



胼胝体发育不全(agenesis of the corpus callosum,ACC)是胎儿最常见的颅脑畸形之一,是胼胝体在各个发育阶段中出现障碍,导致胼胝体的结构及形态等发生改变。根据其认知功能和神经病学的结果,ACC症状较轻者仅表现为轻微的行为异常,较重者则表现为严重的神经系统缺陷。
Paul等将ACC分为胼胝体完全缺失、胼胝体部分缺失和胼胝体变薄。完全性缺失是由于胚胎早期胼胝体发育停滞所致;部分缺失是由于胚胎稍晚期胼胝体发育停滞所致;胼胝体变薄是由于孕晚期胼胝体发育异常所致,此时胼胝体完整性存在,但形态较菲薄。根据ACC是否合并其他颅内畸形,可将ACC进一步分为单纯型和复杂型。单纯型ACC除胼胝体本身的异常外,不伴随其他脑部异常。复杂型ACC除胼胝体本身的异常外,还合并脑裂畸形、灰质异位、Dandy-Walker畸形等其他颅内异常,或合并Aicardi综合征、Andermann综合征、Apert综合征等某些遗传综合征。临床上复杂型ACC发生率明显高于单纯型ACC。
根据其发病原因,可将其分为原发性ACC和继发性ACC。前者发病机制相对复杂,单基因突变、染色体异常、遗传代谢性疾病等均可导致原发性ACC。继发性ACC常由围产期异常(如宫内窒息、早产)、颅脑外伤、血管畸形、颅内肿瘤、脱髓鞘病变等累及或压迫胼胝体所致。ACC在一般人群中发生率约为0.1‰~7‰,而在精神发育迟缓人群中的检出率达2%~4%。但在临床上部分ACC患者最初可能并没有症状,胼胝体变薄和胼胝体部分缺失者多因为其他临床症状检查时偶然发现。随着年龄的增长,才逐渐出现精神发育迟缓等表现,因此存在ACC但无症状的患者易漏诊,目前文献报道的发病率可能远低于实际发病率。
胼胝体是两侧大脑半球间最大的连合纤维,可促进身体两侧运动和感觉信息的整合,从而进一步影响高级认知功能。除胼胝体外,双侧大脑半球间还存在如前连合等其他连接纤维,但胼胝体缺失对两侧大脑半球独立进行各自感觉和运动信息整合及对日常精细的运动均产生显著影响。
单纯型ACC临床表现轻重不一,预后相对较好,部分患者可没有明显的临床症状和体征。而复杂型ACC均有不同程度的临床表现,预后较差。两者主要的临床症状和体征包括:生长发育迟缓、智力低下、痫性发作、肢体肌力减退、肌张力增高、共济失调等。另外复杂型ACC发病比单纯型ACC早,生长发育迟缓、智力低下的发病率也更高。Moutard等对17例产前诊断单纯型ACC的患儿研究报道显示,虽然患儿随着年龄的增加智力有所下降,但患儿运动发育均正常,总体预后良好;10年后再次对患儿评估发现,有近3/4的患儿智力水平在正常范围内,但出现了轻微的阅读障碍。由此表明即使被认为预后较好的单纯型ACC患儿,虽然出生时没有明显表现,但可能会随着年龄的增长逐渐出现行为及认知等社会能力的障碍。
胼胝体是人脑中最大的白质纤维束,它由超过1.9亿根轴突纤维构成,位于两侧端脑内及大脑中线纵裂结构的深部,连接双侧大脑半球相对应的区域。这些连接参与了一系列的认知功能,包括执行功能、语言、抽象推理以及对身体两侧运动和感觉的信息进行整合。
胼胝体从前向后由4个部分构成,依次为胼胝体喙部、膝部、体部和压部。胼胝体神经元来源于大脑皮层的Ⅱ/Ⅲ、Ⅴ和Ⅵ层,在人类和老鼠最先越过中线的神经元轴突来自扣带回皮层。多年来,主流的理论认为人类胼胝体是从前到后的发育模式,首先是胼胝体膝部的轴突越过中线发育,随后是体部、压部开始发育,最后膝部向前形成喙部。
现研究发现在怀孕后第13周和14周,胼胝体初始轴突开始越过中线,在第14周和15周胼胝体前部开始发育,在第18~19周胼胝体后部开始发育。胼胝体的这种发育模式提示,胼胝体早期发育异常可形成完全性胼胝体缺失,而晚期发育异常可形成局限于胼胝体后份和喙部的部分缺失。在怀孕20周时,胼胝体最后的形态基本发育完成,然而活跃的轴突生长将持续到出生后2个月,随后进行分子及功能活动依赖性的轴突修剪。尽管胼胝体纤维的数量在出生时已基本确定,但结构的变化将在产后持续发展变化,最明显的是在童年和青少年时期。
由于胼胝体基本发育完成大概在20周左右,故诊断ACC一般在21周后进行。超声检查是ACC在孕中、晚期首选的检查方式。当发现胼胝体缺失、纵裂池增宽、透明隔缺失时可明确诊断。但是超声往往会漏诊相对轻微的变化,如部分胼胝体缺失、胼胝体变薄以及大脑白质发育不良等。由于胎儿MRI能任意方位成像,可直接观察胼胝体的形态、大小及发育程度,因此产前MRI是怀疑存在ACC病例的首选检查方法。另外MRI能提示更广泛的神经发育障碍。
胼胝体完全性缺失(图2-3-1~图2-3-3)表现为:矢状位示第三脑室扩张并向上移位,扣带回呈放射状分布,前连合可缺如、变小或正常,胼周动脉可见走行异常,即未绕过胼胝体膝部而呈垂直或向后走行;冠状位示大脑纵裂池向下延伸至第三脑室顶,侧脑室呈“公牛角”样改变;横断位示双侧侧脑室平行分离,侧脑室后角及三角区不同程度扩张,侧脑室前角变窄,第三脑室扩张并上移位至分离的两侧脑室之间,有时呈囊状;DTI示胼胝体纤维束形成Probst束而不交叉。胼胝体部分缺失(图2-3-4~图2-3-6)表现为:胼胝体形态不完整,连续性中断并部分缺失;伴或不伴相应侧脑室、第三脑室形态异常及胼周动脉走行异常。胼胝体形态变薄(图2-3-7)表现为:胼胝体形态完整,但整体变薄。复杂性ACC除胼胝体自身的异常外,还可出现其他脑发育异常,如灰质异位、脑裂畸形、Dandy-Walker畸形等。
诊断要点:ACC直接征象表现为正中矢状位或冠状位显示胼胝体完全性缺失、部分缺失或形态菲薄。间接征象表现为侧脑室体部近乎平行性分离,侧脑室后角及三角区不同程度扩张,冠状位侧脑室呈“公牛角”样改变。
鉴别诊断:
手术或外伤、缺氧缺血性脑病、脑梗死及脑出血所致胼胝体的异常改变,需要结合相关病史。
脑积水所致胼胝体形态变薄,有脑积水征象,胼胝体完整。
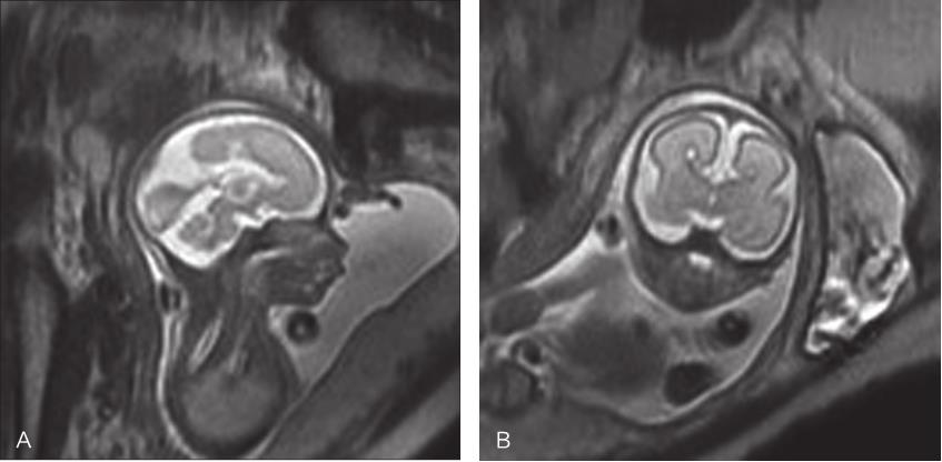
图2-3-1 孕22周胎儿头颅MRI平扫
A.矢状位T 2 WI,胎儿胼胝体未见显示;B.冠状位T 2 WI示双侧侧脑室分离呈“公牛角”样改变
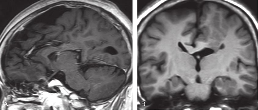
图2-3-2 胼胝体完全缺失MRI表现
A.矢状位T 2 WI示胼胝体完全性缺失,第三脑室扩张并向上移位,扣带回呈放射状分布,胼周动脉垂直向上走行;B.冠状位T 1 WI示脑纵裂池向下延伸至第三脑室顶,侧脑室呈“公牛角”样改变;C、D.横断位T 2 WI示双侧侧脑室平行分离,侧脑室后角及三角区扩张,侧脑室前角变窄,第三脑室扩张并上移位至分离的两侧侧脑室之间
图2-3-3 胼胝体完全缺失伴脑裂畸形MRI表现
A.矢状位T 1 WI胼胝体完全性缺失并脑裂畸形(箭);B.横断位T 2 WI示右侧额叶脑裂畸形(箭)
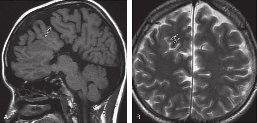
图2-3-4 胼胝体部分缺失MRI表现
A.矢状位T 2 WI示胼胝体喙部、压部及体后部缺失;B.横断位T 1 WI示胼胝体压部缺失
图2-3-5 胼胝体部分缺失伴灰质异位MRI表现
A.矢状位增强T 1 WI示胼胝体喙部缺如,体部形态不规则;B.冠状位T 1 WI示胼胝体体部形态不规则,左侧额叶灰质异位
图2-3-6 胼胝体膝部及喙部缺失伴Dandy-Walker畸形
矢状位T 2 WI示胼胝体膝部及喙部未见显示,小脑蚓部发育不全,第四脑室囊肿样扩张
图2-3-7 胼胝体变薄MRI表现
矢状位T 1 WI示胼胝体结构完整,形态明显变薄
(李宗芳)