位法病灶靶点、皮肤进针点和C点的模式图
为了确定并标记C点,我们设计了一种简易工具——双层定位器,在单排导丝做成的定位器基础上又加了一层相互平行的导丝,这样定位器就由两层导丝构成,靠近皮肤的一层我们称之为内层,远离皮肤的一层我们称之为外层,根据需要选择两层导丝之间的距离。定位器所用的材料可以进行高温消毒。把这个定位器贴在患者的皮肤上,进行CT扫描得到CT扫描图。
按照两点一线定位法,在CT图上确定靶点并模拟出进针路线,从而得到路线经过第一层和第二层定位线的位置(图4-1-2),显示进针路径为内层左侧第4个点和外层左侧第3个点。
在CT图上模拟进针路线并用两层定位线标记进针路径。利用CT机架的激光灯找到并标记定位器上的两个定位点。穿刺的时候穿刺针的针尖在靠近皮肤的内层定位点上,针的尾侧在外层的定位点上,稳定好针的方向,沿着这个方向进针即可直达靶点(图4-1-3)。
图4-1-2 按照两点一线定位法,在CT图上确定靶点并模拟出进针路线
图4-1-3 按照双层定位器进针,准确到达靶点
具体操作步骤如下:
1.除去患者欲检查部位的衣物。
2.患者采取适当的体位(仰卧、俯卧或侧卧)于CT检查床上。
3.CT扫描检查部位,大体确定穿刺的进针部位。
4.对进针部位周围的皮肤进行消毒。
5.在进针的大体位置处贴消毒后的双层定位器。
6.CT扫描检查部位。
7.在CT图像上设计穿刺路线。
8.记录穿刺路线所在的层面(CT检查床的床位)和经过定位器内、外层的位置,例如“内层左侧第6点,外层左侧第8点”。
9.把检查床移动到穿刺路线所在的位置并打开激光定位灯,用龙胆紫标记激光灯和定位器相应导丝的交点。
10.开始穿刺手术,穿刺针的针尖在定位器内层标记的点(B点),针的尾侧在定位器外层标记的点(C点),把握好针的方向不变针尖直达靶点。
(胡效坤 李兆栋)
粒子植入技术的关键问题是完成CT引导下粒子植入后,使术后粒子位置和TPS计划的粒子位置高度符合。为此产生了不少器械和设备,粒子植入可调角度模板是其中之一(图4-2-1)。
做CT引导下的粒子植入TPS计划,往往以CT扫描横断位来设计。一般来说,设计的针道会从身体的上方或斜上方引出。在执行粒子植入的时候,如果在体外有一个平面与设计的各个针道相交,平面上各个位置都有针道引导导柱,而这些导柱能够独立地精准调节TPS计划的针道倾斜角度,那么依靠该平面上的导柱就可以完成术前TPS计划的针道,避免徒手穿刺带来的穿刺针位置与TPS计划针道的误差。这就是粒子植入可调角度模板的基本原理。
粒子植入可调角度模板由六部分组成(图4-2-2):①主板。为固定针道导柱上端和其他部分的主体结构,可安装9排针道导柱,排与排间距1cm。每排有9个间距1cm的导柱安装孔,另外在安装孔之间有8个导柱预备孔。这样,只要CT计划的针道线与模板相交,针道导柱可以做出精度0.5cm的位置调整。②角度指示板。在模板的右侧有角度指示板,每排1个共9个。角度指示板上有电脑测算激光打印的双向各50°的刻度线。角度指示板的旋转方向,被定义为向左旋转为正,向右旋转为负,便于操作时医生理解一致。角度指示板上安装有CT下显影的钛丝,用来在CT下显示需要操作的排数。③导柱摆动槽。在模板的下方有9条与主板每排对应的导柱摆动槽,为安装针道导柱下端的活动性结构,槽上有与主板导柱安装孔对应的侧孔,槽的右侧为与角度指示板连接的孔。④角度板锁死旋钮。模板右侧有锁死角度板的螺丝状旋钮,调节针道导柱时需要松开,置入穿刺针时可以锁死。⑤角度板固定条。为将角度板固定在主板上的条形装置。⑥针道导柱。安装在主板上引导穿刺针方向,共有9排,每排9个,出厂时按照间距1cm安装,使用时可以调整位置。针道导柱中央的针道孔径与粒子植入用18G穿刺针紧密配合,长度2cm,起到限制穿刺针方向的作用。另外,针道导柱两侧有4个侧方凸起,该结构使针道导柱能以旋转方式安装到主板和导柱摆动槽中,也能以旋转方式取出。
图4-2-1 粒子植入可调角度模板
图4-2-2 粒子植入可调角度模板各部分关系示意图
可调角度模板机械原理为:旋转角度指示板时,角度指示板上的侧柱拉动导柱摆动槽,导柱摆动槽带动针道导柱的下端移动,而针道导柱与主板连接的部位不动。由于角度指示板和针道导柱与主板和导柱摆动槽的连接方式完全相同,所以角度指示板的旋转角度与针道导柱的倾斜角度完全一致(图4-2-3)。
图4-2-3 粒子植入可调角度模板机械原理图
粒子植入可调角度模板有两种使用方法:
(1)术前设计TPS:
粒子植入前TPS使用的影像应在一周以内,TPS设计完毕后也应尽快执行,以免肿瘤体积形态发生变化。患者在拍摄TPS使用的影像时,必须使用与粒子植入时相同的体位,并做简单的纵向体表标记线。可调角度模板不要求粒子植入时严格的复位,只要身体不发生大的左右摆动即可。使用粒子植入可调角度模板对TPS设计有一定要求,在设计时可以在体外用一根长度9cm的线段来模拟术中可调角度模板的位置,设计的针道尽量通过这个线段。当然少量针道在线段之外,可以在术中通过徒手操作或者两个模板并联的方法解决。还要估算各个针道从线段到针尖的长度,最大不能超过20cm,因为18G的穿刺针最大长度为20cm。
(2)固定可调角度模板:
粒子植入时在皮肤消毒、局麻后,将粒子植入模板通过支架固定在术前TPS计划中的模板位置,并不要求与计划完全相同,距离皮肤1cm左右即可(图4-2-4)。通过支架调整模板某一排针道与CT扫描层面重合(可以通过预置穿刺针来观察重合情况)(图4-2-5)。
图4-2-4 将可调角度模板通过支架固定于术前TPS计划中的模拟位置
图4-2-5 红色垂直线代表CT扫描平面,通过调节支架使模板移动,从而使通过针道导柱的穿刺针与CT扫描平面重合
(3)使用模板完成TPS计划针道:
CT下辨认术前TPS计划的解剖层面和针道位置,在CT屏幕上以线段重复出TPS计划的针道,如果线段与模板的相交处落在了模板的两排之间,则需要将支架向头侧或脚侧移动0.5cm。用CT自带的角度工具测量线段与模板相交的角度,记录各个针道的模板排数、针道导柱位置、倾斜角度、深度等数据,通过角度指示板调节针道导柱的角度至测量角度。
第一种使用方法,根据术前TPS的针道(术前TPS计划用平板电脑拍摄,放置于CT屏幕下方),在CT扫描下的相同层面恢复针道,根据CT下针道与可调角度模板的夹角、植入深度等数据,利用可调角度模板置入穿刺针。需要注意针道导柱是可以用手术弯钳旋转取出的,所以一排内的不同方向针道,可以通过植入好一个特殊角度,将针道导柱旋转取出,继续调整角度指示板达到其他针道角度的方法解决(图4-2-6)。
图4-2-6 每个导柱可以单独旋转取下,所以遇见某一排中有不同角度,可以先置入不同角度的穿刺针后,旋转取下导柱,继续调整其他导柱到指定角度,置入其他穿刺针
(4)植入粒子并留下验证影像资料:
当所有穿刺针都执行了以后,可以扫描确认针尖位置并做出与TPS计划尽量一致性的调整。严格按照TPS计划的粒子位置执行粒子植入。植入完成后不要移动模板,扫描留下TPS验证影像资料。
对于治疗时,TPS使用条件比较好的医院,可以仅在术前做TPS预估,在粒子植入时连同模板一起进行TPS计划,立即执行,这样完全不需要复位,执行精确度更好。具体步骤有:
(1)固定模板:
患者以合适的治疗体位CT扫描,评估治疗体表区域并消毒局麻,以模板覆盖治疗区域,以支架固定模板,调节支架至模板针道层面与CT扫描层面重合,方法同上。
(2)连同模板一起扫描,数据传输给TPS,立即计划:
告诉患者不要移动身体,将层厚0.5cm的扫描结果传输或以光碟拷贝至TPS。由熟练使用TPS的医生和物理师一起快速完成TPS计划,计划时的针道需经过模板,各排计划完毕,TPS各项剂量指标满意后,记录针道与模板相交处的排数、位置、夹角、深度等数据,或图像导入CT室屏幕,按计划执行。
(3)计划完毕后立即执行针道:
TPS的各项剂量学数据满意后,立即执行置入穿刺针和粒子植入工作。由于患者和模板都没有移动,通过调节模板的针道导柱角度,TPS计划的针道位置可以得到完美重现。
(4)植入粒子并留下验证影像资料:
与本节1.(4)内容相同。
这两种使用方法各有优缺点,根据医院和患者不同情况甄别使用。患者体质较弱,不宜耐受长时间治疗体位,以及医院不具备TPS在术中使用条件的情况下,应该使用第一种使用方法。第二种方法更加精准,但是治疗时间会稍有增加,而且要方便、熟练地使用TPS。无论哪种方法,与术前TPS的剂量学比较结果都是令人满意的。
(宋永春 雷光焰)
1999年北京大学第三医院的王俊杰教授在国内率先开展了影像引导下的放射性粒子植入术,开创了我国放射性粒子植入近距离治疗肿瘤的新篇章。目前放射性粒子植入已被广泛应用于头颈部肿瘤、肺癌、局部晚期胰腺癌、复发性直肠癌、脊柱复发肿瘤和转移癌、前列腺癌和恶性管腔梗阻等全身各部位肿瘤的治疗。
众所周知,决定放射性粒子疗效的两个关键因素是靶区和剂量,如何实现剂量的精准是目前亟待解决的问题。到目前为止,除前列腺癌以外肿瘤的最佳剂量仍没有找到,原因是既往除前列腺癌以外的肿瘤大都采用徒手穿刺的方法,虽然有影像学引导,但高度依赖个人经验,随意性较强,难以按照术前计划精确布针;难以保证同一层面的多个穿刺针平行等距;难以保证不同层面的多个穿刺针平行等距;遇到骨骼遮挡,容易改变进针方向,术后与术前剂量差别较大,容易出现剂量学冷点和热点,导致肿瘤局部剂量不足或邻近正常组织剂量过高;难以做到同质化和标准化,难以普及和推广。
最近,国内学者对3D打印非共面模板引导粒子植入的剂量学进行了对比研究,发现术前与术后剂量学无差别,认为对于比较固定的肿瘤,有望成为重复性好的标准术式。非共面模板也存在以下缺点:针道预制在模板上,术中一旦患者肿瘤位置与体表发生相对位移,由于无法调整模板针道方向,会导致无法继续应用模板;对于在肺部等移动幅度较大的肿瘤,应用起来尚有一定困难。
共面模板也称平面模板,是一种一次性成型的制式模板,按照0.5cm间距打孔,制作方法包括3D打印机打印、激光打孔及铸模法,可以制作成8.0cm ×8.0cm和10.0cm ×10.0cm等多种规格,由于模板表面有多个针道可以选择,应用时不需要复位。对于肺、肝等移动度较大的器官,可以先在肿瘤中心层面上植入2~3根固定针,使肿瘤与模板快速地“捆绑”在一起,使肿瘤所在的区域由“运动状态”变为“相对静止状态”,然后再按照术前计划依次进针,一定程度上解决了移动脏器布针不够准确的难题。
碳纤维平板床、真空负压垫、抽气泵、导航支架、数字化水平仪或者角度仪、激光灯等。
所有患者术前3天行强化CT扫描,依据病灶部位采取仰卧、俯卧、侧卧等体位,真空负压垫固定。拷贝DICOM格式CT图像传输至近距离TPS设计术前计划,临床医生与物理师共同勾画肿瘤靶区体积(GTV)和邻近危及器官(OAR),设定处方剂量和粒子活度,根据病灶位置及与周围重要脏器的关系,设计进针路线,模拟粒子空间分布,确定粒子间距及排布方式,计算粒子数目,计算GTV及OAR的照射剂量,得出剂量体积直方图(DVH)及逐层等剂量分布图。
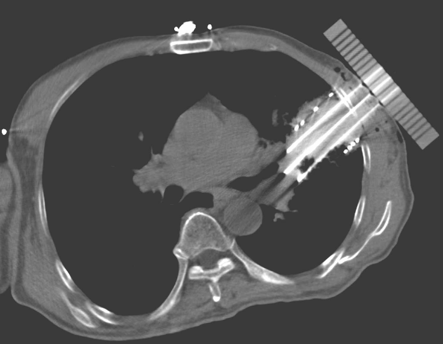
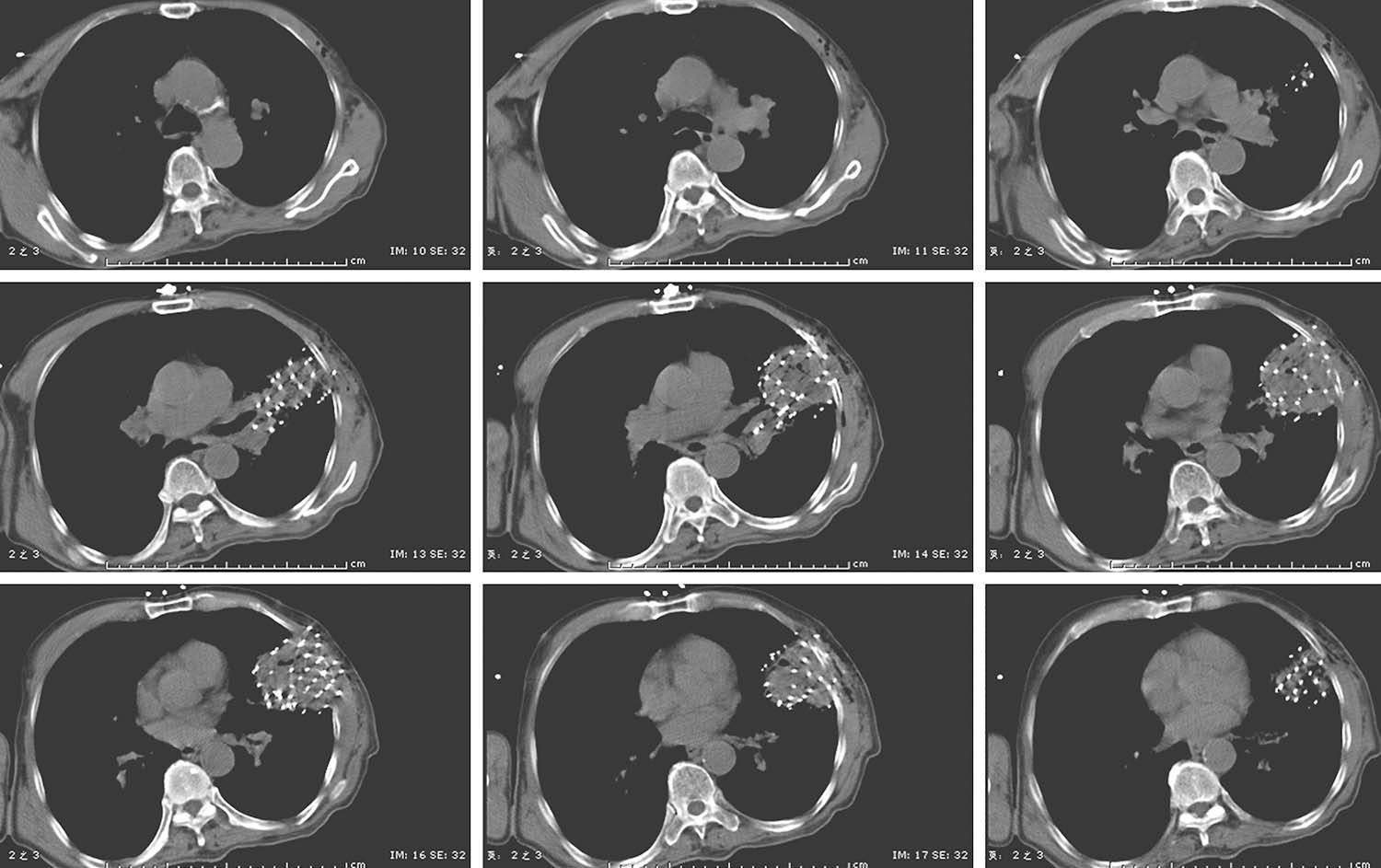
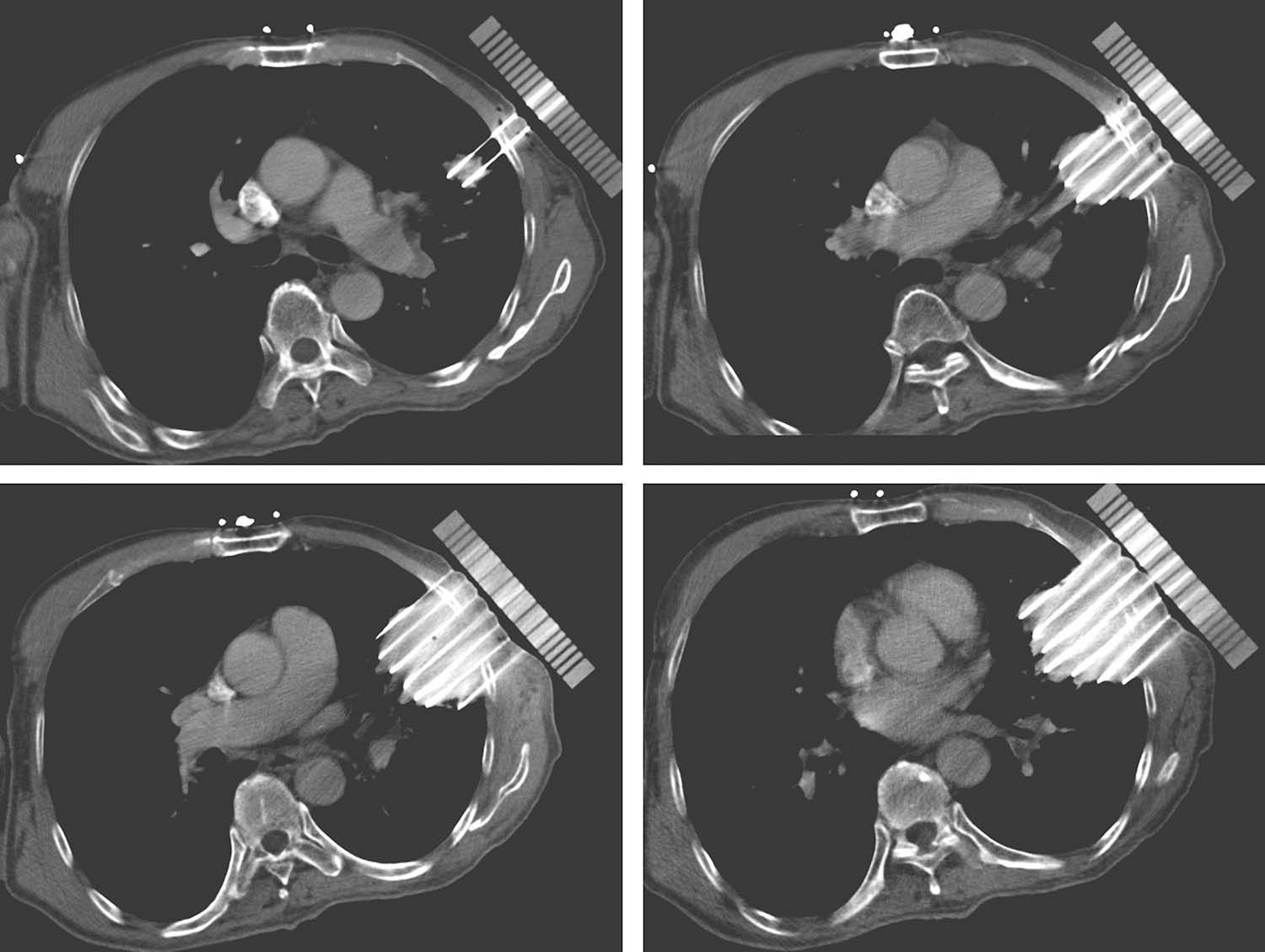
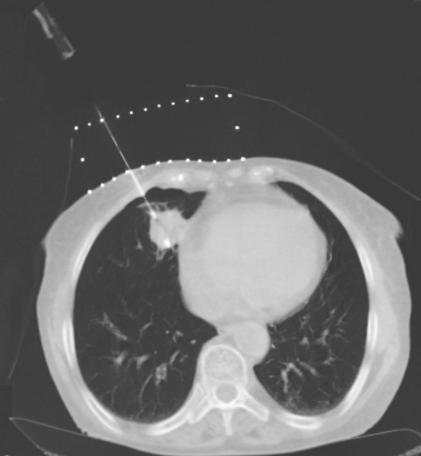
患者取与术前CT扫描相同体位,真空负压垫固定体位,防止穿刺过程中因体位变动给穿刺带来的不利影响。将导航支架与CT碳纤维床板相连接,以0.5cm层厚扫描,选取病灶中心层面,将一个预定进针点在皮肤表面做出大十字标记,消毒、铺巾、局麻,安装模板,用激光灯校准模板,使激光灯的 x 轴和 y 轴投影与模板表面的标记线相重合,利用数字化角度仪或者水平仪调整模板的角度和方向,使模板在 y 轴方向的角度为零,调整 x 轴方向的角度,与术前计划保持一致。选择病灶中心层面,参考术前计划,将数根穿刺针抵达皮肤表面,扫描观察针尾走行方向,再次校准模板,然后测量进针的深度,完成该层面的进针,如果是肺等移动度较大的脏器,可以先插入2~3根固定针,将病灶与模板迅速“绑定”(图4-3-1),然后再依次完成其他层面的进针,如果遇到坚韧骨骼遮挡,使用捻针或骨钻打孔技术破骨插植,待完成所有层面的进针以后再植入粒子。
测量各层面的进针深度,依据术前计划逐层植入粒子,在拔除穿刺针之前,再次行CT扫描,仔细观察粒子的分布情况,如果发现粒子聚拢或者移位,即刻进行补种。术毕即刻大范围扫描,进行术后剂量评估。
将术后即刻扫描得到的图像传入TPS行术后验证计划,勾画靶区、危及器官,识别粒子,得出等剂量曲线分布及剂量体积直方图。GTV剂量学参数包括D 90 、D 100 、V 90 、V 100 、V 150 、V 200 ,以适形指数(CI)评价剂量分布的适形度,以靶区外体积指数(EI)描述靶区外接受超过处方剂量体积占靶区体积的百分比,以均匀性指数(HI)用于评价剂量分布均匀性。
图4-3-1 进针过程
(1)避免了徒手穿刺的随意性,能够按照术前计划精确布针。
(2)能够保证同一层面和不同层面的多个穿刺针平行等距,实现术前计划与术后验证的吻合,特别对于大体积肿瘤更有优势。
(3)降低粒子植入的技术难度,有利于标准化术式的建立。
(4)能够做到同质化和标准化,便于推广和普及。
(5)价格低廉。
(1)由于针道方向不能灵活改变,只能用于共面布针的肿瘤,多用于病灶形态较规则、穿刺方向单一、进针路径无危及器官阻挡的病变,不适合需多角度非共面植入的病灶。
(2)遇到骨骼需要“打孔”,“打孔”虽然属于“微创”,但依然有一定的创伤,特别是肋骨“打孔”有损伤肋间动脉的可能,应做好预案。
(3)有时“打孔”后穿刺针会偏离预定方向。
(4)遇到成骨性病变“打孔”困难。
(5)虽然有模板引导,斜面针长距离穿刺依然存在“偏针”现象。
(6)与非共面模板相比,针道增加。
(1)插针之前要大范围扫描,观察模板在上、下、左、右方向能否覆盖肿瘤。
(2)模板尽量不要悬空,尽可能紧贴皮肤或者骨骼,防止进针过程中模板移动。
(3)虽然有模板引导,但斜面针长距离穿刺依然会出现“偏针”,可以采取分步进针的方法,通过调整针尖斜面方向,修正针道的偏移。
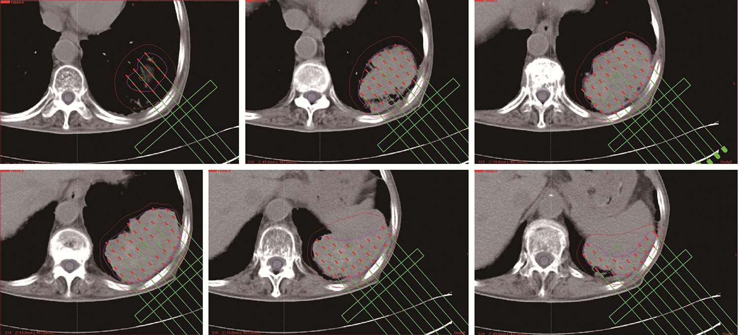
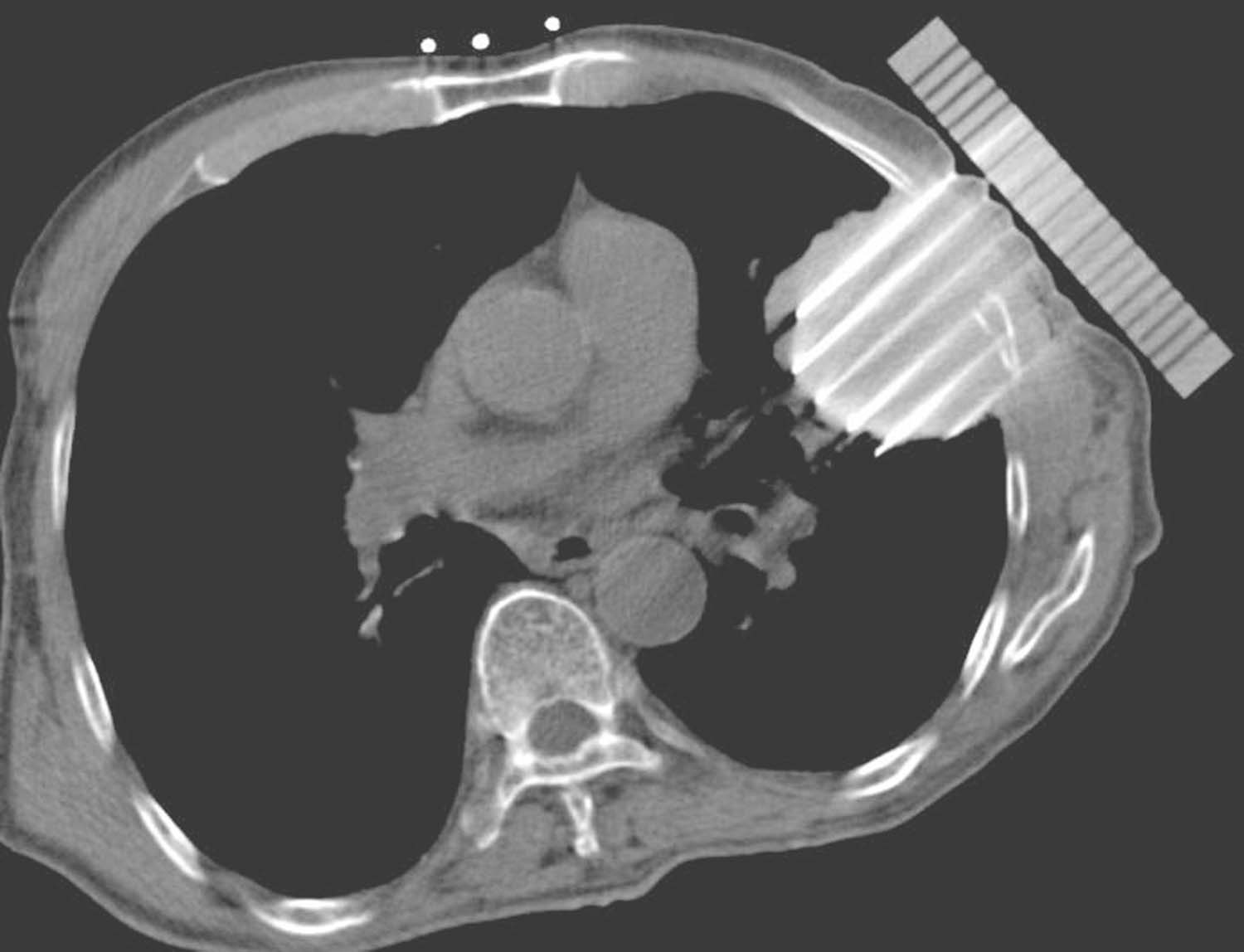
例1 患者男性,72岁,左肺鳞癌侵犯胸壁并同侧肺门淋巴结转移,T4N1M0。2018年1月16日行共面模板引导放射性粒子植入术(图4-3-2~图4-3-7)。
图4-3-2 术前布针三维重建图
图4-3-3 模板引导,完成选择层面的进针
图4-3-4 依次完成其他层面的进针
图4-3-5 完成肺门病灶的进针
图4-3-6 完成肺门病灶的粒子植入
图4-3-7 术后等剂量分布图
例2 女性,76岁,左肺周围型腺癌,T4N0M0,2017年10月12日行共面模板引导放射性粒子植入术(图4-3-8~图4-3-13)。
图4-3-8 术前针道设计
图4-3-9 术前针道分布三维重建图
图4-3-10 共面模板引导,一次性完成所有层面进针
图4-3-11 术后等剂量分布图
图4-3-12 术后粒子分布三维重建图
图4-3-13 术后7个月复查,病灶明显缩小,疗效部分缓解
(张开贤)
125 I放射性粒子植入术是在CT、超声、MRI等影像学手段引导下,将 125 I粒子直接植入肿瘤组织内,对肿瘤组织进行持续性、近距离杀伤,属于近距离放疗的一种。时至今日,CT引导下 125 I粒子植入治疗仍然存在以下难题:①术后粒子位置及剂量与术前计划难以达到一致,不能达到更精准有效治疗,导致肿瘤复发或并发症发生;②术中人工穿刺,存在损伤重要脏器或血管风险;CT多次扫描,医疗辐射增加;调整穿刺路径,手术时间长。针对以上问题,一种通过3D打印模板引导 125 I粒子植入的新技术应运而生。
3D打印模板是根据患者医学影像数据量身定制的与解剖结构、穿刺进针路径相匹配的个性化适形模板。术者术前根据患者的肿瘤及正常器官的解剖学信息,应用计算机进行个体化设计,针道方向可任意角度调整,模板带有针道位置、方向及粒子位置信息,设计完成后输出CT序列和所有针道的空间位置坐标,对CT、针道坐标及需要打印的区域的皮肤轮廓重建,根据临床要求,生成并输出打印文件,应用3D打印机制作出3D微创引导模板。在此模板的引导下可准确穿刺至肿瘤内部同时避免损伤正常器官。
目前国内大量研究证实了3D打印模板引导的粒子植入有明显优势:①最大限度使术前术后粒子位置及剂量学指标一致;②穿刺位置精准,有效避开血管、骨骼、重要脏器,减少手术操作并发症的发生;③操作简便,缩短了手术时间,显著减少了患者所受辐射剂量。
3D打印模板完全克服了传统粒子植入方法的定位误差大、CT扫描次数多、必要时需要骨骼打孔等问题,针道可为任意方向,在有效避开危及器官的同时精准穿刺至肿瘤。本项技术首次通过患者术前影像个体化设计模板,然后用3D打印技术打印出带有针道位置、粒子位置、肿瘤剂量等信息的模板,首次让模板具有了数字化的内涵,使肿瘤的微创治疗迈向了精准治疗的新阶段。虽然3D打印模板仍有不足,如手术时复位有一定误差、计划设计与手术 隔时间较长、肿瘤位置改变会使模板无法应用、肿瘤大小变化导致手术策略调整困难、穿刺路径远时针 位置偏移大等,但是经过我国学者的努力,这些不足正在逐一被解决。随着3D打印模板引导粒子植入标准化流程的建立及医生应用模板的技术的提高,不远的将来3D打印模板引导的粒子植入手术很有可能成为某些部位肿瘤的标准化治疗方法。
3D打印模板的组成及功能(图4-4-1):
此为患者解剖学信息、针道位置信息、粒子位置信息、剂量学信息的载体。因其与患者体表轮廓完全适形,手术中复位时相对简单,按照患者对应的体表轮廓放置在患者体表即可。
此孔主要目的为保证模板在手术中复位的准确性,虽然模板与体表适形,但是实际操作过程中仍有一定误差,因此,手术中需将模板的定位复位孔与患者定位时在体表所做标记重合,以最大限度保证模板位置准确。
图4-4-1 3D打印模板的组成结构
此十字线主要目的是减少复位时模板在水平位方向和矢状位方向的误差。术中需要用CT的十字激光线与此十字交叉线相重合。
显示模板的头脚侧的方向,防止模板倒置。
此孔包含植入针的穿刺位置及穿刺方向的信息,一旦模板复位准确无误,从预先设计好的穿刺引导孔进针即可准确避开危及器官穿刺至肿瘤中的预计位置。穿刺过程中不用反复扫描CT。
此标记主要用于术中识别针道,便于按照术前计划穿刺并植入粒子。特别是在肿瘤较大、穿刺针较多时,能充分体现出针号标记的重要性。可大大减少植入粒子时因识别针道困难导致的误差,同时提高手术效率。
此孔位于针道引导孔的前后左右四个方向,均距离穿刺引导孔5mm,当穿刺引导孔中的针道有5mm左右的穿刺误差时,可根据CT影像在相应位置的辅助穿刺孔中平行于穿刺引导孔中的针道进针,从而准确穿刺至肿瘤内计划的位置。
此通道用于术中处理特殊事件,如气胸时可从应急通道穿刺置管引流等。
患者的术前摆位与定位应在术前一周完成,需要物理师与临床医师配合,应用负压真空垫按手术体位固定患者,在肿瘤体表投影皮肤上,利用标记点与激光线定位,一般可间隔3~4cm,贴2~3个标记,同时在皮肤上画出 x 轴及 y 轴激光线位置,为术中复位做基础;定位后行强化CT(层厚5mm),观察肿瘤的大小、位置及其与邻近重要脏器、血管的关系,于体表描画定位点。
由三位肿瘤科医师共同商议决定治疗方案,主治医师确定处方剂量,并与物理师讨论后决定。根据医师给予的处方剂量,应用计算机治疗计划系统(TPS)在粒子植入术前一周做出术前计划,告知医师需要的粒子活度、数目、肿瘤的周边剂量及危及器官剂量。具体步骤如下:
(1)将患者的CT图像传到TPS,选择层厚5mm的CT图像,进行术前计划,临床医师与物理师同时勾画危及器官及肿瘤靶区(GTV),然后根据不同肿瘤的生物学行为及放疗敏感性外扩一定范围得出CTV。
(2)选择合适的粒子活度,根据主管医生所给处方剂量,规划穿刺路径,规避危及器官,设计针道位置,载入粒子,使处方剂量等剂量曲线包绕靶区,避免靶区内冷点和靶区外热点,得出粒子数及DVH图,通过对D 90 、V 90 、V 100 、V 150 、EI、DHI、VI等剂量学参数进行评价。
本步骤为术前计划设计的关键步骤,有如下要点需要特别注意:
1)勾画靶区和危及器官:靶区勾画尽量遵循外放疗原则,如肺肿瘤一定在肺窗勾画靶区,按不同肿瘤生物学行为外扩一定范围形成CTV。同时准确勾画危及器官,包括可能被手术穿刺损伤的器官和可能出现辐射损伤的危及器官(图4-4-2)。
2)三维重建皮肤、骨骼、靶区及危及器官(图4-4-3):大体观察可能的进针路径,首先看是否肿瘤的各部位均可用共面针道穿刺到位,如果不能完全用共面针道解决,则观察可行的非共面针道进针路径。
图4-4-2 勾画危及器官
图4-4-3 三维重建皮肤、靶区及危及器官
3)设计定位针道:尽可能在肿瘤中心层面处设计2根垂直于皮肤表面的针道,此针道将作为手术时的定位针道。如因解剖结构限制,不能保证垂直,则角度要尽可能小,这样在术中定位时因侧方应力导致的误差可降到最小。从而保证定位针位置准确。
4)设计其他针道:所有针道尽量距离危及器官有一定距离,至少5mm,以最大限度降低穿刺误差导致的危及器官损伤。物理师所设计的进针路径一定要与手术医师充分沟通,保证每一根针道可安全准确地穿刺到肿瘤内部,如无特殊情况,选择共面针道和最短的穿刺路径,因为共面针道在CT扫描时可显示在同一CT水平层面上,手术时容易观察植入针的位置并与术前计划对比。穿刺路径太远,手术时植入针针尖容易因各种原因偏移,会导致剂量偏差。针道尽量位于肿瘤周边,多数肿瘤周边分布粒子即可满足剂量要求,同时周边分布粒子可减少针道数目,从而减少穿刺损伤。针道的层间距最好控制在1cm,因为层间距太小手术中植入针识别困难,层间距太大时容易导致剂量不足,往往需要增加针道数目来弥补剂量不足。尽量避免交叉针道出现,因为针道交叉时会导致一根穿刺针被另一根穿刺针阻挡,导致针道偏移。一定遵循最简单、易操作的原则。
5)载入粒子:针道设计好后可自动或手动载入粒子,可根据不同的剂量要求及粒子活度载入粒子,如计划有逆向计算功能,可输入要达到的剂量学指标,电脑自动计算粒子的位置和数目。如无此功能,需人工载入粒子,如果粒子活度较小,可间距5mm载入粒子,如果活度较大,可选择间距1cm或1.5cm,尽量等间距载入粒子(图4-4-4),载入所有层面粒子后逐层查看剂量分布情况,必要时可调整植入针位置或增减粒子,使处方等剂量线完全包绕靶区。避免靶区内出现冷点,靶区外出现热点,遵循粒子数目最少原则。
6)计算剂量分布得出DVH:调整好肿瘤内剂量分布及粒子位置和数目后即可输出DVH,在DVH上查看曲线的大体走行、靶区和危及器官剂量参数(D 80 、D 90 、D 100 )和体积参数(V 90 、V 100 、V 150 )。D 90 ≥处方剂量,V 90 ≥90%,V 150 <100%为计划评价最低要求。如达不到此要求,则需要重新调整粒子数目和位置。
图4-4-4 等间距载入粒子
(3)计划完成后请医师审核,根据医师意见调整针道、粒子位置,优化靶区及危及器官剂量。
(1)体位固定与麻醉:
根据术前计划体位摆放患者手术体位,打开CT的定位激光线,令 x 轴、 y 轴激光线分别与患者体表所画定位线相吻合,采用真空负压垫固定。给予静脉全麻或局部麻醉。根据手术部位消毒术野,严格执行无菌操作技术规范。
(2)模板复位:
消毒铺无菌巾后将消毒好的模板贴合在患者体表。使模板的定位复位孔与术前患者体表标记的位置重合,然后打开CT激光灯,令 x 轴、 y 轴激光线分别与模板的定位交叉线重合,进一步校准模板位置,保证位置准确。
(3)穿刺定位针:
选择肿瘤中心层面上术前计划中作为定位针的2根共面针道,局麻后穿刺两根定位针,此时一定注意保持此定位针的共面。可用激光灯确定(图4-4-5)。
(4)定位针位置校准及穿刺:
定位针穿刺完毕后扫描CT,观察定位针的位置及方向,与术前计划此两针位置对比,如果完全一致,将其他针道引导孔的位置和方向与术前计划一一对应,如果所有针道位置准确无误可将其他植入针从模板引导孔穿刺入肿瘤,进针深度为预计深度的三分之一。如果定位针位置与术前计划不一致,则需要精确测量定位针位置与术前计划位置的纵横两个方向上的距离,然后用激光线辅助调整模板位置,重新穿刺定位针,行CT扫描,再次对比定位针位置与术前计划针道位置差别。直到两者位置吻合后再按照术前计划在对应的针道内穿刺所有粒子植入针。需特别注意的是穿刺时一定随时观察共面植入针是否共面,可用激光线校准。
(5)微调植入针位置后植入粒子:
所有针穿刺到预计深度三分之一后行CT扫描,然后观察植入针位置与术前计划的差异,如果完全吻合,继续进针到预计深度,如果不吻合,差别较小者可将针拔出至皮下重新穿刺,差别较大者可根据此针位置,在其周围的辅助穿刺孔重新穿刺植入针。待所有植入针达到预计位置后按术前计划植入粒子。植入完成后,进行CT扫描,确定各层面植入的粒子分布及粒子数是否与术前计划一致,如有粒子稀疏或遗漏,应立即补充植入,以满足术前治疗计划的剂量要求。同时观察有无出血等并发症,及时对症处理。有条件者可做术后即刻剂量验证,无条件者术后3天内完成术后剂量验证。
图4-4-5 激光线校准模板位置后定位针道穿刺定位针
患者王某,男性,76岁,前列腺腺泡腺癌,Gleason评分3+4=7分。分期T2aN0M0,中危。行放射性粒子植入治疗,设定处方剂量145Gy,粒子活度0.4mCi(1mCi=37MBq)。
术前手术体位真空垫固定患者,行CT扫描,勾画靶区及危及器官,三维重建,查看靶区与危及器官的解剖关系(图4-4-6)。根据医师给定的处方剂量及粒子活度设计进针路径及粒子分布,计算等剂量分布,得出术前DVH图。计划审核无误后将数据传送至3D打印机打印模板。
术中根据术前计划体位摆放患者手术体位,采用负压真空垫固定,消毒铺巾后再次激光线定位患者。患者位置无误后将模板放置于患者体表,激光线校准模板位置。然后在预设的定位针道内穿刺定位针,激光线校准位置。定位针穿刺到位后扫描CT,观察定位针实际位置与术前计划一致后穿刺其他植入针,所有植入针到位后扫描CT,确认植入针实际针道与术前计划是否一致,如果不一致,可在相应辅助孔重新穿刺。所有针道位置无误后按照术前计划植入粒子。粒子植入完毕后扫描CT,比较实际粒子位置与计划位置是否一致,如有剂量不足区域及时补植。(图4-4-7)
图4-4-6 三维重建查看靶区与危及器官的解剖关系
图4-4-7 模板位置无误后在模板引导下一次性穿刺所有穿刺针
(张宏涛 王 娟)
肺内小微结节是胸科较为常见、又难以明确诊断的一种疾病,肺内小微结节的诊治一直是临床上的难点和学术讨论的热点。Fleishner协会术语命名委员会描述肺结节是:小的、类球形的、局限性的不规则阴影,直径小于等于3cm。结节最大直径小于等于2cm的,被称为肺小结节;结节最大直径小于等于1cm的,被称为肺微小结节,我们将这两类直径较小的结节统称为肺小微结节。
随着低剂量薄层扫描CT在癌症初期筛查中的逐渐普及,肺内小微结节已经能够尽早发现。在各种肺癌筛查试验中,结节的检出率已经从2004年的8%升至2014年的51%,其中恶性结节的检出率从0.2%升至18%。
肺内小微结节分为良性结节(包括炎性假瘤、错构瘤、结核球、肉芽肿、硬化性血管瘤等)和恶性结节(包括原发性肺癌、肺转移瘤),另外还有一部分以不典型上皮内瘤变为主要表现的癌前病变。
目前,临床医生主要根据结节的影像学特征结合其动态变化的情况,来判断结节的良恶性,但是有些较小的恶性结节在早期就会发生转移,通过动态观察来判断结节的良、恶性,可能延误患者的治疗时机。不同的医生对怎样测量结节的大小、如何评估结节的生长情况等问题,仍无法取得统一。临床实践表明不同读片人对肺内结节良恶性判断的主观差异变化很大,即便是PET-CT检查仍无法明确结节性质,做出确切的诊断,故组织学检查是肺内小微结节明确诊断的“金标准”,也是唯一方法。
现阶段临床较为常见的组织取材方法主要有胸腔镜下切除及经皮穿刺活检。传统的开胸探查结节活检术因创伤大、术后恢复慢、并发症多、费用较高等问题,已不是肺小微结节组织取材的主要途径。所以,目前肺内小微结节组织取材最简便、创伤最小、费用最低的方法就是经皮穿刺活检。但是结节体积小,并且随患者的呼吸而产生较大幅度的移位,导致徒手穿刺活检很难一次性取材成功;加之肺的解剖生理特点,不允许活检针在肺内反复调整方向(很可能造成气胸、肺内出血等并发症而无法继续手术),故肺内小微结节的穿刺活检必须使活检针一次性精准穿刺到位并成功取材。
我们通过借鉴和学习天津医科大学第二医院应用三轴直角坐标系导航支架联合穿刺模板及CT引导下肺恶性肿瘤放射性 125 I粒子植入技术,并进一步改良了穿刺设备、优化了穿刺操作的流程,使肺内小微结节穿刺活检的成功率得到了显著提高,使穿刺活检技术得以程序化。相关临床医生通过较短时间的规范化培训、学习,便可以熟练地掌握CT及共面模板引导下肺小微结节精准穿刺活检这项实用的技术,实现了穿刺活检手术操作流程的标准化、规范化,使得这种穿刺活检方法和理念能够复制并得以传承。
1970年美国纽约纪念医院实施了直肠超声引导下经会阴放射性粒子植入治疗前列腺癌,通过不断实践,逐渐形成了现在的麦克系统。麦克系统是通过使用孔距为5mm的平行矩阵式穿刺模板引导穿刺PTC针进行前列腺组织的精准穿刺,在前列腺肿瘤靶区达到处方剂量(14 500cGy)保证治疗效果的同时,使尿道、直肠等重要器官接收到的放射剂量低于安全放射剂量。要做到以上的剂量分布要求,重要的一点就是要使放射性粒子在前列腺组织中的空间分布位置合理而精确,所以精准穿刺是保证粒子位置分布合理的前提。
2002年开始,天津医科大学第二医院医生团队成功地将前列腺癌粒子植入穿刺模板应用于胸部肿瘤的放射性粒子植入中,提高了穿刺精度及胸部肿瘤放射性粒子植入治疗效果,有效降低了治疗的风险。但是肺部解剖结构、生理特点与前列腺有明显差异,肺部肿瘤会受到呼吸运动的影响而发生移动,肺组织较为柔软并且有肋骨遮挡,导致肺部肿瘤粒子植入穿刺时穿刺针并不会向前列腺癌粒子植入时那样保持平直,常偏离预定穿刺通道,造成穿刺不准确,从而降低穿刺活检取材的准确性和穿刺手术的安全性。
为了解决上述的技术难题,我们发明了双层穿刺模板,它的主要结构是将两块一模一样的穿刺模板上下平行放置,两层模板之间间隔为2cm(模板厚度为1cm,故两层模板的总厚度为4cm)固定在一起,利用两点确定一条直线的基本几何原理,可以有效地克服穿刺针在穿刺过程中可能发生的偏移,确保穿刺针在整个穿刺过程中始终精确的保持在预定穿刺方向,从而保持穿刺的精准度。
包括CT床定位平板、真空体位固定袋(0.9m×1.6m)、旋片式真空泵(10Pa)、CT床固定连接支架底座、悬臂式三轴直角导航支架、双自由度角度感应模块、倾角显示仪、孔径为17G的穿刺模板。
定位固定针:所使用固定针为PTC针,长度为15cm。活检枪:所使用活检枪为18G/15cm同轴全自动活检针,活检套管针长度为11.7cm,针体外径17G(1.37mm),内径18G(1.27mm),针尾直径9.5mm,针尖为三菱针尖。活检枪发射长度分为13mm、23mm、33mm三个挡位,枪体最大长度为15.0cm、最小长度为13.0cm,枪体外径18G,头为类三叉戟型垂直切割刀头,内部针尖为三菱针尖。
经过院内多学科会诊(包括呼吸科、影像科、胸外科、病理科、介入科等),对患者的CT图像、化验结果、相关病史、查体结果等进行综合分析,依照相关指南及专家共识,对结节进行风险度分层。对低度风险的结节定期复查,并观察动态变化结果;对高度风险的结节建议其尽快穿刺活检明确诊断;对中度危险的结节争取患者及家属的同意,选择性的确定手术患者。
(1)术前CT扫描:术前应根据患者肺内结节的位置及与周边危险器官的位置关系,拟定好手术体位,并让患者在此体位并平静呼吸的情况下行相关区域(结节附近的几个层面)薄层(1.0~0.65mm)扫描,依此平静呼吸时的CT图像验证拟定的手术体位是否合适、结节位置变化的幅度以及平静呼吸状态下结节与肋骨、肋间的位置关系。
(2)术前1小时对CT手术室进行环境消毒(空气消毒+紫外线灯照射),并调节室内温度及相对湿度。术前应对CT球管进行预热并进行扫描精度质量控制校对,避免出现术中死机等意外情况的发生。
(3)安放CT连床、定位平板并在泄压状态下铺放负压体位固定袋,为避免消毒碘伏、酒精、血液等污染体位固定袋,可在其上铺放成人尿垫或一次性医用看护垫。
(1)协助患者摆放手术体位,此时CT床两旁都要有医护人员守护,避免患者翻身时发生坠床事故。
(2)摆放好手术体位之后,再连接心电监护并给予面罩吸氧,需要使用留置针在患者的上肢建立静脉液路,为了方便手术建议连接一根长度在1m左右的液路延长。完成以上管路连接工作后,需整理一下电线管路、氧气管路及输液管路,避免各种管路硌着患者或因压迫导致管路不畅通,必要时可使用胶布加以固定,避免因CT床的移动而导致相关管路进入无菌术区。
(3)在体位固定袋处于泄压状态时,根据结节的位置合理安放导航支架。此时需要注意:导航支架应安装在肿瘤足侧以下或头侧以上,不可使固定器与肿瘤在同一扫描层面,避免扫描时产生金属伪影而影响对结节的观察。启动真空泵使体位固定袋塑形,固定患者体位。体位固定袋应对患者进行“凹”字形包裹,而不是“口”字形的全面包裹,以便于在紧急情况下能迅速改变患者体位。
(1)行第一次CT扫描:其目的是寻找到结节的准确位置,所以第一次扫描应为大范围扫描,层厚需依据所选模板的孔间距确定,要做到与孔间距一致。定位像宽度拉至最大,扫描范围可上下调节,但不可使中心线左右调节,否则会出现CT机正中线与图像模拟正中线无法重合的情况,造成定位偏差过大。
(2)先找到结节的最头侧层面及最足侧层面,并在这两个层面之间找到结节最大截面所在的层面,之后在这个层面里找到最宽的肋间隙,再判断如果从这一肋间刺入活检针,其穿刺路径是否能够避开大血管、大气管等危险器官。如果无法避开危险器官,则放弃从这一肋间进针,退而选择次宽肋间,判断进针的安全性。直至找出一条安全有效的穿刺通路,找到穿刺通路后还需要判断穿刺结节远端的安全性。
(3)确定穿刺通路后,寻找到以下数据并填写“Y”字形公式:结节最头侧层面、结节最足侧层面、结节最大截面所在层面、穿刺路径在 x 轴与水平线的夹角、皮肤进针点与正中线位置关系。
(4)依据“Y”字形公式,在患者的体表找到模拟进针点,并用深色油性记号笔做好标记。
(5)术区消毒、麻醉成功后,在导航支架上安装穿刺模板,套无菌保护套,并使模板上的孔能够覆盖住穿刺区域,调整模板角度,并使用CT机上的激光线进行校正(图4-5-1)。
(6)行第二次CT扫描:其目的是确定定位固定针的进针位置与深度。选择在模拟进针点周边1~2cm的肋间,刺入定位固定针,即在肺内结节的周边刺入定位针,对结节周边局部肺组织起到固定作用(图4-5-2)。
图4-5-1 利用CT机上的激光线进行校正
图4-5-2 穿刺定位固定针
(7)定位固定针穿刺位置的选择:①在模拟穿刺点周边半径1~2cm的范围内选择穿刺点;②选择定位固定针穿刺点的时候,尽量避免在模拟穿刺点的正头侧或正足侧进行穿刺,以避免定位针抢占活检针穿刺点位的情况发生;③在保证安全的前提下,定位固定针穿刺进针深度要达到或略超过结节深度,这样不仅可以更好地起到固定的作用,还可以避开顺针尖方向产生金属伪影。
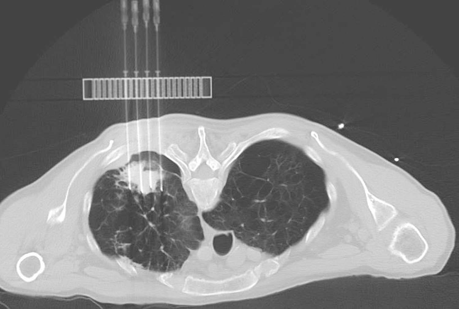
(8)行第三次CT扫描:其目的是依定位固定针与所要穿刺结节的位置关系,来矫正同轴套管针的穿刺进针点位及进针深度。活检套管针的针尖要尽量接近肿瘤近模板侧的外缘,但不进入瘤体内。
(9)行第四次CT扫描:其目的是确定同轴套管针是否已到达预定位置。此时建议使用1mm层厚薄层扫描或扫描后减薄处理,以减轻CT容积效应的影响,能够更精确地确认针尖位置。扫描前可将同轴针针心向外拔出2~3cm,以减轻针尖伪影。确定针尖已达预定位置后,使用活检枪进行组织取材(图4-5-3):沿穿刺进针方向测量从针尖到结节远模板侧外缘的距离,即为活检枪取材长度。调整并使用活检枪对结节进行2~3次的组织取材,将取得的组织条放入固定液中送病理检查。
图4-5-3 使用活检枪进行组织取材
(10)此时需要注意两个问题:
1)活检枪发射长度小于取材长度,所以在术前需要对所用活检枪的特性及工作原理进行了解,以便在术中能够更合理地选择发射长度。
2)在保障安全的前提下,取材时尽量贯穿整个瘤体,使取出的组织条能够表现出能用肉眼识别的两种不同形态、密度的组织结构,以便在大体病理上确定取材的准确性。
(11)取材后不要立即拔出活检枪,需要先等待10~15秒,再缓慢、轻柔地拔出至活检枪枪头进入同套管内1~1.5cm,再停顿10~15秒后缓慢拔出活检枪,并在活检枪离开同轴针后迅速用针心堵住同轴针管。
(12)拔同轴套管针时,要每拔出5mm停顿10秒,之后再拔出5mm再停顿,直至针尖退回至距脏胸膜5mm,再一次性拔出。这样做的目的是使血液封闭穿刺通路,减少气胸、空气栓塞等并发症的发生。此时注意:所有的针在进出两层胸膜的时候都要快进快出。
(13)行第五次CT扫描:其目的是查看有无气胸、出血、气栓等,建议使用5mm或10mm层厚进行全肺扫描,上界要包含肺尖下界和整个心包。
1.患者手术后需患侧向下卧床4~6小时,同时给予12小时的心电监测、吸氧。
2.如无严重并发症,术后4小时可坐起进食。
3.术后第2天复查胸部CT。
(王 冠 吴会静 陈宝明)
在传统CT介入引导穿刺下,介入器械如穿刺针在进入人体前无法在CT中显像,因此常常是依赖医生的经验“盲穿”。CT术中导航设备的目的是使术者在整个穿刺过程中能够清晰地“看到”介入器械位置、角度以及其穿刺路径与人体器官组织、病灶及靶点的实时关系,以此保证术者能选择正确的入针点、安全的入针路径及准确的靶点定位。
专用器械定位跟踪系统可以获得器械(如穿刺针)的真实空间信息。定位跟踪系统可以跟踪介入器械的空间运动并将器械的空间位置与反映人体空间信息的医学影像空间配准注册。借助医学影像设备和跟踪系统,人体与器械的空间信息集成到一个坐标系内并可通过二维或三维方式显示呈献给医生。利用此种方式导航,在考虑到整体系统误差的情况下,靶点定位精度也可达到1~2mm。目前临床中经常使用的是以电磁和光学为基础的器械定位跟踪技术。
电磁(electromagnetic,EM)场可以在三维空间形成高分辨率梯度场。利用电磁场技术,通过主动产生的三维外部梯度磁场的方式实现电磁定位跟踪。
利用场发生器(field generator,FG)可以在三维空间产生交变振荡的低频磁场,此三维磁场可以通过一个作为磁场探测器[field detector,FD;也称作感应器(Sensor)]的小射频(radiofrequency,RF)线圈,将检测到的射频信号转换成代表射频线圈所处的空间位置和方向(相对于场发生器坐标)的数据信息。这种空间感应器可以检测5个自由度(degree of freedom,DOF)或6个自由度(同时包含旋转信息)。由于电磁波的传输速度非常快,这种方式的跟踪基本都为实时(>30Hz)跟踪。一个跟踪系统可同时检测多个空间传感器的信息(一般最多可同时检测10个5-DOF的传感器或5个6-DOF的传感器)。把传感器固定在某种手术或介入器械上即可用来跟踪器械的空间位置和方向变化。一般常用的场发生器(FG)大小约为20cm×20cm×20cm,其可检测范围约为0.5m×0.5m×0.5m。场发生器一般需要靠近治疗部位,可由可调节承重臂支撑。近期有些厂家也在研发可置于患者身体底部或中空等不同临床场景应用的场发生器。而常用的空间传感器一般非常小,最小可达到小于0.3mm直径并小于10mm长。传感器需要一根导线将信号传输到控制系统。
电磁跟踪技术应用于医学导航主要有两个优势:一是这项技术没有视线遮挡问题,人体、医生的手臂及铺巾等不会影响信号的传输;二是传感器非常小,很容易将它固定在大部分手术或介入器械上,它甚至可被方便地置入穿刺针的针尖部位,能够更加精确地跟踪针尖的精确空间信息。
电磁跟踪技术的主要缺点是其对铁磁性物体(可以使电磁场变形)的干扰很敏感,而很多手术器械、成像系统的病床及显示设备等常常有铁磁性物质,这些物体可能会影响跟踪的精度和可靠性。由于场发生器产生的电磁场有效范围有限,临床应用中医生常常要手动反复调整场发生器的位置以确保传感器可被检测到,与光学跟踪技术相比,电磁技术的可跟踪范围一般会较小。
如同人的双眼,已知相互关系的两个或更多个电荷耦合器件(charged couple device,CCD)相机(也叫传感器)同时采集两个或多个图像。当一个点同时能够被两个相机观测到时,这个点在相机坐标系下的空间坐标位置可以通过图像识别和处理被重建出来,这个点在相机系统中也可称作标记点。
在CCD图像中,标记点要尽可能与背景区分开来以便跟踪系统自动将其在图像中分割定位。目前有两种标记探测方式:一种基于红外光,另一种基于环境光。
(1)利用红外光探测一般使用红外照相机:
在这种方式下常用两种红外光标记点定位方法。一种为被动式,即在标记球上涂近红外光反射涂层,在相机附近发射近红外光。标记球上的反光涂层可以非常好地反射红外光,在CCD红外相机中形成明显有别于背景物体的亮点,便于分割定位。另一种则为主动红外定位方式,即标记球由有源红外灯发出红外光,由红外相机定位。主动定位方式更可靠,但一般需要电源线连接标记球,不很方便。被动方式由于较方便,在临床上被广泛使用。但被动方式在某些情况下会受到背景或其他反光体的影响。利用红外光探测标记球的光学跟踪方式无法利用一个标记球确定或跟踪手术或接入器械。跟踪一个手术或接入器械,需要得到6-DOF。因此至少3个标记球以某种特定的方式排列并固定在1个示踪器上,才能实现对器械的6-DOF空间定位。标记球两两之间距几个厘米远且间距不能相同。虽然3个标记球可满足定位需求,在实际使用中1个示踪器常用4个标记球以提高识别的可靠性和精度。商用跟踪系统可同时跟踪多达10组被跟踪器。在常规临床应用中一般同时使用一到两个工具,可实现实时跟踪(>30Hz)。
(2)基于环境光的跟踪系统:
是在环境光下直接识别特定的标记点图案。一个十字交叉棋格即可确定5-DOF,而两个棋格则可跟踪6-DOF。这种方式跟踪识别的优势是示踪器可以做得较小,且相机和示踪器的成本较低。但此种方式对环境变化较敏感。在昏暗的灯光下测量信噪比会降低,在示踪器快速移动时会造成图像模糊降低跟踪精度甚至瞬时失去跟踪信号。
与电磁跟踪技术相比,光学跟踪技术会有光线遮挡问题。医生需要尽量避免身体或其他设备处于相机与被跟踪的设备之间。然而由于光学导航技术不依赖于常规波段电磁信号,因此其稳定性特别是在医疗环境下远远高于电磁导航技术,而且由于其跟踪范围远远大于电磁导航技术,因此具有较广泛的医疗应用。
图像导航的最终目标是让手术/介入器械及感兴趣的靶点区域(病灶靶点及其周边组织或器官)的空间关系能够以二维或三维方式在同一个坐标空间(同一个显示窗口)中以图形的方式表达出来。同时其相互关系还可以量化,提供给医生。在最理想的情况下,无论是靶点区域医学图像还是手术器械空间位置都需要做到实时更新,一边为医生提供当前最准确的定位反馈。因此,在图像导航中,很关键的一点是器械跟踪系统使手术器械可以被实时跟踪,医学影像能实时更新,且能将二者空间信息实时融合并显示在一个坐标空间的显示窗口中。
在实际临床使用中,跟踪系统、医学影像设备及手术床有几种集成方式。
最佳的方式是术中实时导航,即将手术床放到医学影像设备中,使患者的手术区域在成像中心,跟踪系统在医学成像的同时能够同步跟踪手术器械,同时医生能够有足够的空间在成像中心开展手术操作。在这种配置方式下,患者一般能保持静止,成像设备可连续扫描不断更新图像,跟踪系统实时跟踪手术器械信息,整个系统反映的是最准确的靶点和器械的空间定位关系。利用这种方式,手术操作定位将是最精准的。超声系统探头具有灵活性,完全可以与跟踪系统结合实现实时术中精准引导。常规CT和封闭式磁共振系统由于其成像区域的封闭式设计,在成像中心一般无法实施手术,因此很难做到术中实时导航。同时由于CT的放射性,一般也不进行连续扫描更新。目前有些短磁体大口径封闭式磁共振在逐步推向市场,但其操作还是有障碍。垂直磁场的开放式磁共振(所有的永磁磁体和个别的超导系统)则非常适于术中实时引导。在术中实时引导中,跟踪系统需要与医学影像系统全兼容,即二者在同时正常运转时,相互之间没有任何机械上、空间位置上,特别是电磁信号上的干扰。如在磁共振系统旁强大的周边磁场要求跟踪系统中不能有任何铁磁性材料,且需要有非常高的电磁屏蔽系统,保证二者不产生电磁干扰。
但是,由于影像系统成像空间的限制或其他安全因素的限制,很多手术或介入操作不能在影像系统内实施,医学影像采集后只能用于非实时的离线导航。其中一种离线导航情况是影像床也为手术床,影像室也是手术室。患者先在影像系统中被成像,而后病床拉出系统外实施影像引导治疗。在这种情况下,患者一般能够保持静止不动,刚刚获得的医学影像信息通过跟踪系统跟踪定位病床(患者)的移动注册校准后,可以用来引导手术或介入操作。由于病床就在影像室内,可以随时重新进行医学影像扫描,更新为最新的图像,达到相对精准定位。另外一种离线导航情况是手术室和影像室不在一起,手术床和影像床非同一张床。在此种情况下,仅有一组术前影像被采集,术中任何体位运动、组织漂移等无法更新,导航精度有所影响。
无论是实时导航还是离线导航,都需要导航注册过程,即将医学影像坐标系与手术或介入器械坐标系注册配准到一个坐标系内。
在一个影像导航系统中涉及的物体和设备包括人体、医学影像系统、手术或介入器械以及导航跟踪系统。校准和示踪工具可以使这些设备或生产的影像等空间定位信息集成在一个坐标系内,达到空间定位导航。常用工具包括世界坐标系系统定位示踪器、患者整体位置跟踪示踪器、器械示踪器以及校准模块。校准模块一般包括模块定位示踪器和影像可识别标记点。示踪器一般包括6-DOF。世界坐标系示踪器常常固定于静止稳定的位置,如磁共振或CT系统的壳体上。患者整体位置跟踪示踪器可固定在没有生理运动影响的患者体表,或者在患者与手术床位置相对静止时可以固定在手术床上。器械示踪器要附在手术或介入器械上。
(1)实时导航的注册校准:
实时导航病灶区域在成像中心,只需要将跟踪坐标系与影像坐标系配准注册即可。一个或多个世界坐标系示踪器固定于影像系统壳体上(以磁共振成像系统为例)。为了注册各个坐标系统,一个校准模型被置于磁体中的射频线圈内。校准模型中有一组特定的可以定位(一般可确定6-DOF)的磁共振可视标记点。跟踪系统相机(以光学导航跟踪系统为例)可以同时看到世界坐标系示踪器和校准模型上的校准模型示踪器。而由于校准模型上的示踪器与其磁共振可视标记点的空间关系是已知的,因此,跟踪系统(相机)坐标系即可与影像系统这个世界坐标系注册在同一个坐标系统下。由于已经注册了跟踪系统坐标系,因此,所有跟踪系统可以跟踪到的器械示踪器所代表的器械即可与影像系统注册集成到一个世界坐标系空间显示。
由此可见,校准模型在导航注册中是很重要的。在磁共振系统中,模型中的磁共振可视标记点可以为掺加造影剂的水球。在CT系统中,CT可视标记点可为空腔、金属点或金属丝等。这些标记点可形成不同的形状以便于计算机自动识别,如Z形框架式校准模块(7个短棍形成3个三维的Z形)设计、四个空间分布的球式设计和CAS创新校准平面板(5个标记点)设计等。
实时导航是最佳的术中影像导航技术。
(2)利用世界坐标系的离线导航注册校准:
若手术与成像均在一个房间内或相邻的两个房间不远处进行,即在影像系统中成像,系统外一个空间实施治疗,且可反复交替进行成像与导航治疗过程,同样通过看世界坐标系的方式实现注册校准。成像系统上放置一个或多个世界坐标系示踪器。为了能够在人体移出影像系统后仍能实现其与之前的影像注册配准,我们可以利用固定于人体体表或成像床(手术床)上的人体整体定位示踪器来协助完成。世界坐标系示踪器以及这个人体示踪器在成像时及病床移出后的手术中均可被固定好的跟踪系统跟踪,因此,人体空间位移信息可以通过矩阵坐标变换转换到世界坐标系内,完成注册配准。
此种可以术中反复交替成像和治疗的方式也可称作术中影像导航技术。
(3)不利用世界坐标系的离线导航注册校准:
若患者不能在影像室实施导航治疗,可不需要世界坐标系示踪器。这种情况下有几种将医学影像与人体和器械配准的方法可使用。
一是通过一个固定于体表的注册示踪器来完成。此示踪器中可以有可被医学影像系统可视的标记点(一般可提供6-DOF)和可被跟踪系统检测到的标记点(一般也是6-DOF),且这些标记点的相对空间信息为已知,并提前校准好。利用注册示踪器在医学影像和跟踪系统中的空间定位,影像坐标系(也表达人体坐标系)与跟踪系统坐标系可以注册配准到一起。这样可被跟踪系统跟踪定位的器械可以与人体靶点区域注册配准到一个坐标系下体现其三维空间相互关系。注册示踪器也可以不配备可被跟踪系统检测到的标记点。在这种情况下,医学影像可视的标记点一般要置于体表且独立可接触。在注册时,可用跟踪系统可识别的标准探针逐个点击医学影像可视的标记点,同时依次标注出其在图像中的位置完成注册。
有的情况下,也可以不需要注册示踪器,而是利用人体组织器官某些有特点的部位来实现注册配准。这种情况下,首先对靶点区域进行医学成像。在导航前,先在影像中找三个以上非共面的位于体表的标记点。然后利用一个有示踪器的探针分别在人体上点击各个标记点,同时在医学影像中通过手动或自动的方式找到分别相对应的图像位置。一旦标记完成,计算机可以自动计算出医学影像与人体的注册配准。
这种成像与治疗完全分离,成像只能在术前实施一次的方式称作传统术前影像导航方式。
当使用多种影像融合导航治疗时,实时和离线导航可能同时用到。由于空间局限性,一般只有一种影像可实现实时导航,而其他影像则在离线导航方式下进行。离线的影像与实时影像术中自动融合提供更加清晰和精准的导航。
在CT术中影像导航中,CT病床同时作为介入治疗床使用,可以交替进行影像扫描更新和介入治疗。虽然CT系统可配置动态透视功能,但由于CT系统运行中的放射性危害,大部分介入应用只在常规的断层成像模式下进行。扫描过程中,病床被推入成像中心,医生离开扫描室。扫描完成,病床被拉出,医生回到扫描室实施导航治疗。
CT导航跟踪系统包括一台CT机、一个导航跟踪系统(可以为光学或电磁等跟踪系统及其附件)以及扫描室内图像显示器、控制键盘和通信装置等。
CT成像一般采用薄层无间隔(如1mm层厚)的多层断层扫描,使整个扫描区域覆盖全部病灶及潜在进针点和进针路径区域。扫描分辨率最好是各向同性,以保证斜切重建的图像质量。CT数据采集后将自动以标准数据格式(如DICOM)通过PACS或存储介质等传输到导航跟踪系统工作站。
图像与人体空间位置注册配准后,图像将以二维或三维形式分别以1×1、1×2或2×2等窗口数显示。医生惯于使用的显示窗口一般有2D轴位、2D矢状位、2D冠状位、2D虚拟超声平面(探针或介入针长轴所在平面)或3D体绘制。一套CT导航系统的软件界面,四个窗口均显示为2D平面,右下角的超声虚拟平面为重建的介入器械(通过跟踪附在其上的器械示踪器定位)所在平面,红色线段为介入器械的实际空间占位,而黄色线段是为了指示针的潜在入针路径,红黄线交接点为器械头部(如针尖)位置。同时介入器械空间占位均被投影到其他2D平面,以利于医生更好地调整器械角度,使器械准确地指向靶点。3D显示能更好地展现器械和靶点的空间关系并能更好地反映入针路径是否会穿过重要器官或组织以避免误伤。同时在图像中可以根据模型预模拟治疗范围,确保治疗区域包含病灶组织并尽量避免伤及正常组织。无论是2D还是3D显示,当医生调整介入器械时,相应所有平面都会实时重建更新,帮助医生更好地找到靶点并了解其周边组织或器官分布信息。保证治疗的有效性和安全性。
对于胸部和腹部的介入治疗,呼吸运动会影响定位精度。当使用呼吸机时,医生可调整屏气位置,使患者治疗时的屏气位置与扫描时的屏气位置一致。但对于大多数介入临床使用局麻的情况,只能通过与患者的屏气互动来提高定位精度。在CT扫描时,患者屏气以减少运动伪影。在介入治疗进针时,为了精确地利用导航信息,我们希望患者屏气位置与扫描时的屏气位置相同。为了保障这一点,导航跟踪系统可以使用呼吸运动示踪器。呼吸运动示踪器包括一个或多个跟踪系统可检测的标记点和CT成像可视的标记点。成像扫描和介入治疗中,呼吸运动示踪器被放置在患者呼吸运动较明显的胸部或腹部。扫描层面要覆盖此示踪器,导航跟踪系统要能检测到示踪器标记点。跟踪系统将能实时反映呼吸曲线。一个纵向色条反映呼吸范围。通过图像处理自动检出的呼吸运动示踪器在CT扫描屏气时的位置设置为色条的中间(绿色区域)。在导航介入治疗时,呼吸运动示踪器所代表的呼吸位置(这里用了一个小肺部图像标志)将在色条中上下运动。当呼吸位置接近CT屏气位置时,小肺部图像标志将接近色条中央的绿色区域点,而当呼吸运动幅度较大时,小标志将远离中央区域进入黄色甚至红色区域。借助于这个呼吸反馈系统,医生可以训练患者,使其能在入针瞬间屏气到CT扫描屏气位置,大大提高定位精度。
手术器械(如穿刺针)的空间位置实时跟踪,特别是进入人体前定位跟踪,是手术成败的关键。导航系统可对手术器械术前及术中进行实时跟踪。光学导航目前是应用在MRI导航的主要方式,该系统主要包括红外线导航相机、定位示踪器、配有导航光球的持针器以及导航功能软件、手术规划软件等。三维动态主动跟踪介入手术器械的位置并投射到实时显示的MRI图像上,是MRI导引技术一个至关重要的优势。带有定位标记物的持针器固定在手术器械上,通过捕获电荷耦合的相机装置,光学追踪导航器械上的定位标记物(至少3个),标记物与追踪器械的位置、方向等信息与图像序列信息通过计算机准确计算与处理,使手术器械的虚拟针影与MRI图像实时对应显示,手术医师就能够随时了解手术器械与病变、重要组织结构的位置关系,从而使复杂的操作更加简捷、直观。
若光学导航设备与介入用MRI配合,可将穿刺针的空间位置实时传输给MRI,作为下一扫描层面定位信息,实现术中手术器械及靶点的灵活监控和定位。特别是此方式可使穿刺针(特别是针尖)全部显示在一层扫描图像内,能非常准确地确定穿刺针与病灶及周边组织的定位关系。
利用MRI梯度磁场也可实现手术器械导航,但需要脉冲序列配合,并在梯度线圈有效应用范围内使用。
(赵 磊)