



手是人体中组织结构特点最为复杂的器官之一,错综复杂的致畸原因导致最终形成的手部畸形的多样性和复杂性,其形态学特点至今仍令人难以精确地了解和掌握,因此,对手部先天性畸形进行精确的形态学分类也就显得十分困难。 过去,曾有不同的手部先天性畸形分类方法,但各自存在不足,学者们对此看法也不尽一致。 美国手外科协会、国际手外科联合会、国际假肢和矫形器协会所采用的分类,是目前为止最为详尽和广为接受的先天性肢体畸形分类法,该分类在充分吸收和总结前人经验的基础上,依据肢体畸形的解剖和胚胎学特点制定。 Swanson(1983)对于这种分类有详细的论述。 即使如此,在我们的临床应用中,仍发现其存在一定的局限性,比如,仍然无法涵盖所有的手部畸形类型,尤其是对某些多发的或复杂的手部先天性畸形,仍无法归类到上述分类方法中。
肢体形成障碍属于肢体完全或部分形成障碍的先天性缺陷,这类缺陷分为两型:横向和纵向。
1.先天性缺肩。
2.先天性缺臂。
3.先天性缺肘。
4.先天性缺前臂。
5.先天性缺腕。
6.先天性缺腕骨。
7.先天性缺掌(图1-2-1)。
图1-2-1 先天性缺掌病例
A.右手掌以远缺如;B.X 线片显示腕关节以远骨关节结构未发育(也可能为腕缺如)
8.先天性缺指(图1-2-2)。
(1)桡骨发育不良(图1-2-3)。
(2)桡骨部分缺如(图1-2-4)。
(3)桡骨完全缺如(图1-2-5)。
(4)拇指发育不良(图1-2-6、图1-2-7)。
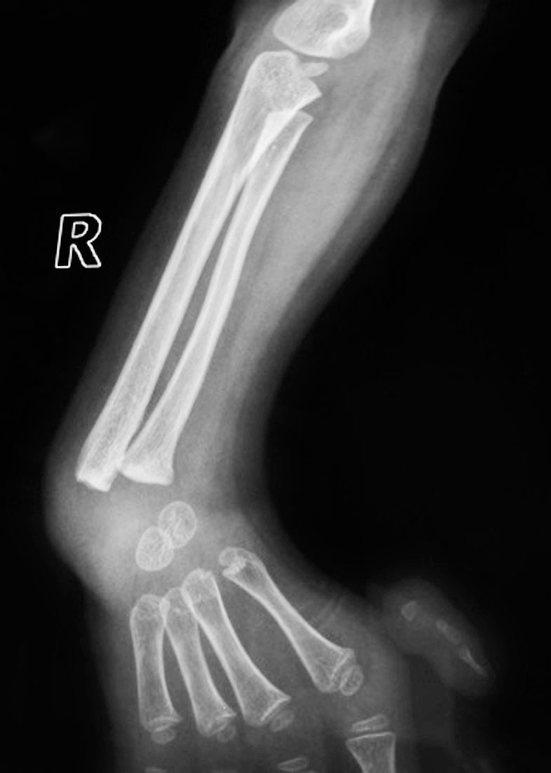
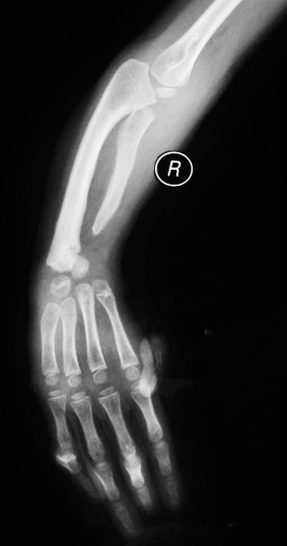
(1)尺骨部分缺如(图1-2-8)。
(2)尺骨全部缺如。
图1-2-2 先天性缺指病例
A.左侧先天性手示、中、环指掌指关节水平缺如,小指远侧指间关节桡侧“肉赘样”赘指;B.X 线片显示示、中、环指掌指关节以远骨关节结构未发育
图1-2-3 桡骨发育不良病例
X 线片显示先天性右前臂桡侧纵列发育不良,桡骨外形存在,但发育短小,合并漂浮拇
图1-2-4 桡骨部分缺如病例
X 线片显示右侧桡骨远端部分缺如,尺骨短粗,拇指漂浮拇
图1-2-5 桡骨完全缺如病例
A.右侧前臂桡侧纵列发育不良,拇指完全缺如;B.X 线片显示桡骨完全缺如,腕关节极度桡偏、脱位
图1-2-6 左侧拇指发育不良(漂浮拇)
图1-2-7 右侧拇指发育不良及大鱼际缺如
A.右侧拇指发育不良,大鱼际缺如(侧面观);B.掌面观显示大鱼际缺如,拇指内收、旋后
图1-2-8 尺骨部分缺如
A.左侧前臂尺侧纵列发育不良;B.X 线片显示尺骨远端缺如,桡骨继发性侧弯
(3)尺骨缺如或发育不良合并肱骨、桡骨骨性联合或桡尺骨联合(图1-2-9)。
图1-2-9 左侧前臂尺骨发育不良合并桡尺骨近端融合
(4)小鱼际发育不良。
见图1-2-10。
包括并指型和多指型(图1-2-11)。
是肢体中段在胚胎发育过程中空缺所致畸形。
上臂及前臂未发育,手直接附在肩上(图1-2-12)。
上臂没有发育,手附在前臂上,而前臂附着在躯干上。
前臂缺如,手直接附在上臂末端。
在分化障碍类中,上肢基本成分的形成主要在胚胎早期,从第3 周开始,至第7 周已基本形成。 肢体分化障碍的不同临床表现,被认为是产生胚胎侧壁外胚间质团的不同程度的破坏,影响正常肢芽分化成单独的骨骼、皮肤、筋膜或神经、血管组织成分。 任何因素、环境或其他原因,在此期间干扰这种分化都将产生相对应的肢体缺陷。
分为重度、中度和轻度(图1-2-13)。
(1)肩下降不全。
(2)胸肌缺如:分成胸大肌缺如及胸大肌和胸小肌均缺如(图1-2-14)。
(1)伸肌腱滑脱。
(2)屈肌腱滑脱。
(3)固有肌腱滑脱。
1)桡侧皮肤并指:
第一、二指间。
图1-2-10 典型中央纵裂缺如病例
A.双手分裂手,病人母亲(图左侧)右手分裂手畸形;B.X 线片显示病人双手中央列骨发育不良或缺如
图1-2-11 非典型中央纵裂缺如病例
A.左手分裂手合并并指畸形;B.X 线片显示中央列骨发育不良或缺如,拇指、小指骨关节发育不良
图1-2-12 完全性“海豹手”畸形
图1-2-13 先天性多发关节挛缩症病例
A.先天性多发关节挛缩症,累及双手关节;B.同时合并有肩关节、肘关节挛缩;C.该病例还合并有膝、踝关节挛缩
图1-2-14 胸肌缺如
右侧先天性胸大、小肌缺如,患肢短小,手短小并指(该例为Poland 综合征)
2)中央皮肤并指:
第二、三指及第三、四指间(图1-2-15)。
图1-2-15 中央皮肤并指病例
A.左手中、环指并指;B.右手环指多指并指畸形
3)尺侧皮肤并指:
第四、五指间。
4)混合型(图1-2-16)。
图1-2-16 混合型皮肤并指病例
A.右手拇指至小指并指,全手短小;B.掌面观
1)第一指蹼挛缩(图1-2-17)。
图1-2-17 第一指蹼挛缩
右手拇指蹼挛缩,合并掌指关节屈曲畸形(扣拇畸形)
2)关节屈曲畸形(图1-2-18)。
3)手指屈曲畸形(图1-2-19)。
4)扳机指:先天性狭窄性腱鞘炎。
图1-2-18 关节屈曲畸形病例
A.先天性吹风手畸形(双侧)掌指关节屈曲挛缩、尺偏;B.X 线片显示掌指关节屈曲、尺偏明显
图1-2-19 手指屈曲畸形
左手中、环、小指指间关节屈曲挛缩
1.先天性肱骨内翻。
2.肘关节骨性融合
(1)肱骨桡骨骨性融合(图1-2-20)。
(2)肱骨尺骨骨性融合。
图1-2-20 肱骨桡骨骨性融合病例
X 线正位片(A)和侧位片(B)显示右侧前臂肱桡骨骨性融合,合并尺骨发育不良
(3)全肘关节骨性融合(图1-2-21)。
3.前臂
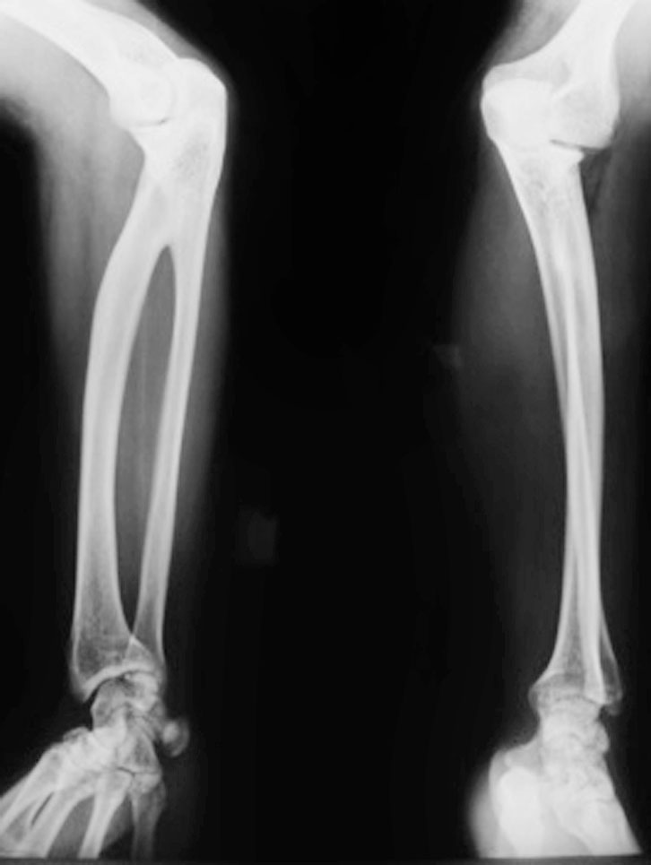
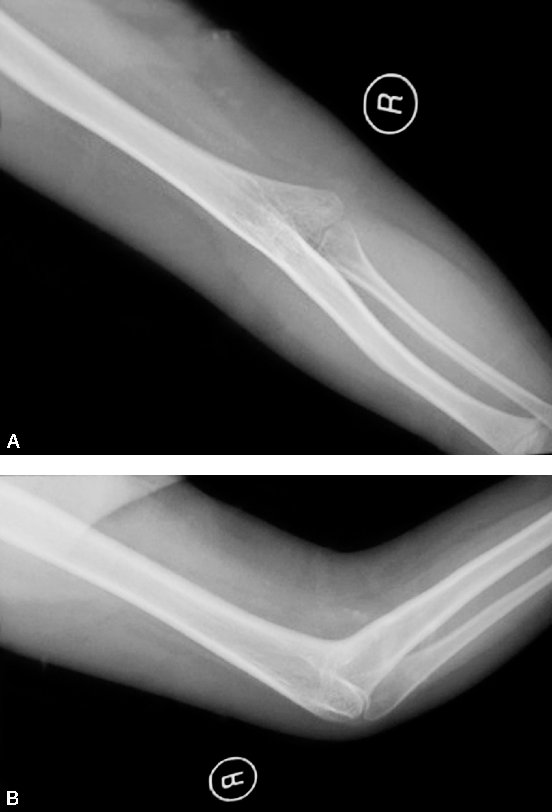
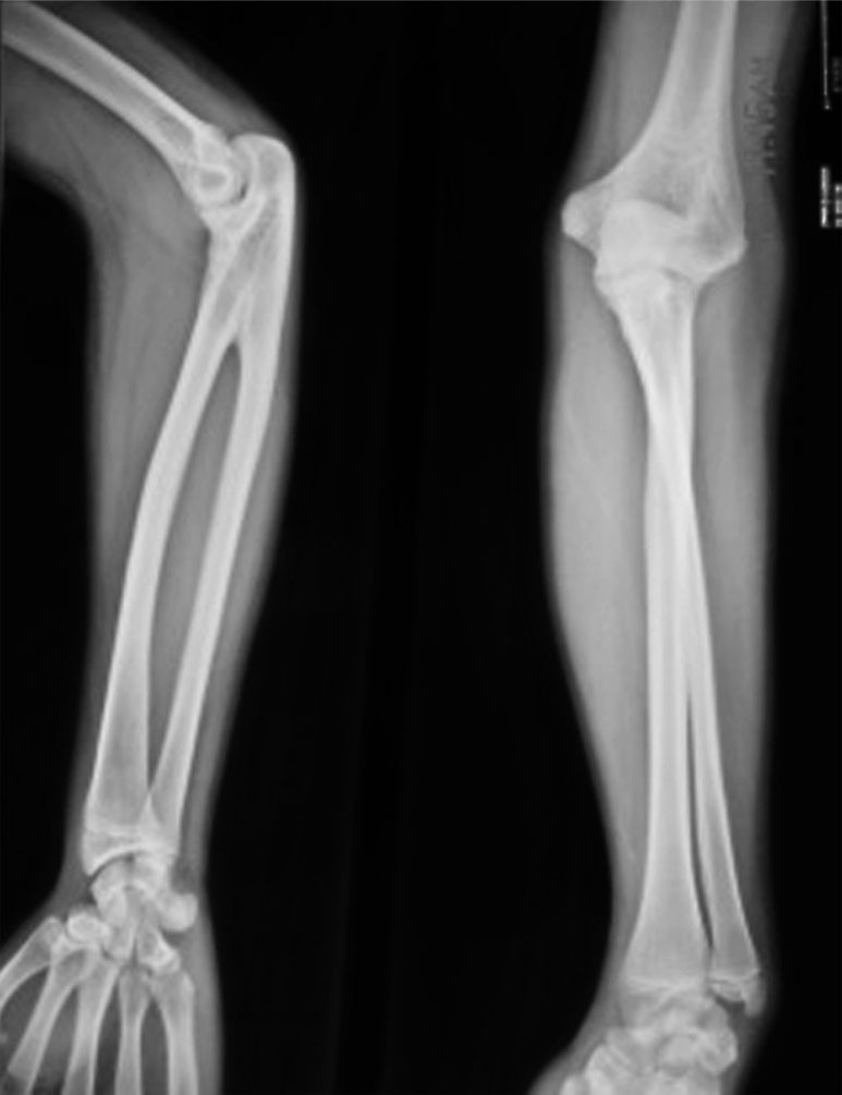
(1)近端桡、尺骨骨性融合(图1-2-22)。
(2)远端桡、尺骨骨性融合
(3)桡、尺骨全长融合(图1-2-23)。
4.腕和手
(1)骨性并指:
1)桡侧:第一、二指间。
2)中央:第二、三及三、四指间(图1-2-24)。
3)尺侧:第四、五指间(图1-2-25)。
4)拳击手:包括Apert 综合征(图1-2-26)。
(2)腕骨间骨性融合:
1)月骨、三角骨骨性融合(图1-2-27)。
2)头状骨、钩骨骨性融合。
3)舟骨、月骨骨性融合。
(3)掌骨间骨性融合(图1-2-28)。
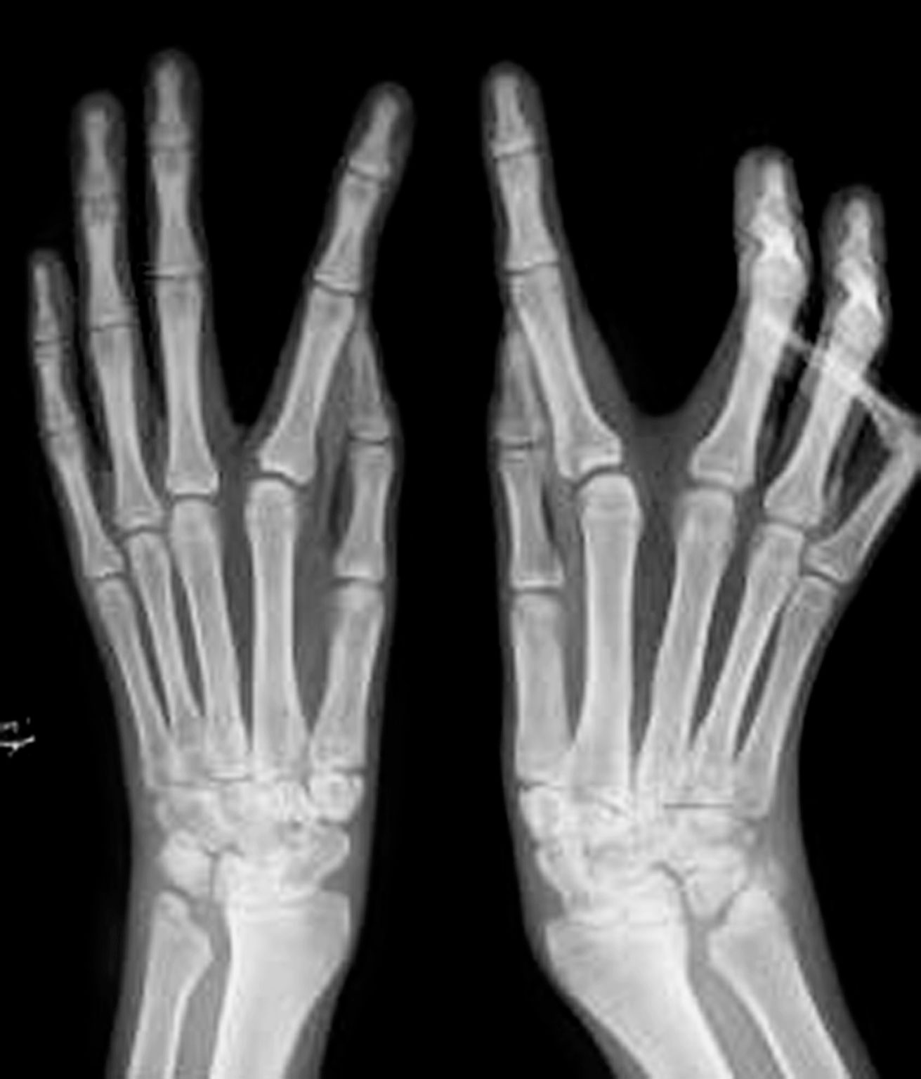
(4)指间关节融合(图1-2-29、图1-2-30)。
1)近节指间关节。
2)远节指间关节。
图1-2-21 全肘关节骨性融合病例
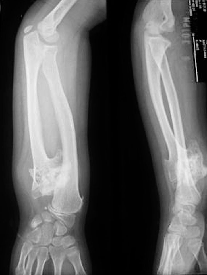
A.左侧前臂尺侧纵列发育不良;B.X 线片显示左侧肱骨桡尺骨融合(全肘关节融合),合并尺骨发育不良(尺骨远端部分缺如),桡骨继发性侧弯,第Ⅰ、Ⅱ及第Ⅳ、Ⅴ掌骨融合
图1-2-22 先天性前臂桡、尺骨近端骨性融合
图1-2-23 右前臂桡、尺骨全长融合
图1-2-24 右手中、环指远节指骨融合并指
图1-2-25 左手环、小指远节指骨融合
图1-2-26 Apert 综合征指骨末端骨性融合
图1-2-27 先天性双腕关节月骨、三角骨融合
图1-2-28 右手第Ⅲ、Ⅳ掌骨骨性融合
图1-2-29 指间关节融合
图1-2-30 指间关节融合X 线片
先天性双手指间、掌指关节纤维性(或软骨融合)融合
1.血管瘤性肿物
(1)毛细血管瘤。
图1-2-31 海绵状血管瘤病例
A.手体位像显示右手拇指蹼内有界限不清的肿物;B.X线片显示右手拇指蹼内海绵状血管瘤、散在的静脉石
图1-2-32 海绵状血管瘤血管造影
血管造影显示拇指蹼内血管瘤
(2)海绵状血管瘤(图1-2-31、图1-2-32)。
(3)动静脉瘘(图1-2-33)。
图1-2-33 动静脉瘘病例
A.先天性左前臂远端动静脉瘘(血管造影);B.手部体位像
2.淋巴管瘤、淋巴性肿物。
3.神经源性肿物
(1)成神经细胞瘤。
(2)多发性神经纤维瘤(图1-2-34)。
图1-2-34 多发性神经纤维瘤病例
左上肢神经纤维瘤病,前胸及后背多发牛奶咖啡斑,患肢广泛皮肤色素沉着、患肢明显增粗
4.骨性肿物
(1)骨软骨瘤病(图1-2-35)。
图1-2-35 右侧桡、尺骨骨软骨瘤病
(2)内生软骨瘤病(图1-2-36)。
肢体重复的发生,可能是由于肢芽和外胚层冠在形成的早期受到某种损害,使原始胚胎部分发生分裂。 有多指、孪生尺骨及镜影手等畸形。 学者根据重复的组织结构来分类,其中多指畸形最常见。多指畸形分为桡侧(拇指部分或完全重复)、中央(中间3 个手指)或尺侧(小指部分或完全重复),以拇指重复畸形较为常见。
图1-2-36 右手内生软骨瘤病
1.桡侧多指(图1-2-37)。
图1-2-37 桡侧多指病例
A.右拇指多指畸形(三拇指多指);B.X 线片显示多拇指的骨关节发育不良
2.中央多指(图1-2-38)。
3.尺侧多指(图1-2-39)。
孪生手畸形也称镜影手(图1-2-40)。
图1-2-38 中央多指病例
A.右手中指近节指骨水平多指合并并指畸形;B.X 线片显示多指骨关节发育不良
图1-2-39 尺侧多指病例
A.双手小指多指,其中左侧小指多指仅为“肉赘”,同时拇指发育不良;B.右侧小指多指结构及外形相对完整,多指发生在掌指关节
图1-2-40 孪生手畸形病例
A.右手镜影手(患手共7 个手指);B.X 线片显示双尺骨畸形
镜影手患儿多同时表现为双尺骨畸形(图1-2-40)。
可能是整个肢体或单一部分生长过度,某些是骨骼生长过度而软组织正常。 其他的表现有过多的脂肪、淋巴和纤维组织。 神经纤维瘤或血管瘤可在这类病例中出现。 这类中最常见的畸形为巨指(肢)症。
1.全部肢体生长过度(图1-2-41)。
2.部分肢体生长过度。
3.巨指(图1-2-42、图1-2-43)。
生长不足也可称生长低下,表示肢体形成不完全,可以出现在整个肢体或其末梢。 生长不足可累及皮肤、指甲、肌腱、骨、血管、神经或肢体(上臂、前臂、手)等组织结构。 常见的为短指畸形(掌骨或指骨异常短小,但形态完整),以及拇指发育不全等。
如Poland 综合征。
图1-2-41 全部肢体生长过度病例
A.右上肢巨肢症,病变波及腋窝及胸壁;B.X 线片显示右上肢广泛软组织阴影
图1-2-42 原发性巨指症病例
A.左拇指原发性巨指症;B.X 线片显示拇指骨关节肥大,软组织阴影广泛
图1-2-43 继发性巨指症病例
A.左中、环、小指继发性巨指症(骨软骨瘤病),波及手掌;B.X 线片显示右手多发骨软骨瘤
图1-2-44 手全部生长不足
A.左手全手短小畸形;B.X 线片显示腕以远骨关节结构全部缺如
图1-2-45 掌骨生长不足病例
A.双手手指短小(右侧中、小指,左侧示、小指);B.X 线片显示右侧第Ⅲ、Ⅴ掌骨短小,左侧第Ⅴ掌骨短小,左示指中节指骨、双小指中节指骨短小;C.患手握拳时可见掌骨短小的手指掌指关节塌陷,关节屈曲受限
1.短指并指畸形(图1-2-46)。
图1-2-46 左手短指并指畸形
2.短指畸形 包括近节、中节、远节指骨(图1-2-47)。
图1-2-47 短指畸形病例
A.双手小指短指畸形;B.X 线片显示双侧小指中节指骨短小
在肢体上有索条状横行凹陷,有周全性的,也有部分性的,犹如扎带的压痕,其深浅程度不一,有时可深达筋膜和骨膜。压迹过深者甚至可引起先天性截肢(指)。此类畸形至今不能肯定是否继发于羊膜索发育缺陷或器质性挛缩,也有人认为与胎儿宫内损伤有关。
1.不合并淋巴水肿。
2.合并淋巴水肿(图1-2-48)。
包括束带、肢端并指畸形和宫内横断等同时发生(图1-2-51)。
图1-2-48 合并淋巴水肿病例
右中、环指近节束带畸形,环、小指淋巴水肿,合并皮肤桥并指及小指宫内截指
图1-2-49 指端并指畸形
左手束带综合征,指端并指畸形
图1-2-50 宫内横断病例
右手束带综合征,中、环指远节,及小指近节以远宫内截肢
图1-2-51 右手先天性束带综合征,合并多种畸形
包括许多遗传性发育异常。
如骨软骨的发育异常、发育障碍、特发性骨溶化和原发性生长紊乱。
如染色体异常、原发性代谢异常、黏多糖和其他代谢性骨外紊乱。
即使上述分类已经十分详尽,临床工作中仍有相当多的手部先天畸形无法归类到某一类别中,经常遇到的情况是同一病人手部畸形可能合并上述分类中一种以上的类别,如何归类? 目前尚无答案。 某些病人除手部畸形外,还合并其他器官或脏器畸形,这种状况可能是属于某一种畸形综合征,手的畸形只是整个综合征的表现之一,往往与家族遗传或基因突变有关。 对于临床医生来说,常常对畸形综合征的认识较少,需要查阅相关教科书,或需要与相关的遗传学家合作来明确其诊断(图1-2-52、图1-2-53)。
图1-2-52 巨肢症合并并指畸形
A.左上肢巨肢症,合并并指畸形;B.X 线片显示左手骨关节结构肥大
图1-2-53 Poland 综合征合并束带
A.右侧Poland 综合征;B.拇指可见“束带”畸形;C.X 线片显示患手骨关节发育不良