



临床特征
甲状旁腺腺瘤和罕见的甲状旁腺腺癌在临床上可被误诊为甲状腺结节,大多数患者有高钙血症。其他甲状旁腺功能亢进的临床症状包括:慢性肾衰竭、囊性纤维性骨炎(棕色瘤)、血清碱性磷酸酶和甲状旁腺激素升高等 [ 17 ] 。
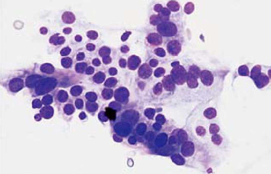
· 细胞量丰富,细胞间互相黏附呈片状、索状,偶尔形成小腺泡结构(图2-76);亦可见单个的细胞和裸核。
图2-76 甲状旁腺腺瘤
细胞涂片含有大量细胞,黏附成片状(巴氏染色)
· 可见毛细血管,周边细胞排列成栅栏状。
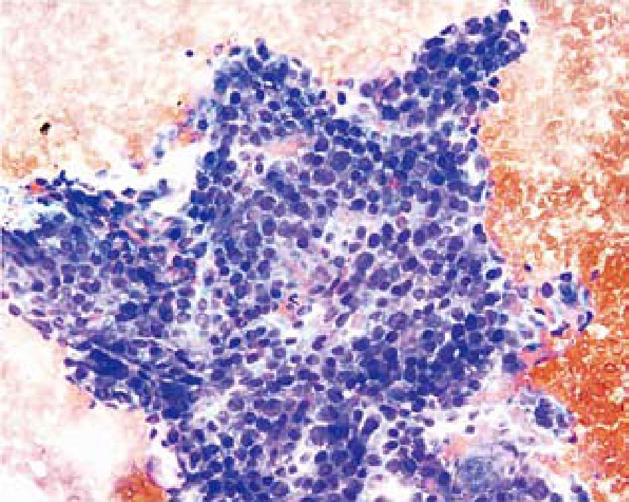
· 细胞核呈圆形,染色质为粗颗粒状,核仁小或突出;局部可见轻度核多形性(图2-77)。
图2-77 甲状旁腺腺瘤
细胞核呈圆形,有颗粒状染色质,不明显核仁;可见轻度核多形性(Diff-Quik染色)
· 胞质较丰富,可呈细颗粒状(主细胞)或嗜酸性(嗜酸性粒细胞)。
· 无胶质。
鉴别诊断
甲状旁腺肿瘤经常会被误诊为甲状腺滤泡性肿瘤 [ 49 , 50 ] 。甲状腺滤泡性肿瘤细胞大小较甲状旁腺细胞大,一般缺乏多形性;无毛细血管;患者血钙正常;甲状腺球蛋白和TTF-1免疫组化染色为阳性,而甲状旁腺激素染色为阴性。
1. Mortensen JD, Woolner LB, Bennett WA. Gross and microscopic findings in clinically normal thyroid glands. J Clin Endocrinol Metab, 1955, 15: 1270-1280.
2. Horlocker TT, Hay JE, James EM, et al. Prevalence of incidental nodular thyroid disease detected during high-resolution parathyroid ultrasonography. In: Medeiros-Neto G, Gaitan E, ed. Frontiers in Thyroidology, New York: Plenum Medical Book Co, 1986. 1309-1312.
3. Galloway JW, Sardi A, DeConti RW, et al. Changing trends in thyroid surgery: 38 years'experience. Am Surg, 1991, 57: 18-20.
4. Suen KC. How does one separate cellular follicular lesions of the thyroid by fine-needle aspiration biopsy?. Diagn Cytopathol, 1988, 4: 78-81.
5. Zhang YX, Zhang B, Zhang ZH, et al. Fine-needle aspiration cytology of thyroid nodules: a clinical evaluation. Zhonghua Er Bi Yan Hou Tou Jing Wai Ke Za Zhi, 2011, 46(11): 892-896.
6. Stoffer RP, Welch JW, Hellwig CA, et al. Nodular goiter: Incidence, morphology before and after iodine prophylaxis, and clinical diagnosis. Arch Intern Med, 1960, 106: 10-14.
7. Vander JB, Gaston EA, Dawber TR, The significance of nontoxic thyroid nodules: Final report of a 15year study of the incidence of thyroid malignancy. Arch Intern Med, 1968, 69: 537-540.
8. Ezzat S, Sarti DA, Cain DR, et al. Thyroid incidentalomas: prevalence by palpation and ultrasonography. Arch Intern Med, 1994, 154: 1838-1840.
9. Bruneton JN, Balu-Maestro C, Marcy PY, et al. Very high frequency(13 MHz)ultrasonographic examination of the normal neck: Detection of normal lymph nodes and thyroid nodules. J Ultrasound Med, 1994, 13(2): 87-90.
10. Marqusee E, Benson CB, Frates MC, et al. Usefulness of ultrasonography in the management of nodular thyroid disease. Ann Intern Med, 2000, 133: 696-700.
11. Cibas ES, Alexander EK, Benson CB, et al. Indications for Thyroid FNA and Pre-FNA Requirements. A Synopsis of the National Cancer Institute Thyroid Fine Needle Aspiration State of the Science Conference Diagnostic Cytopathology, 2008, 36: 390-399.
12. Hegedus L, Bonnema SJ, Bennedbaek FN. Management of simple nodular goiter: Current status and future perspectives. Endocr Rev, 2003, 24(1): 102-132.
13. Pitman MB, Abele J, Ali S, et al. Techniques for thyroid FNA: A synopsis of the National Cancer Institute Thyroid Fine Needle Aspiration State of the Science Conference. Diagnostic Cytopathology, 2008, 36: 407-424.
14. Malle D, Valeri RM, Pazaitou-Panajiotou K, et al. Use of a thin-layer technique in thyroid fine needle aspiration. Acta Cytol, 2006, 50(1): 23-27.
15. Hoda RS. Non-gynecologic cytology on liquid-based preparations: A morphologic review of facts and artifacts. Diagn Cytopathol, 2007, 35(10): 621-634.
16. Syed Z Ali, Edmund S Cibas. The Bethesda System for Reporting Thyroid Cytopathology: Definitions, Criteria and Explanatory Notes, 2010. ISBN-13: 978-0387876658.
17. Edmund S Cibas, Barbara S Ducatman Cytology. Diagnostic Principles and Clinical Correlates, Expert Consult. 3rd edition. 2009. ISBN-13: 978-1416053293.
18. Pitman MB, Abele J, Ali SZ, et al. Techniques for thyroid FNA: A synopsis of the National Cancer Institute Thyroid Fine-Needle Aspiration State of the Science Conference. Diagn Cytopathol, 2008, 36(6): 407-424.
19. Jing X, Michael CW, Pu RT. The clinical and diagnostic impact of using standard criteria of adequacy assessment and diagnostic terminology on thyroid nodule fine needle aspiration. Diagn Cytopathol, 2008, 36(3): 161-166.
20. Layfield LJ, Abrams J, Cochand-Priollet B, et al. Post-thyroid FNA testing and treatment options: a synopsis of the National Cancer Institute Thyroid Fine Needle Aspiration State of the Science Conference. Diagn Cytopathol, 2008, 36(6): 442-448.
21. Orija IB, Pineyro M, Biscotti C, et al. Value of repeating a nondiagnostic thyroid fine-needle aspiration biopsy. Endocr Pract, 2007, 13(7): 735-742.
22. Yassa L, Cibas ES, Benson CB, et al. Long-term assessment of a multidisciplinary approach to thyroid nodule diagnostic evaluation. Cancer, 2007, 111(6): 508-516.
23. Gharib H, Goellner JR, Johnson DA. Fine-needle aspiration cytology of the thyroid: A 12-year experience with 11, 000 biopsies. Clin Lab Med, 1993, 13: 699-709.
24. Layfield L, Cochand-Priollet B, LiVolsi V, et al. Post Thyroid FNA Testing and Treatment Options: A synopsis of the national cancer institute thyroid fine needle aspiration state of the science conference. Diagnostic Cytopathology, 2008.
25. Paolo Gattuso, Vijaya B Reddy, Odile David. Differential Diagnosis in Surgical Pathology: Expert Consult. 2nd edition. 2009. ISBN-13: 978-1416045809
26. Pitman MB, Abele J, Ali S, et al. Techniques for Thyroid FNA: A synopsis of the national cancer institute thyroid fine needle aspiration state of the science conference. Diagn Cytopathol, 2008, 36(6): 407-424.
27. Gharib H, Goellner JR. Diagnosis of amyloidosis by fine-needle aspiration biopsy of the thyroid[Letter].N Engl J Med, 1981, 305: 586.
28. Keyhani-Rofagha S, Kooner DS, Landas SK, et al. Black thyroid: A pitfall for aspiration cytology. Diagn Cytopathol, 1991, 7: 640-643.
29. Centeno BA, Szyfelbein WM, Daniels GH, et al. Fine-needle aspiration biopsy of the thyroid gland in patients with prior Graves'disease treated with radioactive iodine: Morphologic findings and potential pitfalls. Acta Cytol, 1996, 40: 1189-1197.
30. Layfield LJ, Abrams J, Cochand-Priollet B, et al. Post-thyroid FNA testing and treatment options: A synopsis of the National Cancer Institute Thyroid Fine Needle Aspiration State of the Science Conference. Diagn Cytopathol, 2008, 36(6): 442-448.
31. Cooper DS, Doherty GM, Haugen BR, et al. Management guidelines for patients withthyroid nodules and differentiated thyroid cancer. Thyroid, 2006, 16(2): 109-142.
32. Wang HH. Reporting thyroid fine-needle aspiration: Literature review and a proposal. Diagn Cytopathol, 2006, 34(1): 67-76.
33. Cooper DS, Doherty GM, Haugen BR, et al. Management guidelines for patients with thyroid nodules and differentiated thyroid cancer. Thyroid, 2006, 16(2): 109-142.
34. LiVolsi VA, Albores-Saavedra J, Asa SL. Papillary carcinoma. In: Lellis D, Lloyd R, Heitz PU, Eng C, eds. WHO classification of tumours. Pathology and genetics of tumours of endocrine organs. Lyon: IARC Press, 2004. 57-66.
35. Cooper DS, Doherty GM, Haugen BR, et al. Management guidelines for patients with thyroid nodules and differentiated thyroid cancer. Thyroid, 2006, 16(2): 109-142.
36. Layfield L, Cochand-Priollet B, LiVolsi V, et al. Post Thyroid FNA Testing and Treatment Options: A Synopsis of the National Cancer Institute Thyroid Fine Needle Aspiration State of the Science Conference. Diagn Cytopathol, 2008, 36(6): 442-448.
37. Jimenez C, Hu MI, Gagel RF. Management of medullary thyroid carcinoma. Endocrinol Metab Clin North Am, 2008, 37(2): 481–496, x-xi.
38. Sanders EM Jr, LiVolsi VA, Brierley J, et al. An evidence-based review of poorly differentiated thyroid cancer. World J Surg. 2007;31(5): 934-945.
39. Venkatesh YS, Ordonez NG, Schultz PN, et al. Anaplastic carcinoma of the thyroid.A clinicopathologic study of 121 cases. Cancer, 1990, 66(2): 321-330.
40. Miettinen M, Franssila KO. Variable expression of keratins and nearly uniform lack of thyroid transcription factor 1 in thyroid anaplastic carcinoma. Hum Pathol, 2000, 31(9): 1139-1145.
41. Lang BH, Lo CY. Surgical options in undifferentiated thyroid carcinoma. World J Surg, 2007, 31(5): 969-977.
42. Derringer GA, Thompson LDR, Frommelt RA, et al . Malignant lymphoma of the thyroid gland: a clinicopathologic study of 108 cases. Am J Surg Pathol, 2000, 24: 623-639.
43. Disibio G, French SW. Metastatic patterns of cancers: results from a large autopsy study. Arch Pathol Lab Med, 2008, 132(6): 931-939.
44. Czech JM, Lichtor TR, Carney JA, et al. Neoplasms metastatic to the thyroid gland. Surg Gynecol Obstet, 1982, 155(4): 503-505.
45. Ivy HK. Cancer metastatic to the thyroid: A diagnostic problem. Mayo Clin Proc, 1984, 59(12): 856-859.
46. Shimaoka K, Sokal JE, Pickren JW. Metastatic neoplasms in the thyroid gland.Pathological and clinical findings.Cancer, 1962, 15: 557-565.
47. Schroder S, Burk CG, de Heer K. Metastases of the thyroid gland–morphology and clinical aspects of 25 secondary thyroid neoplasms. Langenbecks Arch Chir, 1987, 370(1): 25-35.
48. Richard Mac Demay. The Art & Science of Cytopathology. 2nd Edition. 2011. ISBN-13: 978-0891896449
49. Tambouret R, Szyfelbein WM, Pitman MB. Ultrasound-guided fine-needle aspiration biopsy of the thyroid. Cancer(Cancer Cytopathol), 1999, 87: 299-305.
50. Winkler B, Gooding GA, Montgomery CK, et al. Immunoperoxidase confirmation of parathyroid origin of ultrasound-guided fine needle aspirates of the parathyroid glands. Acta Cytol, 1987, 31: 40-44.