



酒精肝损伤的过程,不但引起肝实质细胞即肝细胞变性、坏死及炎症反应,同时也有肝非实质细胞[包括肝窦Kupffer细胞(库普弗细胞)、窦内皮细胞、肝星状细胞]变化。肝实质细胞与非实质细胞间的相互调节及作用,影响着肝内病变发展及肝纤维化形成。为了更清楚地阐述基本病变,按肝细胞病变、肝窦细胞改变及纤维化三项分述。
1)脂肪变性:
脂肪变性是酒精性肝病最早和最常出现的病变,长期嗜酒者约90%肝穿刺活检可见脂肪变性(脂变)。酒精性肝病主要脂变形式为大泡性脂变,肝细胞包浆内出现孤立大脂滴,细胞核被挤向边缘,程度轻者仅见散在单个肝细胞或小灶状肝细胞脂变,主要分布于肝腺泡Ⅲ带(小叶中央静脉周围),脂变加重可影响Ⅱ带甚至Ⅰ带。当脂变肝细胞达肝细胞总数的30%或以上时,可称为酒精性脂肪肝;无合并症的单纯肝细胞大泡脂变,不引起明显炎症或窦周纤维化,脂泡破裂可引起脂性肉芽肿,其中有巨噬细胞、淋巴细胞聚集,偶见多核巨细胞绕于外溢脂质周围。脂性肉芽肿最常见于中央静脉周围带,但较少见。严重脂变区可出现无细胞性坏死,致局部发生纤维化。脂变是可逆的,一般戒酒2~6周脂变可消退。
嗜酒者的另一种脂变形式为小泡性脂变。Uchida等1983年从21例大量饮酒者(每日至少饮酒精175g,持续2.7~44年)肝内见到这种脂变,因其特点是肝细胞肿大,胞浆内挤满了微小脂泡,因而又称之为酒精性泡沫样变性。小泡脂变主要位于Ⅲ带,有的可同时伴有大泡脂变,严重时小泡脂变可较弥漫,伴肝细胞内淤胆。线粒体损伤并可见肝细胞坏死脱失。
2)水样变性:
酒精性肝病时肝细胞水样变性较常见。在酒精性肝损伤中由于乙醛的直接作用,乙醛与微管蛋白结合,损坏微管功能,细胞内蛋白分泌受阻,液体潴留,使细胞呈气球样变,有的肝细胞进一步肿大异常淡染,胞浆部分发空呈蛛网状,胞核居中,较大,核仁明显,称为酒精性透明细胞。肿大肝细胞内含Mallory小体,早期多为小叶中心带,呈灶状分布,戒酒后消退较慢,见图4-3-1。
图4-3-1 酒精性肝病
肝细胞胞浆疏松,浑浊,肿大,汇管区轻度界面炎症,周围可见肝细胞气球样变
3)Mallory小体:
Mallory小体(Mb)常在酒精性肝炎的炎症灶周围肿大的肝细胞内出现,被认为是酒精性肝病的一个标志。Mb有趋化性,可引起周围中性粒细胞浸润。酒精性肝炎及酒精性肝硬化Mb出现率分别为76%及95%。有报道Mb出现率与平均每日饮酒量有关,日饮酒量40~80g/d,Mallory小体形成增多,但较小;日饮酒量>80g/d,Mallory小体增多;日饮酒量>160g/d,Mallory小体形成特别明显。Mallory小体虽非酒精性肝病所特有,但与其他细胞变性等共同存在时,对酒精性肝病有诊断意义。
4)巨大线粒体:
各类酒精性肝病中巨大线粒体检出率为8%~22%。有报道:45例有巨大线粒体者,其中44例为轻及中度酒精性肝病,40例死亡病例均未见巨大线粒体。因此认为巨大线粒体可作为慢性酒精性肝病预后好的标志,如肝损伤极轻微,出现巨大线粒体可作为诊断嗜酒者的标志。
5)细胞内铁颗粒沉积:
嗜酒者肝穿标本中,可见不同程度的肝细胞内铁颗粒沉积。肝窦Kupffer细胞吞噬铁颗粒轻者,仅在小叶周边及变性的肝细胞或再生结节内见少量铁颗粒沉积,严重时肝细胞内和肝窦Kuppfer细胞内含有大量铁颗粒沉积。当嗜酒者肝细胞内铁颗粒沉积与肝内原发性色素沉积病不好鉴别时,可结合酒精性肝病常伴有肝脂变和窦周纤维化等鉴别。
酒精性肝病,凋亡肝细胞明显增多,但仍为单个散在。肝内细胞因子合成增多,氧化损伤加强,通过凋亡的受体通路及线粒体通路,均可引起肝细胞凋亡。经TUNEL检测呈阳性标记的凋亡细胞核除散见于肝索、肝窦内(凋亡小体)之外,有时见于Kupffer细胞胞浆吞噬空泡。酒精性肝病常见的肝细胞坏死,依据坏死范围的大小、特点有4种类型。
1)点灶状坏死:
常见于肝小叶中央带,特点为少数肝细胞坏死溶解,坏死灶内可见中性粒细胞及少数淋巴细胞浸润。多形核白细胞(PMN)与酒精性肝病肝内细胞因子合成增多、肿瘤坏死因子-α(TNF-α)使内皮细胞黏附分子表达以及IL-8对PMN的嗜化学作用有关,见图4-3-2。
图4-3-2 酒精性肝病
肝小叶内见点灶状坏死,坏死灶内见中性粒细胞浸润
2)界面肝炎和桥接坏死:
坏死灶周围常见肿大肝细胞的包浆内含有形态不一的Mallory小体(Mb)及PMN浸润。
3)弥漫性肝细胞变性坏死:
多发生于长期酗酒者。短期大量饮酒,临床表现为重度酒精性肝炎,肝脏肿大。镜下:肝细胞弥漫肿胀,细胞大小不一,部分呈气球样变或脂变,肿大肝细胞包浆内易见Mb;并可见散在中性粒细胞及淋巴细胞浸润。
在较大片的肝细胞坏死脱失区,可见大量吞噬细胞聚集,胞浆充满黄褐色素,组织内重度胆汁淤积者,临床多具明显黄疸。
酒精性肝病缺乏急、慢性病毒性肝炎常见的肝细胞活跃再生(细胞增大呈多形性、胞核大小不一等),但常见一种小型肝细胞。Ray研究酒精性肝脏,发现有较正常肝细胞小的细胞,胞核卵圆形,居中,有小核仁,细胞胞浆少。免疫染色这些细胞仅对胆管上皮阳性的单抗,CK或CK7、CK19着色。由于这些细胞与实验性肝癌发生过程所见的卵圆形细胞形态相似,被称为卵圆细胞。这些细胞除见于汇管区周围,亦见于小叶内远离汇管区的部位。De Vos及Desmet对13例肝病(包括5例酒精性肝炎、2例肝硬化)做了详细的电镜观察,所有标本内均可见多少不等的小型肝细胞。1993年Ray发现在各型酒精性肝病中98%有小型肝细胞。这些小型肝细胞电镜下可分为3型。
1)Ⅰ型:
细胞直径7~10μm,具卵圆形核,圆形小核仁时可见于胞核边缘,胞浆含中等量线粒体,少量溶酶体,稍扩张的粗面内质网及滑面内质网及小束张力原纤维,这些小细胞与邻近肝细胞间可见桥粒连接,且多位于肝细胞的窦侧,其外绕以断续的基底膜。
2)Ⅱ型:
与Ⅰ型细胞相似,但具有胆管上皮细胞的顶端微绒毛,侧壁呈指状交错,细胞有连续的基底膜,多于增生胆管周围与细胆管细胞连接。
3)Ⅲ型:
似Ⅰ型细胞,但具有更多小细胞的特点,细胞直径约10~15μm,胞核更明显,胞浆内含更多细胞器及糖原,细胞间可见毛细胆管微绒毛及细胞间连接。小型肝细胞一般为数不多,各型酒精性肝病内或仅为少数细胞,或呈灶状、多灶状分布,现认为是酒精性肝病肝细胞再生受抑制时的细胞再生。
长期大量饮酒,可致Kupffer细胞活化增生。受损肝细胞分泌细胞因子激活、乙醛直接刺激、肠源性内毒素及其他肠源性抗原物质,均可导致Kupffer细胞活化增生。各种酒精性肝病,特别是当肝内炎症或纤维化进展阶段,Kupffer细胞数目明显增多,胞体也明显增大,形态多样,并常有多数突起伸出,胞核亦增大,偶见双核。应用Kp-1免疫组化染色活化Kupffer细胞呈弥漫阳性,胞浆内常见大小不等的吞噬空泡、颗粒状物或细胞残骸。炎症坏死区,可见增生并吞噬黄褐色色素的Kupffer细胞聚集,如坏死范围较大可见成片增生的Kupffer细胞和/或巨噬细胞,有时增生的Kupffer细胞可形成上皮样细胞或巨细胞。Kupffer细胞激活后,分泌多种活性因子、趋化因子、黏附分子以及活性氧中间物,进一步影响周围细胞的功能,或引起周围细胞损伤;特别是它所分泌的转化生长因子-β(TGF-β),不但能刺激肝星状细胞大量增生,还能通过抑制基质金属蛋白酶(metalloprotease,MMP)加重纤维生成与降解间的失衡,促进肝纤维化。长期大量饮酒,酒精可抑制Kupffer细胞的吞噬功能。在酒精性肝硬化者,Kupffer细胞数目正常,但细胞内溶酶体减少。Kupffer细胞功能减低不利于内毒素的清除,导致内毒素血症,加重肝内损伤。
在酒精性肝损伤过程中,除窦内皮细胞反应活跃外,短期大量饮用酒精后,可致肝窦内皮细胞窗孔开启,脂质易于通过,故中等量饮酒短时间内即可引起肝脂变;长期酗酒者窗孔数量减少,孔径减小,影响血浆内胆固醇及维生素A向肝细胞及星状细胞转运,常致高脂血症。随窦周纤维化加重,窦内皮细胞窗孔进一步减少。
任何类型肝损伤,HSC均可被激活。酒精性肝损伤HSC激活更为明显。长期大量饮酒,乙醛形成增多,乙醛直接毒性作用不但更加重肝细胞代谢障碍,并直接刺激Kupffer细胞活化和HSC增生。长期大量饮酒,Kupffer细胞功能降低,不能有效清除内毒素致内毒素血症,进一步刺激Kupffer细胞生成大量细胞因子,两者均可促进HSC的增生合成细胞外基质,致酒精性肝病的纤维化较明显,出现较广泛的窦周纤维化、终末静脉纤维化,进而形成小叶中心到小叶中心、小叶中心到汇管区的桥接纤维化,以至发展为小结节性肝硬化。疾病早期活化增生的HSC,主要见于小叶中央静脉周围区,其后增生逐渐弥漫并伴细胞外基质沉积,引起窦周纤维化。随窦周纤维化的加重,被包绕的肝细胞萎缩消失。新形成的疏松纤维间隔及改建的纤维间隔内,均可见大量活化增生的HSC。随病变静止,肝细胞再生,HSC可减少。这些增生HSC除回到静止状态外,通过细胞凋亡而减少。
酒精性肝纤维化发生较早且较弥漫,有三大特点。
窦周纤维化(PSF)或称细胞周围纤维化(PCF),在酒精性肝病较为弥漫。正常窦周主要为纤细网状纤维(C-Ⅲ),仅在肝窦分叉处有少量C-Ⅰ,均不插入肝细胞间。酒精性肝病时,由于HSC活化增生广泛,引起窦周纤维化(PSF)亦较广泛(图4-3-3)。窦周纤维化按程度分为轻、中、重三度。
图4-3-3 酒精性肝病
酒精性肝纤维化,广泛窦周纤维化伴纤维间隔形成,部分小叶结构紊乱(网状纤维染色)
1)轻度窦周纤维化:
酒精性肝病早期即可出现,首先见于Ⅲ带中央静脉周围。网状纤维染色可见局部窦壁网状纤维增短、变直,插入肝细胞间或细胞间隙,甚至包绕一个或几个肝细胞。
2)中度窦周纤维化:
Ⅰ型、Ⅲ型胶原纤维(C-Ⅰ,C-Ⅲ)沿窦周沉积增多,环绕肝细胞呈铁丝网格状或龟壳样,范围多较广泛,可波及小叶2/3,其中C-Ⅰ明显增多。狼红染色偏光镜下:窦周出现较多红黄色的网格,与正常窦壁C-Ⅲ(呈绿色)相比,胶原纤维明显变粗,严重处致窦腔狭窄。
3)重度窦周纤维化:
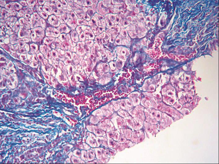
窦周纤维化明显加重,HSC增生,大量细胞外基质形成,包括Ⅰ型、Ⅲ型、Ⅳ型胶原,弹力纤维,纤维粘连蛋白(FN),层粘连蛋白(Ln)等非胶原糖蛋白及多种蛋白多糖(PG),被围绕的肝细胞成片萎缩,甚至消失,形成片状纤维网或纤维间隔(图4-3-4)。重度窦周纤维化常致肝小叶结构紊乱。
图4-3-4 酒精性肝病
酒精性肝纤维化,广泛肝血窦周围纤维化,纤维间隔形成,小叶结构紊乱(Masson染色)
肝终末静脉包括中央静脉及相连肝小叶静脉。终末静脉周围纤维化为酒精性肝病的常见病变。Bunt等观察了256例酒精性肝病活检和50例尸检,在酒精性肝炎(AH)及酒精性肝硬化(AC)中,100%可见程度不一的终末静脉纤维化,随着肝纤维化程度的加重,终末静脉纤维化程度亦加重。
1)轻度终末静脉纤维化:
正常中央静脉周围只有薄层胶原纤维,此时静脉壁周围胶原增多,壁轻度增厚,并常伴有小叶中心带的窦周纤维化。用α-SMA做免疫组化染色,在静脉周围及邻近窦周可见增生的HSC,小叶结构保存。
2)中度终末静脉纤维化:
终末静脉壁明显增厚并伴有小叶中心纤维化、Ⅲ带淤血,甚者致纤维化与汇管区(P)及相邻小叶中心(C)相连形成C-P或C-C桥接纤维化,它是酒精性肝病发展为肝硬化的重要中间环节。有报道106例酒精肝炎患者中,68%在发生肝硬化之前见到此类病变。
3)重度终末静脉纤维化:
表现为小叶中心带广泛纤维化,局部静脉壁明显增厚或管腔闭塞,小叶中心带纤维化可与多个汇管区桥接形成宽阔纤维瘢痕,纤维致密,无炎症。多数小胆管可自汇管区沿纤维组织伸向小叶中心带,若不仔细辨认,可能误会是含小胆管的汇管区,将C-P间的桥接误为P-P间桥接。
1)汇管区纤维化:
ALD时见汇管区胶原纤维增多,但无明显炎细胞浸润,时常伴小动脉壁增厚。
2)汇管区周围星芒状纤维化:
扩大汇管区周围可见增生的胶原纤维自汇管区呈放射状伸向小叶内,形成纤细的不全间隔,使汇管区呈蜘蛛状。
3)界板不整(糜烂):
表现为汇管区周围细胆管增生,沿界板伸向小叶内,同时伴局部HSC活化,导致界板不整,应与淋巴细胞性碎屑坏死相区别。常见于酒精性肝炎及酒精性肝炎肝硬化,发生率分别达79%及99%(图4-3-5)。
图4-3-5 酒精性肝病
肝Kupffer细胞活化,增生(免疫组化CD
68
)
酒精性肝病在发展过程中,各类基本病变多有不同程度的组合。为了使病理分类指标明确、客观、更加标准化,更能全面反映病变特点与程度,中华医学会肝病学分会脂肪肝和酒精性肝病学组于2006年2月修订制定了酒精性肝病诊断标准,确定了酒精性肝病病理分级分期标准。
小叶内病变分成脂变(F)及炎症(H)两项,分别制定1~4级的分级标准(表4-3-1)。对酒精性肝病合并病毒性肝炎感染者,后者所引起的汇管区及小叶内的炎症分级,在ALD分级中予以增添,ALD的纤维化分期标准基本与慢性肝炎一致,只是将窦周纤维化按程度,列入1期、2期、3期;然后根据脂变(F)、炎症(H)与纤维化(Fb)的分级(分期)按优势原则进行分类,3项程度并列者则以炎症为主,顺序为H>Fb>F。对3项病变程度均为1级(期)者定位轻症酒精性肝病,脂变、肝炎及纤维化的2级(期)、3级(期)、4级(期),分别称为各自的轻型、中型、重型。纤维化重型(Fb4)为早期酒精性肝硬化。
表4-3-1 酒精性肝病病理组织分级分期标准
续表
中日友好医院通过对136例酒精性肝病肝组织穿刺的验证,肯定了这个方案的可行性。应用时应在分类之后注明分级、分期。
临床分型与病理组织分级、分期标准并不一致,它们之间的关系见表4-3-2。
表4-3-2 酒精性肝病的临床分型与组织病理分级、分期的关系
F:脂变;H:炎症;Fb:纤维化
患者临床症状轻微,肝功能正常或轻度异常,诊断主要靠详细询问饮酒史及戒酒史,结合临床。肝穿刺活检有助确诊。轻型酒精性肝病患者肝内可见酒精性肝病的几种基本病变,但程度较轻。此型在中日友好医院136例ALD患者肝穿中占30.2%,较日本的报道所占比例大。AML中可见ALD的基本病变,如大泡脂变、灶状气球样变、坏死灶伴PMN浸润及小叶中心窦周纤维化,但病变程度较轻,均在Ⅰ级范围。AML可以具有上述两项或两项以上的病变。由于病变较轻,肝小叶结构无破坏,戒酒后可恢复。
临床症状多较轻,有不同程度肝肿大,肝重量常达2000 ~ 2500g(正常1200 ~ 1500g),甚至达3000g 以上。肝脏色黄,边缘钝。镜下大部分患者的脂变为大泡性脂变。主要见于肝腺泡Ⅱ区、Ⅲ区,严重者弥漫分布。依脂变范围分为轻度(脂变肝细胞达30%~50%)、中度(50%~75%)和重度(>75%)。细胞脂变本身不致窦周纤维化,但约31%合并轻度到中度肝纤维化;如患者坚持戒酒、低脂高蛋白饮食辅以药物治疗,预后良好。有报道,严格戒酒1~4个月后,脂变完全消失。如发生小泡性脂变则病情较严重。1983年有学者报道了21例大量饮酒者,临床出现黄疸、肝大,ALT、AST、AKP和胆红素显著升高。肝穿刺证实均为小泡性脂变。肝细胞内还有淤胆,肝细胞溶解脱失。此外,还伴有轻度静脉周围纤维化。这21例戒酒后,临床症状消退,血清ALT很快恢复正常,肝内脂变消失。
1992年,Rosmordue等报道4例患者,出现黄疸、肝大后继续暴饮,饮食减少,虽未出现明显肝衰竭症状,却突然死亡。4例的病理检查证明肝内均有大量小泡性脂变。这4例弥漫小泡性脂变的死亡,无疑与酒精中毒引起的急性线粒体功能损伤有关。USC肝病中心20世纪30年代的236例肝穿刺活检中有ALD147例,其中60例有急性肝损伤,后者中32例肝穿刺活检证明有明显的小泡性脂变,小泡性脂变占急性肝损伤住院患者的50%。32例中有20例为单纯性小泡性脂变,12例伴有活动性AH,肝细胞内见Mb及中性粒细胞浸润。
以上说明小泡性脂变较大泡性脂变者预后严重,应引起注意,除单独发生外,还可以合并AH,也可以见于慢性ALD。
其特点是病变由肝细胞骨架损伤(气球样变、Mallory小体形成)、炎症、坏死和纤维化组合。通常有脂变,但入院数周后行肝穿刺多见不到脂变。偶可见巨大线粒体、淤胆、铁颗粒沉积等改变。酒精性肝炎的病变轻重程度不一。
表现为散在的多数小坏死灶、Mallory小体形成、中性粒细胞浸润和轻度纤维化,主要见于肝腺泡3带。
气球样变、Mallory小体、中性粒细胞浸润和坏死明显增多,坏死灶可融合或形成C-P或C-C桥接坏死,伴局部纤维组织增生。1963年Edmondson等提出发生慢性重度嗜酒者的硬化性玻璃样坏死为酒精性肝炎,其特点是广泛的静脉周围肝细胞坏死,伴胶原沉积和终末静脉闭塞,可在没有肝硬化的情况下导致门脉高压。患者有发热、白细胞增高、黄疸、肝肿大并出现腹水。病变初期中央静脉周围肝细胞呈明显的气球样变。Mallory小体形成,大量的中性粒细胞浸润,其后肝细胞坏死、溶解,残留的Mallory小体为白细胞所环绕,消失缓慢。局部胶原沉积,终末静脉闭塞。
常发生于连续、大量饮酒后,患者肝脏明显肿大,镜下可见在慢性ALD的基础上发生肝细胞弥漫变性、坏死、胆汁淤积和毛细胞胆管内胆栓形成。Kishi报道了18例死于黄疸、肝衰竭或曲张静脉出血的重度酒精性肝炎患者的尸检结果,镜下见肝内重度终末静脉周纤维化,终末静脉腔闭塞程度与腹水量明显相关,说明为酒精性肝炎阶段发生门静脉高压的重要原因。Sorensen等的观察结果显示,酒精性肝炎患者如持续饮酒,50%将在10~13年内发展为肝硬化。
各型慢性酒精性肝病均伴有不同程度的肝纤维化,酒精性肝纤维化作为一个独立类型,是在近十几年才被有些学者所采用。已知慢性酒精中毒时乙醛的直接毒性作用于肝细胞、Kupffer细胞、肝星状细胞以及通过加重肝细胞代谢障碍,促进HSC活化、增生、细胞外基质形成,导致酒精性肝病形成较独特的窦周纤维化、终末静脉纤维化。病变发展可形成桥接纤维化及肝硬化。由于在酒精性肝纤维化可以不伴或仅伴轻度酒精性肝炎的病变,故将其列为酒精性肝病的一个独立类型。
酒精性肝纤维化基本病变包括窦周纤维化、终末静脉纤维化、汇管区及汇管区周围纤维化、桥接纤维化(间隔形成)。根据纤维化的范围及程度不同,酒精性肝纤维化分为轻度、中度、重度。各类中均可伴有脂变及炎症,但后两者的程度均轻于纤维化的程度。轻度酒精性纤维化的镜下特点为明显的窦周纤维化,并有少数纤维间隔形成,但小叶结构保留。中度酒精性肝纤维化:纤维化范围广或出现中度至重度窦周纤维化或静脉周围纤维化,形成纤维间隔,致小叶结构紊乱。此阶段部分患者可以出现门静脉高压体征,包括食管静脉曲张、脾肿大及腹水,继续发展则进入重度酒精性肝纤维化即早期肝硬化。
通过活检可判断预后,下列病变提示有进展为肝硬化的危险性。①肝细胞的坏死及纤维化的广度与程度较重,活动性肝细胞坏死及广泛窦周纤维化,纤维间隔内有弹力纤维沉积,肝结构紊乱;②弥漫性肝实质病变;③终末静脉广泛闭塞;④广泛的Mb形成,已有较多证明Mb与肝损伤严重度及肝纤维化相关;⑤影响预后的危险因素除初诊时肝穿中组织损伤的严重程度外,持续饮酒是更为重要的危险因素。
据210例法医尸检(嗜酒者)分析,每日饮酒>80g者,肝脏桥接纤维化及酒精性肝硬化发生率明显升高。中日友好医院的资料中,11例酒精性肝硬化患者90%饮酒>100g/d,饮酒时间大部分在10年以上,仅1例为8年,与日本的报道一致。
酒精性肝硬化的特点是小结节性肝硬化,肝脏肿大,中日友好医院的尸检资料早期及中期酒精性肝硬化肝脏重量在1800g左右。我国香港的报道与其相似,早期者1800g,中期1600~2000g,晚期重量正常或减少。
结节甚为细小,镜下特点为结节小,平均直径0.3~0.4mm(正常小叶直径1mm),肝细胞再生不显著,汇管区尚保留。纤维化自终末肝静脉周围(后者呈中度、重度静脉周围纤维化)与汇管区之间形成较宽含扩张血窦的血管纤维间隔,沿Ⅲ带将小叶腺泡分隔成微小结节。较大汇管区周围保留腺泡较多,血管纤维间隔内含不规则扩张的肝窦,窦间肝细胞消失,代之以活化增生的HSC及大量细胞外基质形成,其中含较多新合成的弹力纤维,Ⅱ型胶原、Ⅲ型胶原、Ⅳ型胶原及蛋白多糖。间隔内血窦毛细血管化,窦内皮细胞转化为血管内皮细胞,失去原有的窗孔,呈现FⅧRag,并出现基底膜。随小结节内肝细胞的再生、结节增大、变圆,血管纤维间隔不断改建,血窦减少,Ⅰ型胶原及弹力纤维增多,间隔渐变窄。
为典型的小结节性肝硬化,再生结节较圆,结节大小稍有不一。假小叶内仍可见典型的窦周纤维化,如继续饮酒结节可有明显脂变,有的可见铁颗粒沉积和/或铜颗粒或铜结合蛋白沉积。结节周围小胆管增生显著,纤维间隔宽窄不一,并可见大片的纤维化区,推测与肝静脉小支纤维化闭塞有关。此期更多患者出现门静脉高压,镜下门静脉扩张、壁增厚,壁内及周围有大量弹力纤维增生,可死于曲张静脉破裂大呕血。
肝脏体积正常或缩小,再生结节不断改建,大部结节直径>4mm,有的更大,界限清楚,结节周围绕以致密纤维组织,炎细胞少。酒精性肝硬化肝脏肿大除与肝细胞因脂质沉积及蛋白代谢障碍肝细胞肿大有关外,还与细胞外基质明显增多有关。中日友好医院曾对3例重达1800g的早中期酒精性肝硬化切片进行图像分析,结果显示间质及血管等非实质成分占60.8%,而正常对照仅占5.4%,说明在肝硬化过程中有大量间质成分(包括细胞外基质)增多。
胰腺表面覆有薄层结缔组织被膜,结缔组织伸入腺内将实质分割为许多小叶。胰腺实质由外分泌部和内分泌部(胰岛)组成。胰腺外分泌部为复层泡状腺,具有浆液性腺的结构特征。成人每日分泌1500~3000ml胰液。胰液为碱性液体,pH 7.8~8.4,含多种消化酶和丰富的电解质,是重要的消化液。胰岛是由内分泌细胞组成的球形细胞团,分布于腺泡之间,在HE染色中,胰岛细胞着色浅淡,极易鉴别。成人胰腺约有100万个胰岛,约占胰腺体积的1.5%,于胰尾部较多。胰岛细胞聚集成团索状,细胞间有丰富的有孔毛细血管。人胰岛主要有A、B、D、PP四种细胞,在HE染色切片中不易区分,目前主要用免疫组织化学法进行鉴别。
急性胰腺炎是胰腺可逆的炎症性损伤。西方国家大约每100000人中有20人患病。大多数病例是由酗酒或胆道疾病引起。患者出现上腹部痛牵涉至背部,通过血清淀粉酶水平升高来诊断证明。超声检查和CT显示腺体弥散性增大。
大体胰腺通常增大质软;邻近的脂肪组织有粉白的脂肪坏死灶;严重的病例中,腺体中可见出血。镜下:轻度水肿到炎症细胞扩散,广泛坏死和出血。
急性胰腺炎的鉴别诊断范围很窄,包括慢性胰腺炎。胰腺损伤的可逆性用来将慢性胰腺炎与急性胰腺炎区别。在慢性胰腺炎中损伤的胰腺实质组织已经被瘢痕组织取代,并且在炎症性过程减弱之后正常功能不能恢复。
酒精已成为慢性胰腺炎的第一致病因素。据估计每日摄入酒精大于150g,6~12年即可出现胰腺炎的症状,慢性胰腺炎发生的危险性与摄入酒精的量与时间明显相关。关于酒精诱导慢性胰腺炎的发病机制,过去多数学者倾向于蛋白质分泌过度导致梗阻和坏死纤维化的假说,即酒精刺激胰腺分泌,增加胰腺对胆囊收缩素刺激的敏感性,使胰液中胰酶和蛋白质的含量增加,小胰管内蛋白栓形成,引起胰管梗阻并发生钙化,腺泡萎缩、小导管周围炎症浸润,发展至纤维化。目前认为酒精导致慢性胰腺炎的发生主要是通过代谢产物的毒性作用、醇致敏作用、遗传易感性及全身微循环改变等途径,最终导致胰腺水肿、腺泡空泡变性、胰蛋白酶原激活及增加腺泡细胞溶酶体不稳定性。
慢性胰腺炎定义:胰腺炎症性损伤,与内源性或外源性功能不可逆损失相关。在美国大多数病例是由严重使用酒精引起。胰腺中的钙化可以在腹部平片上看到。超声检查证明导管膨胀;CT显示钙化和小囊肿。
慢性胰腺炎特征性病变是炎症细胞浸润,与正常的胰腺实质细胞被纤维结缔组织取代有关。腺泡的丢失与胰腺导管的扩张相关。大体:小叶出现丢失,钙化,胰管扩张。镜下:炎症细胞浸润(主要是慢性炎症),广泛纤维化,胰腺组织和腺泡组织丧失、萎缩,胰岛相关性不足,在一些严重的病例中有内分泌细胞的丢失,浆细胞浸润。
(戚基萍 姜杰)