



MRI 与CT 最大的不同,在于它不需要X 线,只利用人体自身原子核内的质子来成像就可以了。
另一个很大的不同,是MRI 与人体组织的密度无关,故在观察MRI 图像时不再用 “密度” 这个概念,代之以 “信号”,即MRI 图像上的黑白灰度只与组织器官的MRI 信号强度相关,信号越高则越明亮,反之亦然。而决定信号强度的因素(或参数)则有很多,既有组织器官自身的因素,如所含质子数的多少、含水量及其结合状态、细胞的形态特征、血液的流动快慢等,也有设备的扫描参数设定因素等等。
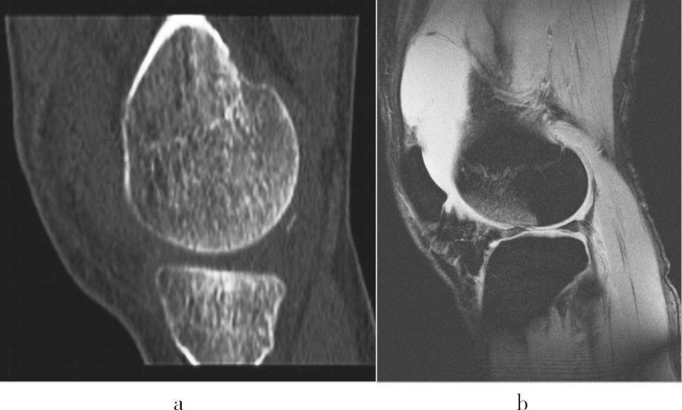
正因为MRI 与CT 的原理不同,它们的适用范围也有不同。如高密度的骨骼和低密度含气的肺在CT 图像上由于密度对比好就显示得非常清晰,但由于它们的质子密度很低,MRI 信号也就不高,反而难以显示。对于软组织病变,由于密度差异不大,CT的显示有些无能为力,而MRI 则可以通过设置不同的扫描参数,形成非常丰富的信号差异,从而得到良好显示(图1-14)。
图1-14 MRI与CT图像的区别
a.CT 图像,对骨的细节显示清晰,但周围软组织显示不良;b.MRI 图像,各种性质的软组织有明显信号差异,但骨的细节显示不如CT。
对比了MRI 与CT 的不同以后,MRI 的优势也就明朗了。这就是没有辐射危害,软组织分辨力特别高。所以,对于孕妇和婴幼儿这些对射线敏感的人群,就应该优选MRI 检查;而对于观察脑、脊髓、肌腱、韧带、软骨及关节内结构等软组织来说,选用MRI 也有极大的优势。
质子便是信号源,没有辐射心坦然。