



电离辐射是造成组织损伤的物理性因素之一。受到照射的器官和组织几乎都会产生病理形态学的改变,这些改变大致可以分为上皮、间质和血管三个主要方面。但是这些细胞、组织损伤在病理形态学方面的改变并不具有特异性。放射治疗后数天或数周后开始逐渐出现早期病理改变,一般在消化道、骨髓或睾丸组织中有比较明显的早期病理变化。组织器官的晚期病理变化具有相似性。把各种不同的病理形态改变作为一个整体来分析,可以提示有放射性损伤的线索。因此对于病理学工作者来说,要知晓患者病史、既往是否有放射治疗史,对于做出正确的病理诊断具有重要意义。
萎缩(atrophy)是放疗晚期效应中最常见的病理变化之一。病理学上我们把实质细胞的体积减少称之为萎缩,细胞萎缩可导致组织、器官的体积缩小,萎缩的器官常伴有细胞数量的减少。放射治疗后,被覆有黏膜上皮的空腔器官如消化道、呼吸道、尿道,被覆表皮的皮肤组织,以及胰腺、乳腺及涎腺等均可发生萎缩。甚至某些实质脏器如肺脏、肾脏等也可以发生萎缩。这些组织器官的萎缩不仅有细胞体积的缩小,而且更多的是由于细胞坏死、凋亡或衰老引起的细胞数量的减少。
一些上皮或实质组织相比于其他组织更容易受损、且受损更加严重。重度萎缩见于脂肪腺体、消化道上皮、尿路上皮、唾液腺以及睾丸的原始细胞;中度萎缩见于上呼吸道、消化道、肺、肾。与其他延迟性放射损伤类似,萎缩不是均匀发生的,即使在接受均一放射剂量的器官内。
坏死(necrosis)并不在所有组织中发生,局部坏死同样发生于有上皮被覆的各种器官如皮肤、消化道、呼吸道及尿道等。中枢神经系统的坏死有一定特征性,特别是脑和脊髓的白质部分,坏死往往是凝固性坏死,能够产生嗜酸性颗粒样物质。大多数研究者认为中枢神经系统的坏死主要是由于持续性缺血所致的微血管损伤。
化生(metaplasia)是一种分化成熟的细胞被另一种分化成熟的细胞替代的过程。放射治疗中化生并不发生于所有器官,通常见于前列腺和乳腺的腺泡及导管。
上皮非典型增生(epithelial atypia),形态学表现为细胞胞质体积增大、细胞核染色深但不清晰、核仁不明显。非典型上皮细胞常见于皮肤表皮、黏膜上皮以及某些器官的导管上皮等。尽管上皮细胞非典型改变不是很显著和普遍,但是难与肿瘤细胞相鉴别,从而引起诊断的困扰。一般来说这种非典型改变仅是细胞而无组织结构上的改变(图2-2-1)。
图2-2-1 口底鳞状细胞癌放疗后3年改变
高倍镜观察(HE染色,×400)黏膜腺体萎缩伴上皮细胞反应性非典型改变,腺体的组织结构基本保持不变
异型增生(dysplasia),是一种癌前病变。多见于鳞状上皮,形态上也表现为细胞体积增大、胞质丰富、核染色深但染色清晰无模糊改变。细胞极性常发生改变,出现组织结构的异型性。细胞非典型改变及异型性增生均为基因发生损伤的结果,但是非典型上皮细胞产生子代细胞的能力减弱或消失,而异型性增生的上皮细胞则具有显著增生的潜能,有产生肿瘤性克隆的能力。
肿瘤形成(neoplasia),虽然由射线所致的肿瘤存在夸大现象,但是起源于任何射线照射区域的肿瘤已经被研究者观察到。放射线所致的肿瘤可发生于暴露后几年。对于白血病至少2年、实体肿瘤至少5年。放射线所致的肿瘤形态学变化与非射线引起的肿瘤没有区别。因此,没有肿瘤可以从大体形态以及显微镜表现诊断为放射线所致的肿瘤。
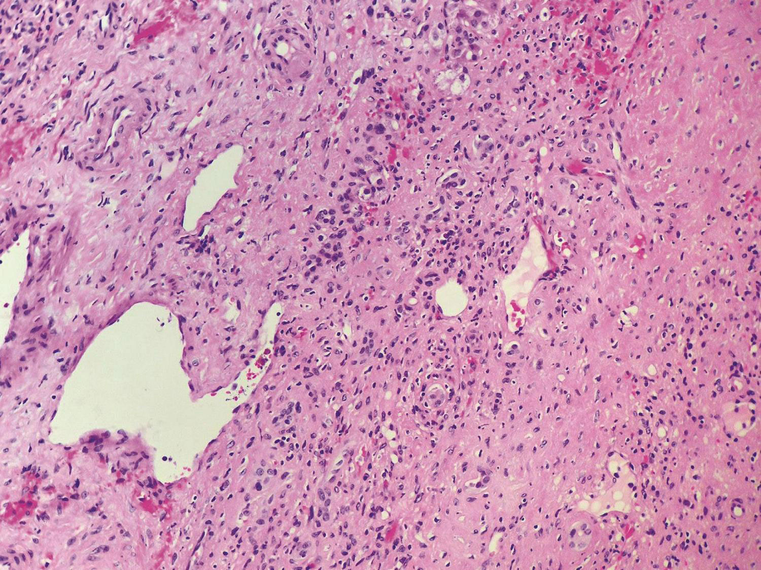
间质病变是放疗后晚期损伤中比较有特征性的改变。其中纤维化(fibrosis)(图2-2-2)是晚期病变中最常见的病理变化,几乎发生于所有组织器官,且与放疗的时间和剂量有关。不同的组织器官其纤维化的程度也有所不同,即使同一组织器官,其纤维化的程度也并不均一,即有的区域纤维化显著而有的区域仅有少量的纤维组织。纤维化一般不发生于脑组织及骨髓,脑组织通常表现为胶质细胞的增生;而在骨髓组织中一般表现为脂肪化,但有时在伴有炎症反应时骨髓也可出现纤维化。纤维化不仅是一种辐射损伤的标志,它本身也是有害的。比如皮肤回缩,食管、胃肠道或尿路狭窄伴梗阻,弥漫性心肌纤维化伴左心衰,心包限制性疾病,以及间质性肺纤维化伴肺功能降低。
图2-2-2 肝细胞肝癌放疗后6个月肝脏改变
低倍镜(HE染色,×200)观察,周围肝组织呈现显著的放疗后间质纤维化,肝细胞板萎缩
纤维化是一种十分重要的晚期损伤,可能通过一种或多种机制引发。有学者提出成纤维细胞的功能障碍是导致纤维化的原因。也有研究者认为纤维化是由于该器官中血管缺乏进而导致局部缺血的结果。不管是哪种机制,增加的胶原蛋白很可能是由于纤维化细胞因子,如转化生长因子β(TGF-β)家族的释放所导致的。
有研究认为基质中的纤维蛋白渗出是延迟性辐射损伤的特点。纤维蛋白在胶原蛋白和成纤维细胞间表现为嗜酸性纤维的精细网络。它在整个纤维化的区域都没有看到,但在病灶中广泛分布。特殊染色剂如磷钨酸-苏木精或Fraser Lendrum技术有助于识别纤维蛋白。纤维蛋白渗出物可能会发生在大多数受照射的间充质组织中,但是只有在一些软组织中才能通过光学显微镜观测到它。这个发现在延迟性放射性纤维化的鉴别诊断中是十分重要的,但仅仅限于未经过治疗或有其他活动性炎症的部位。当然,纤维蛋白也可能是正常的炎性渗出。
纤维蛋白渗出是由多种损伤引起的,这些损伤改变了小血管及其内皮细胞的各种功能。一种是毛细血管和血窦的物理损伤,造成基底膜和内皮层的破坏。另一种是可溶性凝血系统的活化,导致促凝血状态,这种凝血状态导致纤维蛋白的形成,并在血管壁外的基质中沉积。第三种现象是纤溶酶原激活物(组织和尿激酶类型)的消耗。其结果是不能分解和吸收沉积的纤维蛋白。这些效果在体内和体外均被证实了。在辐射暴露后数月至数年内发现纤维蛋白渗出物,这表明血管损伤和纤维蛋白溶解的缺失持续存在。
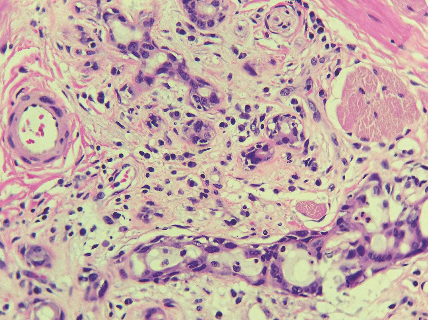
非典型成纤维细胞(atypical Fibroblasts,AF),也称放射性成纤维细胞(radiation fibroblasts),是晚期放射性损伤的特征性改变,通常细胞体积增大,形态奇异,胞质噬碱性浓染(图2-2-3)。这些细胞形态往往呈三角形改变,核染色深,但模糊不清,几乎看不到核分裂象。非典型成纤维细胞主要见于消化道、呼吸道及尿道黏膜下层,少见于皮肤和深部软组织,而在心脏、肝脏、肾脏以及肺脏中几乎看不到。
图2-2-3 直肠腺癌放疗后3年肠道改变
高倍镜观察(HE染色,×400)黏膜下层可见非典型成纤维细胞,细胞外形不规则,细胞核染色深
非典型成纤维细胞经常发生在含有细菌的器官的壁上,例如消化道,包括口腔和外生殖器。在未照射的,慢性炎症组织中偶尔会看到与AF相同的细胞,特别是在慢性压疮的区域(所谓的褥疮溃疡)。这些观察结果表明,非典型成纤维细胞可能不仅仅来源于辐射,也可能是白细胞或细菌的溶解产物。不论如何,非典型成纤维细胞是DNA合成异常,且不能分裂的细胞。
哺乳动物组织中晚期放射性损伤的一致特征是细胞炎症反应的缺乏。除了罕见的例外(如溃疡),前文描述的基质反应都缺乏粒细胞,只含有少量的淋巴细胞或巨噬细胞。这在深部组织较为多见,如心肌、心包和肾实质,但在某种程度上,只要没有溃疡或附加感染,这种缺失几乎在所有组织中都是很明显的。这种细胞炎症反应的缺乏有助于放射病理学的鉴别诊断,并支持辐射损伤并不是由免疫机制介导的这个理论。
放射性损伤,无论是早期损伤还是晚期损伤,在病变形成中血管的改变都发挥着重要作用。血管病变(vascular lesions)是放射治疗中正常组织最常见的病变,其中毛细血管及小动脉的改变则是最具有特征性的晚期损伤。其他辐射损伤,尤其是肾实质、消化道或心肌的萎缩和纤维化,可以由微血管损伤引起的缺血来解释。
毛细血管和血窦(blood capillaries and sinusoids)是脉管系统中最普遍的成分,也是放射性损伤最为敏感的部分,这是由于内皮细胞对放射性损伤的敏感性所决定的,而内皮细胞又是构成血管壁的重要组成成分。通过电子显微镜观察发现,在早期病变中就可以发现内皮细胞肿胀、细胞膜不规则以及伪足的出现,可能会造成血管腔的堵塞;内皮细胞脱落、基底膜曝露以及由纤维素样成分及血小板构成的血栓形成;内皮细胞破裂、毛细血管断裂、缺失等。
上述损伤的一些延迟的结果可以通过光学显微镜观察到,甚至可以直接观察到。这些包括毛细血管扩张,最常见于皮肤和黏膜,可能导致膀胱等器官的出血,毛细血管和血窦壁的不规则性和不对称性,内皮细胞核的增大和(或)过度染色,以及血栓形成。
许多器官可以观察到毛细血管显著减少,导致微血管网络的缺陷,随后发生缺血性改变。这种重要的、严重的和广泛的微血管损伤是由于内皮细胞(endothelial cells,EC)的放射敏感性很强。虽然有异质性,但EC似乎是间充质中放射反应最强的部分。因为毛细血管和血窦是由内皮细胞和一层薄薄的基膜构成的狭窄通道,根据定义,对前者的损害是对微血管完整性十分严重的,并且是无法弥补的损害。而在较大的血管中不是这样,由于平滑肌壁具有弹性,以及结缔组织的支撑和保护作用,血管不完全依赖于其内部的内皮细胞。
小动脉(small arteries)(测量外径达100μm)有薄的肌性血管壁,可以起到保护作用防止其破裂。在这些血管中,人们可以观察到内皮下或外膜纤维化,“玻璃样变”的中间层(致密而无细胞,嗜酸性,胶原材料),内膜中富含脂质的巨噬细胞的堆积。偶尔这些小动脉会发生延迟性坏死(所谓的纤维蛋白样坏死),即纤维蛋白在血管壁上广泛沉积。这在一些器官,如大脑比其他一般的器官常见。以上的任何一种改变可能都和血栓形成有关联。
病理学家最能识别的病变发生在中等大小的动脉(medium-sized arteries)(100~500μm)中,其特征在于含有胶原和成纤维细胞的内膜纤维化。同样的,含脂质的巨噬细胞可能在内膜中积聚,其中可能存在纤维蛋白。后者现象通常可以在自发性动脉粥样硬化观察到,但通常不会发生在很小的动脉中,它似乎是延迟辐射损伤的一个特征。
血管炎(vasculitis)是很少见的一种延迟性病变。一般细胞炎性渗出物在晚期放射病理学改变中是不存在的或极少出现的。已有研究发现晚期急性动脉炎的例子,其在小肠管壁、骨盆脂肪组织和乳房中均有体现。通常渗出是淋巴细胞的,可能会影响到管壁的所有层。
大动脉是管径大于500μm以上的动脉,一般受影响较小,可能与管壁较厚及管腔较大有关。这些动脉发生的放射性损伤与动脉粥样硬化很难鉴别,除非是年轻患者,而且患者缺乏动脉粥样硬化的危险因素,或者是病变仅局限于动脉的某一节段,肌内膜增生、血栓形成或动脉破裂。动脉破裂是很少见的严重病变,一般见于颈总动脉、主动脉及股动脉,它更可能与手术并发症有关,而不是与放射治疗有关,除非是非常高的局部剂量,例如来自近距离放射治疗。
因为缺乏在大动脉中的特定损伤,因此放射损伤的证明只能依靠统计学数据而不是形态学数据。比如在冠状动脉中,放射损伤与自发动脉粥样硬化引起的损伤是一样的。但是,至少有三个流行病学研究表明,接受过纵隔腔照射的霍奇金淋巴瘤患者具有更高的风险发生冠脉疾病及缺血事件,包括致命的心肌梗死。暴露后7~10年发生心肌梗死的相对危险度为2.6~3.2。相对危险度与患者发生照射时的年龄成反比,对于20岁之前受过照射的个体而言RR是相当高的(RR可能高达44)。风险与患者的观察时间直接成正比,观察时间越长,发生缺血事件的可能越高。
小静脉(包含有几层肌肉)的损伤,相对于其相应的动脉而言更难被检测到。然而在肠壁中,静脉的内膜纤维化或者甚至是血栓形成相对类似的动脉损伤一样常见或者更常见。在肝脏中,辐射更易造成静脉损伤。大静脉损伤(超过500μm)相比其他血管要少见。相反,静脉经常受到肿瘤侵犯,因此静脉壁中的节段纤维瘢痕可能表明肿瘤曾经存在并已被放射治疗根治。
(马沛卿 郭 旗 张 烨)