



宫颈细胞学检测微生物感染并不是主要目的,但也是筛查的重要内容。有时感染可无临床症状,查体也无明显表现,阅片中却可查见这些微生物,较常见的感染包括细菌、真菌、寄生虫和病毒。
1. 细菌性阴道病(bacterial vaginosis)(图2-1~2-3)
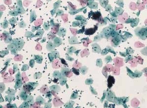
图2-1 细菌性阴道病(高倍、液基、巴氏染色)
鳞状上皮细胞表面覆盖着许多细菌(主要为球菌),嗜碱性,细胞模糊不清,似有薄膜遮盖,这种特殊形态的细胞称为线索细胞。
图2-2 细菌性阴道病(高倍、液基、巴氏染色)
覆盖在表层和中间层鳞状上皮细胞表面的细菌(主要为球菌,嗜碱性,取代乳酸杆菌),看似一个绒球,为线索细胞。液基制片中背景相对清晰。
图2-3 细菌性阴道病(中倍、液基、巴氏染色)
多量线索细胞和炎细胞,球菌和线索细胞是细菌性阴道病的主要细胞学表现。
细菌性阴道病是最常见的妇科感染,主要由于乳酸杆菌缺乏导致阴道pH值增加,使其他球菌或杆菌得以生长。朦胧的背景,小的球状杆菌,鳞状细胞表面覆盖着许多细菌,主要为球菌,嗜碱性,使细胞表面和细胞轮廓模糊不清,像有薄膜覆盖,这种特殊形态的细胞称为线索细胞(clue cells)。显微镜下查见线索细胞,报告菌群失调,提示细菌性阴道病。
2. 放线菌(actomycins)(图2-4~2-6)
图2-4 放线菌(高倍、液基、巴氏染色)
细丝样的病原体聚集如“棉花团”样。不依附于鳞状上皮细胞,单独成团。
图2-5 放线菌(高倍、液基、巴氏染色)
细丝样的病原体排列呈嗜碱性球状物,放射状,边缘似“杵”状。单独成团,不依附于鳞状上皮细胞。
图2-6 放线菌(中倍、液基、巴氏染色)
放线菌小团状,散在,背景清晰,炎细胞少许。
常见宫内节育器的使用者。显微镜下可见成团嗜碱性、蓝紫色、大小不一的球状物,细丝样的病原体聚集如“棉花团”样。典型的放线菌边缘菌丝细长,放射状排列,偶见单支,较粗的菌丝向外周延伸成“杵”状,周围有许多白细胞相伴随。放线菌一般不依附鳞状上皮细胞,常与细菌感染并存。大多数发现放线菌的女性,临床可无任何症状。如无临床症状,也无需治疗。
见图2-7~2-12。
图2-7 真菌:念珠菌属(中倍、液基、巴氏染色)
鳞状上皮细胞被菌丝“串起”,液基制片中常见。鳞状上皮细胞胞质皱褶明显。
图2-8 真菌:念珠菌属(中倍、液基、巴氏染色)
鳞状上皮细胞被菌丝“串起”,大片状,背景炎细胞较少。如鳞状上皮细胞成团聚集,注意查找念珠菌。
图2-9 真菌:念珠菌属(中倍、液基、巴氏染色)
孢子嗜伊红染、小而圆形或椭圆形,大小不一的芽生物。鳞状上皮细胞反应性胞核稍增大,核周小空晕。
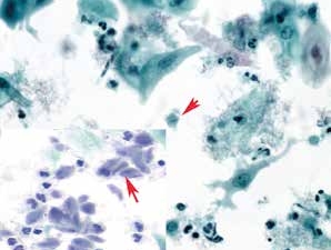
图2-10 真菌:念珠菌属(高倍、液基、巴氏染色)
图示菌丝分节处的孢子,少量中性粒细胞。鳞状上皮细胞的胞核稍增大。
图2-11 真菌:念珠菌属(高倍、液基、巴氏染色)
红箭头指示菌丝(假菌丝);黄箭头指示孢子(大小不一),嗜伊红染。菌丝分节处多见孢子,分支与分支间多呈锐角。
图2-12 真菌:念珠菌属(高倍、液基、巴氏染色)
大量菌丝、孢子以及炎细胞。念珠菌感染也可伴有炎细胞增多。
念珠菌属最常见,其感染包括两种:白色念珠菌和光滑念珠菌。宫颈细胞学不容易区分,因为念珠菌的临床治疗均相同,所以鉴别的意义不大,报告查见念珠菌。90%阴道真菌感染为白色念珠菌,其形态特征:分枝状菌丝(假菌丝),实为拉长的孢子,分枝与分枝之间多呈锐角,菌丝分节处多见孢子。小而圆形或椭圆形的孢子(大小不一),嗜伊红染。鳞状上皮细胞可出现反应性胞核稍增大以及核周小空晕,注意与HPV感染的挖空细胞区别。鳞状上皮细胞的胞质皱褶明显。菌丝表面有一种黏附蛋白,长长的菌丝将鳞状上皮细胞黏附成团或成串,酷似土耳其人的串烤牛柳(shishkabob)。
鉴别:丝状黏液、退变精子、空气污染的念珠菌。空气污染的念珠菌有真菌丝,多呈嗜碱性,有分枝,菌丝粗大,但不分节,无孢子。
1. 阴道滴虫(trichomoniasis)(图2-13~2-19)
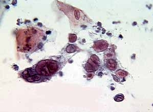
图2-13 阴道滴虫(高倍、液基、巴氏染色)
成群的滴虫(红箭头)以及炎性背景,鳞状上皮细胞反应性胞核增大。
图2-14 阴道滴虫(高倍、液基、巴氏染色)
滴虫(红箭头)梨形或椭圆形。核偏位,梭形或椭圆形。最下方滴虫具有明显的鞭毛。鳞状上皮细胞反应性改变,核周小空晕。
图2-15 阴道滴虫(高倍、液基、巴氏染色)
滴虫(红箭头)核呈明显的梭形,嗜碱性。鳞状上皮细胞反应性改变,背景污秽。插图示多量形态各异的滴虫。
图2-16 阴道滴虫(高倍、液基、巴氏染色)
滴虫(红箭头)似梨形,核梭形,偏位。炎细胞可见,背景污秽。右下柱状上皮细胞反应性改变。
图2-17 阴道滴虫(低倍、液基、巴氏染色)
滴虫背景较“脏”,炎细胞多量。鳞状上皮细胞嗜双色性,胞质腐烂,多碎屑。见到此背景首先考虑滴虫或真菌,并仔细寻找。
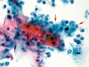
图2-18 阴道滴虫(高倍、液基、巴氏染色)
滴虫(中间红箭头)、细胞碎屑(右侧红箭头)、鳞状上皮细胞反应性改变,核周小空晕(蓝箭头)。
图2-19 阴道滴虫(高倍、液基、巴氏染色)
滴虫(红箭头)形态各异,鳞状上皮细胞(蓝箭头)反应性改变,核周小空晕,胞质嗜双色性。炎细胞较多,背景污浊。
阴道滴虫是一种寄生虫性的性传播疾病。细胞形态特征:滴虫多呈倒置的梨形、椭圆形或圆形,中央可见一个梭形的核,有时核偏位或贴边,染色浅,嗜碱性。胞质灰蓝色伴有嗜伊红染颗粒,液基制片有时可见鞭毛(传统涂片一般不能发现)。多伴急性炎性背景,背景较污秽,细胞胞质腐烂,多碎屑,嗜双色性,退变,可见核周小空晕。
滴虫散在多量出现,极少单独出现。若能见到清晰的核、嗜伊红染的胞质颗粒或清晰的鞭毛,可以判读为滴虫。清晰的核是诊断滴虫的必要条件。鉴别:退变的白细胞、细胞碎屑、萎缩性上皮细胞。
2. 其他寄生虫(other parasites)
非常少见的寄生虫,如血吸虫、肠道蠕虫、阿米巴原虫、地毯甲虫幼虫部分等,偶尔也会在宫颈细胞学中出现。
1. 单纯疱疹病毒(herpesvirus simplex)(图2-20~2-24)
图2-20 单纯疱疹病毒(高倍、液基、巴氏染色)
嗜伊红染的核内包涵体(红箭头),形状与其核相似,少见。染色质退变为毛玻璃样(黄箭头)。
图2-21 单纯疱疹病毒(高倍、液基、巴氏染色)
被感染的细胞单核、双核及多核(插图)。核的形态特征:毛玻璃样,拥挤镶嵌,染色质边聚,核膜增厚,有时可见核内包涵体。
图2-22 单纯疱疹病毒(高倍、液基、巴氏染色)
被感染的细胞单核、双核及多核(红箭头)。毛玻璃样核,核膜增厚,胞质少,无核仁。炎细胞较多。插图嗜伊红染的核内包涵体,偶见。
图2-23 单纯疱疹病毒(高倍、液基、巴氏染色)
被感染细胞多核,拥挤镶嵌,毛玻璃样染色质,染色质聚集在核膜下使核膜增厚,嗜碱性染色。背景炎细胞较多。
图2-24 单纯疱疹病毒(高倍、涂片、巴氏染色)
被感染细胞典型的核改变:多核、核塑形、染色质边缘化。炎性背景明显。
细胞形态特征:被感染的细胞表现为多核伴有胞核增大,胞核拥挤镶嵌,毛玻璃样染色质,染色质聚集在核膜下而使核膜增厚,多呈嗜碱性。典型病变细胞特征为:多核、核塑形、染色质边缘化。偶见嗜伊红染色的核内包涵体,形状与其核相似。背景有较明显的急性炎性改变。
疱疹病毒感染不成熟的鳞状上皮细胞、化生细胞以及子宫颈管腺细胞。病毒主要侵犯细胞核,细胞核的变化是诊断的关键。需要注意宫颈细胞学并不是诊断HSV感染最可靠的方法,PCR检测方法相对更敏感和快速。鉴别:炎性的多核柱状上皮、化生细胞、多核巨噬细胞。
2. 巨细胞病毒(cytomegalovirus, CMV)
宫颈细胞学检查极少发现CMV。被感染的鳞状细胞或化生细胞出现核质比增高,较大的单个嗜碱性核内包涵体,周围可见染色较淡而不明显的空晕。有时很像单纯疱疹病毒感染,但巨细胞病毒感染并无多核现象。子宫颈管内膜细胞比子宫颈阴道部鳞状上皮细胞更易感染。形态特征参见呼吸系统细胞学。
3. 人类乳头状瘤病毒(HPV)
参见本书第四章低度鳞状上皮内病变(LSIL)。
注:低倍,<20×;中倍,20×;高倍,>20×。