



传统的放射性肠道损伤归因于促克隆形成的肠道上皮隐窝干细胞的死亡,而实际上放射性肠道损伤是许多同步、连续的病理生理事件共同造成的后果。放射性肠道损伤过程主要涉及肠上皮丢失、缺血、氧化应激、纤维化等病理过程,显示放射性肠道损伤包括肠上皮细胞耗损、肠黏膜屏障破坏、炎症、细胞因子释放的继发效应等多个过程。从生理学角度来看,放射性肠道损伤的功能性改变包括肠道能动性和渗透性变化,菌群迁移至血液和血浆中的瓜氨酸水平的改变等。从病理学角度来看,放射性肠道损伤包括肠上皮细胞耗损,肠黏膜屏障作用的破坏,黏膜相关的分泌性腹泻等,病理特征主要为肠上皮细胞消耗,可能伴有由更高剂量的射线导致的血管损伤。甚至在低于诱发放射性肠道损伤症状阈值的照射剂量下,黏膜屏障作用的破坏使细菌进入循环系统,从而导致败血症甚至伴随着免疫抑制并最终死亡。即使辐射并未诱发死亡,辐射损伤后的长期组织重建改变胃肠道的结构、能动性和吸收功能,纤维变性使它变得更加僵硬并且更易发生肠道粘连、狭窄和穿孔,这些病变对受照人群的生存质量造成严重而深远的影响。随着检测手段的进步,从分子生物学角度来看,放射性肠道损伤则强调了蛋白质修饰,氧化还原状态的改变,炎症、细胞因子释放的继发效应和细胞丢失的功能性后果。
放射性肠道损伤的急性反应常见于核突发事故、环境污染照射等,人类的数据主要来源于广岛和长崎幸存者、在1954年受到放射性落下灰意外照射的马绍尔人、少数几次核设施事故(如切尔诺贝利、福岛核泄漏事故等),而急性辐射综合征平时极难见到,采用实验方法在动物身上可成功复制,因此,今天我们对辐射损伤的大部分知识,是通过动物实验积累起来的,动物实验提供了大量的数据,使我们能够深入的理解照射后机体死亡的机制与损伤反应。其主要表现为动物受照射后几小时内,以恶心、呕吐、腹泻为主要起始症状,肠道(主要是小肠)黏膜损伤、脱落,隐窝受到严重破坏,失去增殖更新能力,绒毛剥脱,失去正常屏障,肠内营养消化吸收产生严重障碍,体内水分、电解质流失。肠道炎症因子分泌伴随肠道细菌繁殖,毒素增多和扩散,诱发内毒素血症,动物在3~5天内死亡。
慢性反应常见于放射工作者的职业性照射、临床医疗诊断照射等,其数据详实,病历资料完整,常表现为机体胃肠道的功能改变与器质性损伤,临床上常见有放射性肠纤维化等。临床表现主要为胃黏膜屏障受损、消化吸收障碍、细菌移位,长期则表现为组织损伤伴随自身修复,导致肠道结构异常、动力障碍、消化吸收障碍、纤维化。
目前小鼠模型是基础研究中最常见的动物模型,其被广泛应用于研究辐射损伤干预措施和探索各类辐射损伤的发生机制与特点,见表3-4-1。在过去十几年中,小鼠模型已大量用于放射性肠道损伤的间充质干细胞移植治疗实验,对于间充质干细胞移植的多方面治疗效果与机制、特点做了全面阐述。多个研究报道在小鼠肠道辐照模型中,间充质干细胞移植不仅改善了组织病理破坏,如延长辐照小鼠的生存期,维持肠道屏障完整性与肠上皮绒毛数目,保护肠隐窝干细胞数目与抑制细胞凋亡。另外在分子生物学层面也展现了多样化的治疗特点,如通过对小鼠模型的一系列生化检测,证实间充质干细胞移植提高小鼠血清中R-spondin1、KGF、IL-10和PGE2水平,保护干细胞增殖、缓解肠道炎症,还上调SDF-1、VEGF、FGF和Flk-1水平,促进血管形成,缓解肠道缺血坏死。小鼠模型的推广运用证实了间充质干细胞移植的治疗效果,推动了间充质干细胞移植治疗的临床转化应用。
表3-4-1 肠道辐射损伤动物模型构建
另外用无菌小鼠研究放射的生物学效应,可以将放射所引起的症状和因感染而发生的症状区别开来。无菌小鼠能耐受较大剂量的X线照射,在用致死剂量照射后小鼠的存活时间也要长些。因放射而引起的黏膜损伤,无菌小鼠比普通对照小鼠要轻。大剂量射线照射普通小鼠,除照射本身的影响外,尚有肠道微生物影响,而照射对无菌小鼠则主要为照射本身引起的后果。无菌小鼠受500~1000rad照射后影响造血系统和骨髓细胞功能,大于1000rad可致肠黏膜损伤,出现肠黏膜上皮细胞再生停滞。同样剂量的射线对普通小鼠肠黏膜损伤大,可致肠黏膜上皮脱落。
应用小鼠模型具有众多优势,小鼠模型对不同品质的射线(Co-60、X射线、混合中子束)均有反应且具有增龄性效应,能迅速的表现出胃肠辐射损伤的症状。其中最重要的一点就是它与人类在解剖、生理和遗传上的相似性;超过95%的小鼠基因与人类基因相匹配。另外,更多的研究试剂对老鼠相较于其他动物模型来说更有效。另一个使用小鼠模型的重要优点是大量品系的可用性,种类繁多,繁殖快,加快的生命周期,经济实惠。老鼠的身型、传代时间短和加快的生长周期(老鼠的一年等同于人类的30年),在开展独立研究的花费、时间和空间上提供了更多了优势。
大鼠与小鼠模型类似,更大的体型有助于一些肯定性的实验方法。例如异食癖(一种进食障碍-通过吃非食物的物质来获得满足感)常通过放疗所致大鼠呕吐反应来实施行为学指数模型。豚鼠的实验资料有限,主要特点为对射线反应快,生命周期较短。研究放射性肠道损伤中的出血症状和血管通透性变化时,豚鼠的血管反应敏感,出血症状最为显著,另外狗的出血症状也比较显著,而猴和家兔的症状轻微,小鼠和大鼠的出血症状较为少见。
但是由于啮齿类动物模型与人类的生理特征并不完全相同并缺乏放射诱发的恶心、呕吐等前驱症状,而放射诱导的呕吐在其他多种动物模型中被广泛研究,并且不同模型的发生机制并不相同。研究呕吐前驱症状的最佳模型是犬和白鼬。白鼬模型是研究前驱症状(恶心、呕吐)的最佳模型,表现出了与人类相似的放射敏感性和相同的恶心、呕吐和腹泻的前驱症状,适用于研究呕吐反应,更适用于抗生素相关性腹泻、胃肠道淤积和肠梗阻等疾病症状。犬类模型适用于以呕吐为研究终点的胃肠道损伤,然而对放射所致呕吐和胃排空延迟与非人灵长类动物、人类没有关联性。
另一方面啮齿类动物模型最主要的缺点是体型小厚度薄,这一点不能很好地解释人类暴露后特有的剂量分布异质性,尽管品种丰富的鼠类动物广泛应用于医学生物学研究,为我们进行放射损伤研究积累了丰富的数据与经验,但为了进一步改善辐射损伤干预措施的安全性和有效性,仍需要大型动物模型来解释各类辐射损伤发生机制与特点。
非人灵长类动物和犬类是在研究胃肠损伤中运用最广泛的大型动物模型。NPHs和犬类都能呕吐和发生腹泻;与它们相关的胃肠收缩能被用于监测减轻放射病的药物的反应。其中缓和剂的研发中最关键因素就是呕吐和腹泻,因为它们能加剧液体流失和限制口服缓和剂的使用。非人灵长类动物有95%的DNA序列与人类一致,组织病理学和病理生理学方面的辐射损伤与人类的表现最接近。其在受体、生理通路和影响寿命的支持治疗方面与人类有很高的相似度,可以建立起非人灵长类动物和人类的剂量-效应关系的联系是动物模型的金标准,被FDA所认可。
猕猴进化程度高,接近于人类,它们具有与人相近的生理生化代谢特性和相同的药物代谢酶,大量实验证明,灵长目动物在药物代谢方式等方面远较非灵长类动物更接近于人,人的放射病就其表现而言与猕猴最为接近,因此猕猴广泛用于放射医学的研究,一些研究利用狒狒评估了X-射线、 60 Co-光子束和混合暴露下的辐射损伤。非人灵长类动物劣势在于伦理道德准则、生命周期长、饲养成本上涨、获取来源困难。
而树鼩是一种体小、价廉的灵长类动物,它的新陈代谢远比犬鼠等动物更接近于人,大体解剖也近似于人,因此在医学生物学上用途很广,现已用于化学致癌、生物致癌、睡眠生理的模型研究,受到广大科学工作者的重视,对比于高价、饲养成本高的猕猴不失为一种经济的替代品种。
最新研究表明小型猪能作为人类胃肠辐射损伤的研究模型。猪的胃肠有着与人类类似的生理学特征,包括通过时间和pH,小型猪适用于将呕吐和腹泻作为参数的研究,但在研究肠梗阻方面不如雪貂和犬。Gottingen小型猪是医学研究过程中越来越常用的大型动物模型,目前被认为是药物批准研究的合适动物模型。小型猪的身体厚度可以跟年轻人相提并论,与人类在剂量吸收模型中十分类似。有研究报道了小规模的迷你猪模型中高剂量射线所致的胃肠综合征,这项研究使用了10Gy和15Gy的腹部照射( 60 Co射线,1.4317Gy/min)来证明迷你猪模仿了人类的胃肠综合征。血浆中的瓜氨酸水平也被认为是辐射所致肠道损伤的生物标志物。另一项报道在Gottingen迷你猪模型中使用了5~12Gy的全身照射( 60 Co射线,0.6Gy/min)来研究胃肠综合征并证明了相关参数(血浆中的瓜氨酸,腹泻,呕吐,菌群迁移和肠上皮细胞丢失)的发生呈剂量依赖性。
然而有一些动物并不适合于放射性肠道损伤的研究,例如家兔对射线十分敏感,照射后常发生休克样的特有反应,有部分动物在照射后立即或不久死亡,其休克的发生率和动物死亡率与照射剂量呈一定的线性关系。
放射性肠损伤病因复杂,研究的重点主要集中在受照后肠干细胞死亡导致肠黏膜功能受损、内皮细胞损伤诱发腹泻、氧化应激引发炎症反应、肠道菌群失调加剧放射性肠炎等,建立皮肤辐射损伤模型有助于研究放射性肠道损伤的发病机制和防治措施。本书以最常见的雄性C57BL/6J小鼠为例,阐述放射性肠道损伤模型的建立步骤与常见检测指标。选取8~12周龄的雄性C57BL/6J小鼠,体重25~30g,常规饲养。将小鼠放入与体型匹配的有机玻璃固定装置内,使其保持清醒状态且固定身体,四肢平铺,呈俯卧位。应用医用电子直线加速器全身/腹部局部照射一次,射线种类为6MeV X线,剂量为6~8Gy,剂量率为200cGy/min,源皮距为100cm。
记录小鼠体重流失、腹泻严重程度、粪便特征、存活率、进食量等一般情况。体重流失超过15%则被认为是病态的,若1天内体重减轻20%则给予安乐死。腹泻的严重程度,可采用腹泻评分来判断:0为正常粪便,1为失去形状的粪便,2为明显的痢疾,并伴有肛周的污秽,3为严重的痢疾或血便,伴有大量的尾部的污秽。在照射后4~10天的腹泻高峰期中,每天需进行两次腹泻评分,以保证对粪便的黏稠度评价的一致性。
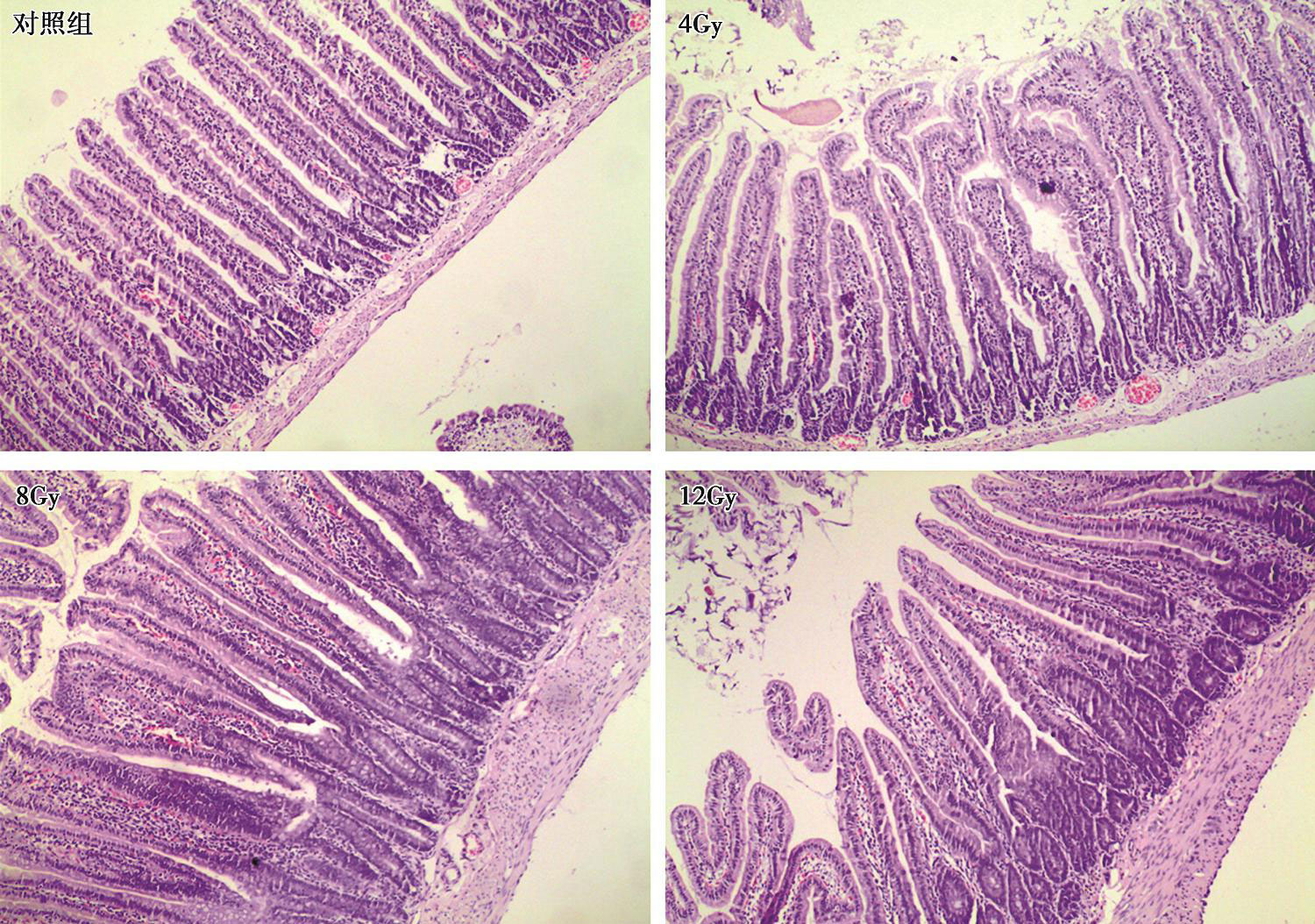
按实验所需时间点采集小鼠肠道组织,HE染色检测小鼠肠道病理改变,显微镜下观察隐窝数目、完整度、绒毛高度等指标。小肠横截面中HE染色的隐窝细胞(不含潘氏细胞)数大于10个时,定义为一个幸存的隐窝,并以此记录存活的隐窝数量基于隐窝的宽度,引入尺寸校正因子以减小误差。参考以下公式:校正后的隐窝数量=(对照组隐窝宽度/照射组隐窝宽度)×存活的隐窝数量。小鼠肠道组织受照后,可出现绒毛变短,甚至消失,肠隐窝肥大及基底组织纤维化等,见图3-4-1。
图3-4-1 小鼠肠道组织受照后HE染色
小鼠肠道组织HE染色显示其受照后绒毛变短甚至消失,肠隐窝肥大及基底组织纤维化等病理特点
肠隐窝底部向上数+4位置处细胞常被定义为肠道干细胞,采用EdU、BrDU免疫荧光染色和Ki67免疫组化染色评价隐窝细胞增殖能力,采用Lgr5、Bmi1作为隐窝干细胞标志物,行免疫组化检测,评价隐窝干细胞数目与增殖能力。EdU免疫荧光染色评价隐窝细胞增殖能力,如图3-4-2所示。
图3-4-2 肠道隐窝EdU免疫荧光染色
小鼠肠道组织EdU免疫荧光染色显示其受照后肠道增殖细胞明显减少
采用有荧光特性的化合物异硫氰酸荧光素(fluorescein isothiocyanate,FITC)与葡聚糖偶联作为标记物对照射后的动物进行灌胃,检测动物血液样本的荧光强度,通过在荧光分光光度计上绘制FITC-葡聚糖标准曲线来评价肠道的完整性。
经典的炎症检测主要是采用酶联免疫吸附测定法检测炎性因子,如TNF-α、IL-1α、IL-1β、IL-6、Ⅰ型干扰素等。
常采用免疫荧光、western blot等检测方法检测细胞损伤标记物,如凋亡标记物Caspase-3、Bax,DNA损伤标记物γ-H2AX及TUNEL染色显示肠道细胞损伤过程。
动物模型的选择取决于正在被研究的特定病理生理学过程及其研究终点。肠道功能衰竭诱导的死亡是急性胃肠辐射综合征的主要研究终点,组织病理学的研究终点则往往是增殖性肠腺的数目。生理学实验研究终点主要是胃肠动力、细菌移位、肠道渗透性、血浆瓜氨酸水平改变等。在选择合适的动物物种与品系之后,综合考虑模型建立中存在的各类影响因素及其可能诱发的差异也是动物模型能否成功的必要因素。
肠放射综合征在小鼠和大鼠中表现非常明显,而家兔、豚鼠、狗、猴则不太明显,即使是同一种动物中的不同品系亦可表现出显著不同的放射敏感性,很早之前就发现,小鼠品系的不同导致放射敏感性和生存时间的差异,这一点可能主要由于固有免疫应答和肠道正常菌群的不同。
在能引起胃肠放射综合征的剂量照射下,如果动物40%的骨髓被屏蔽,那么生存时间将显著增加。不同种类辐射所产生的生物学效应不同,从射线物理特性来看,电力密度和穿透能力对其生物效应有重要影响。α射线的电力密度较大,但穿透能力很弱,外照射时对机体损伤作用小。β射线的电力密度较α射线小,而穿透力大,外照射可引起皮肤表层损伤。X射线和γ射线穿透力很强,外照射易引起严重损伤。各种重粒子具有极强穿透力,而且在射程末端产生极高电离密度,外照射可引起更严重损伤。在一般情况下,总辐射剂量相同时,剂量率越大,生物效应愈显著,但有一定的限度。当辐射的总剂量和剂量率相同时,分次给予辐射的效应要低于一次给予的效应。
儿童和老年人出现绝大部分确定性症状的受照剂量在一定程度上低于成年人。越年轻的小鼠发生胃肠放射综合征需要越低的剂量。这与年轻小鼠体内促克隆形成的肠隐窝细胞群的放射敏感性不同有关。关于动物性别对放射敏感性影响的报道尚有争议。一些材料证明雌性敏感性较高,而另一些则认为雄性敏感性高或性别间无差异。