购买
下载掌阅APP,畅读海量书库
立即打开
畅读海量书库
扫码下载掌阅APP

第四节

颅脑损伤

颅脑外伤时由于外伤作用于头部所致,其症状可因外伤程度不同而表现各异,其中以昏迷的程度和持续时间作为判断病情的主要指标。影像学检查对颅脑外伤(brain traumia)的诊断和预后判断具有很高价值。按血肿的来源和部位可分为硬膜外血肿、硬膜下血肿、脑内和脑室血肿。在影像学检查中患者因意识障碍和合并其他部位外伤,所以应选择成像时间短、简单易行的检查方法。

一、颅内血肿

(一)硬膜外血肿
【概述】

硬膜外血肿(epidural hematoma)是指位于颅骨内板之下和硬脑膜之间的血肿,出血来源主要是脑膜中动脉、静脉,硬膜外血肿绝大多数合并颅骨骨折,少数是因为颅骨变形导致硬脑膜分离而引起的出血,同时也可合并各种类型的脑损伤,通常属于急性血肿。

【局部解剖】

局部解剖同图2-2-1。

【临床表现与病理基础】

血肿出现的部位不同而表现各异,其主要表现为急性脑受压症状,位于颞部者早期可出现小脑幕切迹疝,位于颅后窝者早期可出现枕骨大孔疝。可出现意识障碍,头痛、恶心呕吐和视神经盘水肿等颅内高压的症状,偏瘫等局部脑损伤症状和生命体征的改变。

硬脑膜分为两层,外层与颅骨紧密连接,在颅缝处更紧密,内层除静脉窦处与外层连接也很紧密,因此血肿多呈双凸透镜状或梭形,血肿一般也不超过颅缝。硬膜外血肿多为骨折导致脑膜中动脉或静脉窦的撕裂。动脉性出血血肿起病急,可进一步扩大,静脉性出血血肿一般不会进一步扩大。

急性硬膜下血肿是硬膜下血肿最多见的一型,其特点是病情进行性恶化,很快出现脑部受压症状,常合并脑挫裂伤而缺乏局部定位症状,有严重的意识障碍,出现中间清醒期或意识好转期者较少。亚急性硬膜下血肿与急性主要区别在于前者血管损伤稍轻或者出血较慢,临床表现较急性硬膜下血肿轻,常出现中间清醒期。慢性硬膜下血肿的特征性表现是无脑膜刺激症状,仅有钝性头痛及轻度眩晕。起病隐匿,容易误诊。

在外力作用下,横跨硬脑膜的桥静脉撕裂或者皮质血管破裂,血液在硬膜下积聚形成血肿,血肿可以跨越颅缝,但不跨越硬脑膜附着点,95%的血肿位于幕上,额顶部和颅中窝是最常见的位置。

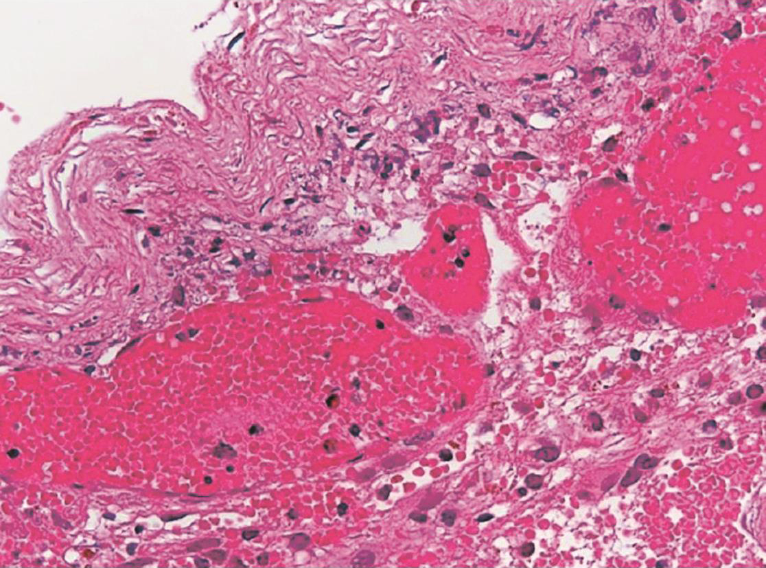
脑内血肿颅内高压:明显的头痛、恶心、呕吐及生命体征变化等。局灶性症状:额叶底部和颞叶前部脑内血肿,常伴有严重的脑挫裂伤和脑干损伤,多呈持续昏迷状态。若血肿破入脑室,患者意识障碍更加明显;位于运动区附近的血肿,可出现偏瘫、失语和局灶性癫痫。顶叶血肿可出现偏侧感觉障碍。脑疝的症状:瞳孔散大、反应消失,意识障碍和生命体征改变。脑内血肿与损伤时的着力点有关,头侧方着力发生脑内血肿较枕部、前额着力多见,在侧方着力中以着力同侧的脑内血肿较对侧部位为多见,据统计脑内血肿以颞叶最多,额叶次之,顶叶少见,枕叶和小脑更少见(图2-4-1)。

图2-4-1 颅内血肿-硬膜外血肿病理表现

【影像学表现】

CT表现:急性硬膜下血肿表现为颅板下方新月形或带状高密度影,少数为等密度或低密度;亚急性和慢性硬膜下血肿可表现为高、等、低或混杂密度。血肿的形态可由新月形逐步发展为双凸状,与血肿内高渗状态有关。硬膜下血肿范围广泛,不受颅缝限制,可跨颅缝。慢性硬膜下血肿还可形成“盔甲脑”,即大脑由广泛的钙化壳包绕,此征象少见。CT增强扫描表现为远离颅骨内板的皮层和静脉强化,还可见连续或断续的线状强化的由纤维组织和毛细血管构成的血肿包块。增强扫描仅用于亚急性或慢性硬膜下血肿,尤其对诊断等密度硬膜下血肿有帮助。以下征象可提示诊断:双侧侧脑室对称性变小,体部呈长条状;双侧侧脑室前角内聚,夹角变小,呈兔耳征;脑白质变窄塌陷,皮髓质界面内移;皮层邻近脑沟消失(图2-4-2)。

图2-4-2 颅内血肿-硬膜外血肿CT影像表现

MR表现:急性硬膜下血肿T2WI呈低信号,T1WI呈等信号。亚急性T1WI及T2WI均可呈高信号。随着时间的推移,正铁血红蛋白变成血黄素,T1WI图像信号低于亚急性者,但仍高于脑脊液,T2WI仍为高信号。

【首选检查】

急性期首选CT,检查方法及检查前准备:同“脑梗死”。

【检查方法分析比较】

CT检查:平扫血肿表现为颅骨内板下双凸形高密度区,边界锐利,血肿范围一般不超过颅缝,如骨折超越骨缝,血肿亦可超过骨缝。血肿密度多均匀。不均匀的血肿,早期可能与血清溢出、脑脊液或气体进入有关,后期与血块溶解有关。

MR检查:随着出血的时间不同,MR信号也会出现较为明显变化,因此,MR信号的改变,可以大致判断血肿形成的时间。MR信号的演变规律与脑出血一样,在超急性期(24h内)为等T1WI,短T2WI低信号,急性期为等T1WI,等或稍长T2WI高信号,亚急性期出现短T1WI高信号。有时,在同一个患者可同时出现等T1WI和短T1WI低信号,表明仍有新鲜出血。MR检查可以看到硬膜为一薄的线样低信号位于血肿与脑实质之间。

急性期首选CT,但对慢性和亚急性期血肿的显示,MRI优于CT。

(二)硬膜下血肿
【概述】

硬膜下血肿(subdural hematoma)是指出血聚集在硬脑膜和蛛网膜之间的硬脑膜下间隙之内的一种颅内血肿。血肿范围广,多呈新月形。是脑外伤致死的主要原因。根据其血肿形成时间,可分为急性硬膜下血肿、亚急性硬膜下血肿和慢性硬膜下血肿。

【局部解剖】

局部解剖同图2-2-1。

【临床表现与病理基础】

急性硬膜下血肿是硬膜下血肿最多见的一型,其特点是病情进行性恶化,很快出现脑部受压症状。常合并脑挫裂伤而缺乏局部定位症状,有严重的意识障碍,出现中间清醒期或意识好转期者较少。亚急性硬膜下血肿与急性主要区别在于前者血管损伤稍轻或者出血较慢,临床表现较急性硬膜下血肿轻,常出现中间清醒期。慢性硬膜下血肿的特征性表现是无脑膜刺激症状,仅有钝性头痛及轻度眩晕,起病隐匿,容易误诊。在外力作用下,横跨硬脑膜的桥静脉撕裂或者皮质血管破裂,血液在硬膜下积聚形成血肿,血肿可以跨越颅缝,但不跨越硬脑膜附着点,95%的血肿位于幕上,额顶部和颅中窝是最常见的位置。

【影像学表现】

CT表现:局限性斑片状低密度影;散在点片状高密度影,位于低密度影内;占位效应;蛛网膜下腔出血;晚期出现脑萎缩。

MR表现:病灶信号强度随脑水肿、出血和脑挫裂伤的程度一致。脑水肿的T1WI和T2WI弛豫时间长,T1WI为低信号,T2WI为高信号。点片状出血与脑出血信号变化一致。晚期脑挫裂伤可以不留痕迹,也可形成软化灶,T1WI和T2WI弛豫时间延长伴有相邻部位脑萎缩。

【首选检查】

急性期首选CT,但对慢性和亚急性期血肿的显示,MRI优于CT。检查方法及检查前准备:同“脑梗死”。

【检查方法分析比较】

同硬膜外血肿。

(三)脑内血肿
【概述】

脑内血肿是指头部外伤后在脑实质内出血形成的血肿,出血多来自脑挫裂伤灶,故常合并脑挫裂伤及硬膜下血肿,常伴随意识模糊障碍。

【局部解剖】

局部解剖同图2-2-1。

【临床表现与病理基础】

脑内血肿颅内高压:明显的头痛、恶心、呕吐及生命体征变化等。局灶性症状:额叶底部和颞叶前部脑内血肿,常伴有严重的脑挫裂伤和脑干损伤,多呈持续昏迷状态。若血肿破入脑室,患者意识障碍更加明显;位于运动区附近的血肿,可出现偏瘫、失语和局灶性癫痫。顶叶血肿可出现偏侧感觉障碍。脑疝的症状:瞳孔散大、反应消失,意识障碍和生命体征改变。脑内血肿与损伤时的着力点有关,头侧方着力发生脑内血肿较枕部、前额着力多见,在侧方着力中以着力同侧的脑内血肿较对侧部位为多见,据统计脑内血肿以颞叶最多,额叶次之,顶叶少见,枕叶和小脑更少见(图2-4-3)。

【影像学表现】

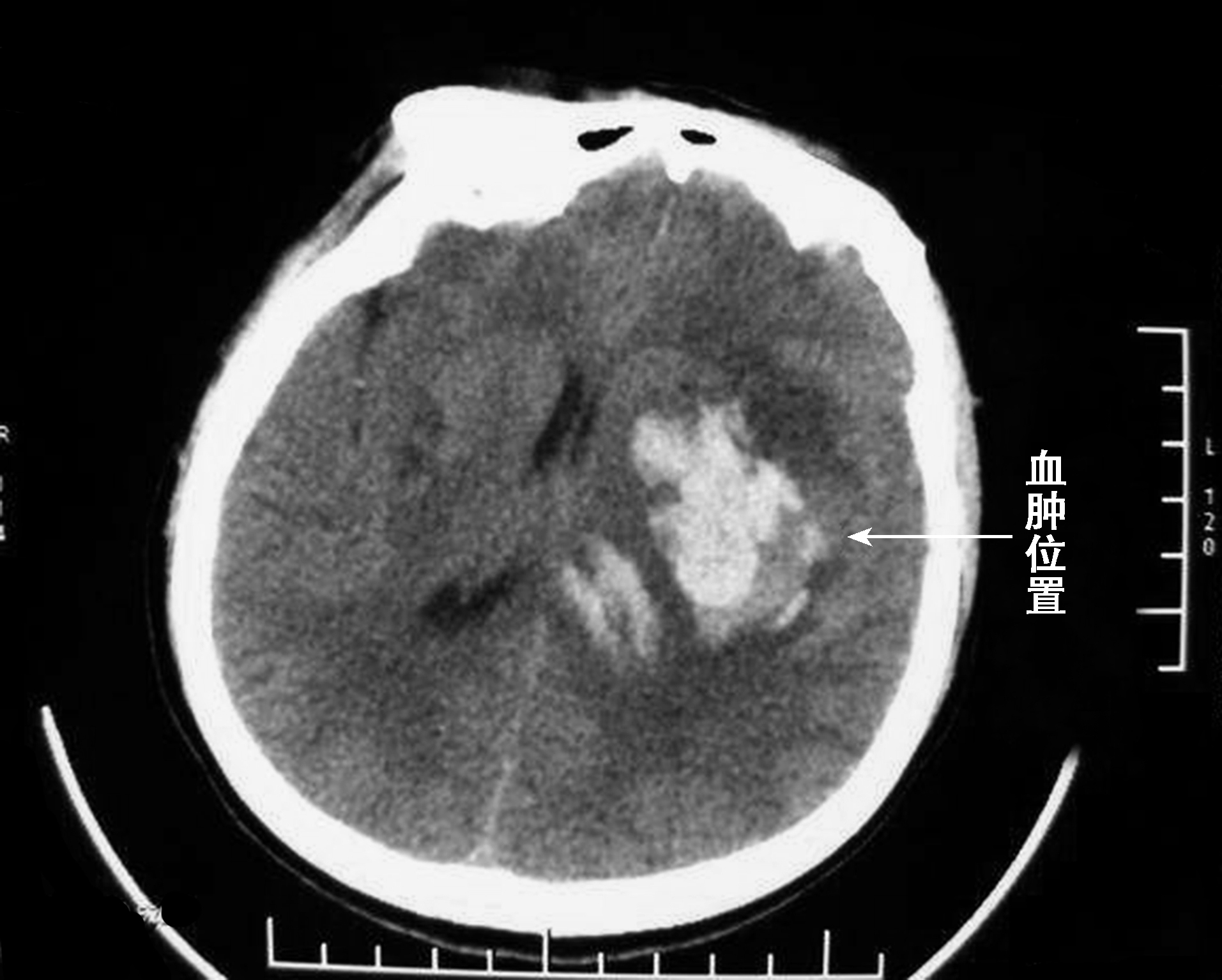
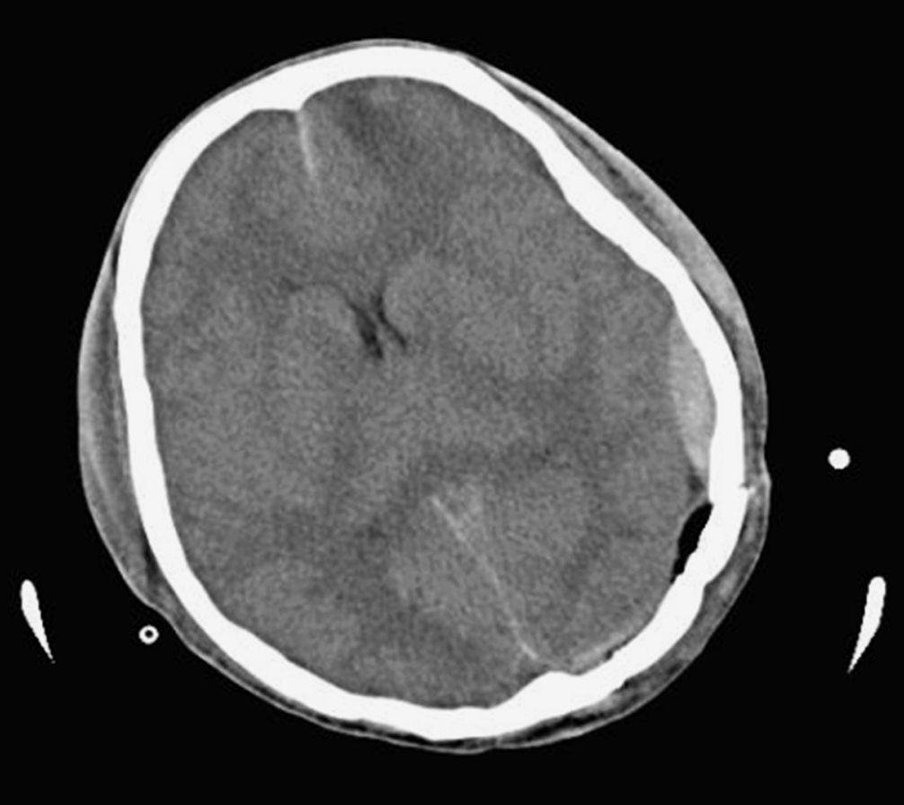
CT检查:脑挫裂伤表现为边界不清的低密度区,血肿为形态不规则的高密度区,血肿较大时,血肿中央部分的密度低于外周的密度,有时还可见中央部分的分层现象,血肿周围有水肿及占位效应。急性期不做增强扫描,慢性期增强扫描周围可见环形强化(图2-4-4)。

【首选检查】

急性期首选CT,但对慢性和亚急性期血肿的显示,MRI优于CT。检查方法及检查前准备:同“脑梗死”。

图2-4-3 颅内血肿-脑内血肿病理表现

图2-4-4 颅内血肿-脑内血肿CT影像表现

【检查方法分析比较】

同硬膜外血肿。

二、脑挫裂伤

【概述】

脑挫裂伤(laceration and contusion of brain)是脑组织挫伤和裂伤的统称,脑挫伤是单纯脑实质损伤而不存在脑软膜破坏,而脑裂伤脑实质损伤同时伴随软脑膜撕裂,因临床上多同时存在,故称脑挫裂伤,其多发生于着力点及其附近,也可发生于对冲部位,同时多伴发脑出血或蛛网膜下腔出血。

【局部解剖】

局部解剖同图2-2-1。

【临床表现与病理基础】

病情的轻重与脑挫裂伤的部位、范围和程度直接相关。其常见的临床表现如下:意识障碍,常伴有原发性昏迷,持续时间多在半小时以上;局部神经系统症状根据损伤的部位和程度而有不同表现;脑膜刺激征由蛛网膜下腔出血而引起。

典型的脑挫裂伤表现为局部脑水肿、坏死、液化和多发散在小出血等,可分为以下几个阶段:伤后早期数日内脑组织以出血、水肿、坏死为主要变化,镜下显示神经细胞变性消失,髓鞘解脱失,星细胞变性等;伤后数天至数周逐渐出现修复性病理变化,坏死区组织液化,逐渐由瘢痕组织修复,蛛网膜因出血机化增厚并与脑粘连,镜下显示小的病灶由胶质细胞增生修复,大的病灶由肉芽组织修复;经历数月至数年后小病灶由瘢痕修复,大病灶偶尔可形成囊腔,相邻脑组织萎缩,脑膜增厚与脑粘连。

【影像学表现】

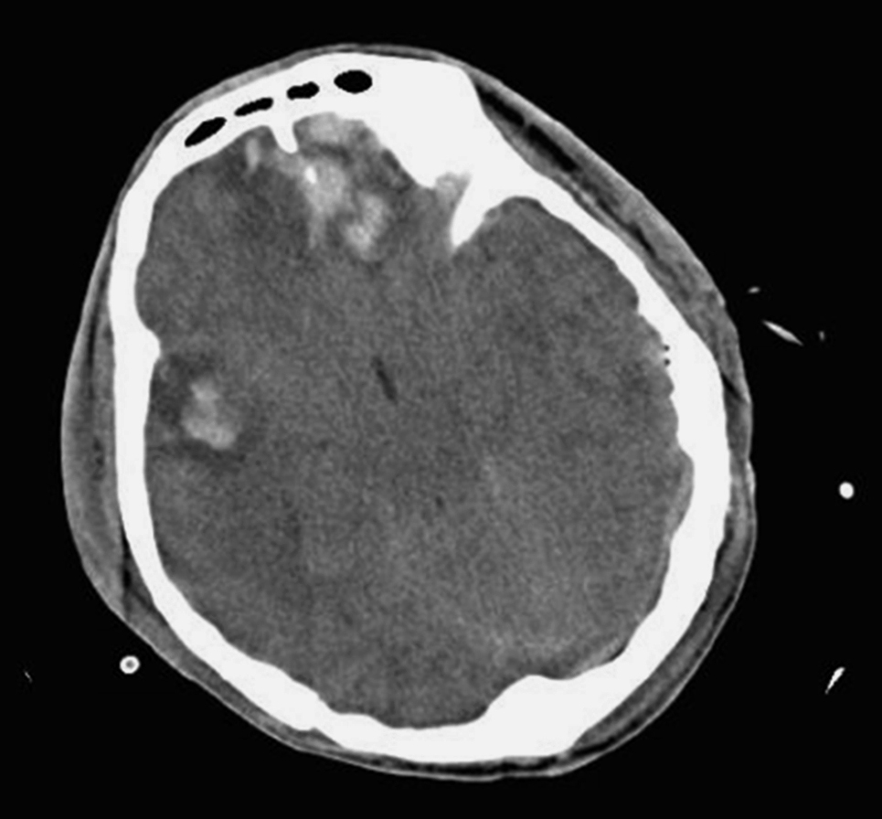
CT表现:损伤区局部呈低密度改变,其大小可从几厘米至全脑,形态不一,边缘模糊,白质区明显,约有1/3为多发病灶。低密度区数天至数周后,有些可以恢复至正常脑组织密度,有些进一步发展为更低密度区,提示脑组织软化(图2-4-5)。

图2-4-5 脑挫裂伤CT影像表现

MR表现:随脑水肿、出血和脑挫裂伤的程度而异。脑水肿的T1WI和T2WI弛豫时间延长,T1WI为低信号,T2WI为高信号。点片状出血与脑出血信号变化一致。脑挫裂伤可以不留痕迹,也可以形成软化灶,T1WI和T2WI弛豫时间延长伴有相邻部位脑萎缩。

【首选检查】

CT和MRI都能比较敏感地显示脑挫裂伤,对于急性脑外伤的出血CT优于MRI,对亚急性和慢性脑挫裂伤的显示则MRI优于CT。检查方法及检查前准备:同“脑梗死”。

【检查方法分析比较】

CT和MR检查:均在损伤2h后可见点状或斑片状高密度出血灶,挫裂伤范围越大,占位效应和脑水肿越明显,表现为同侧脑室受压,中线结构移位,重者出现脑疝征象。水肿高峰期过后,占位征象逐渐减轻,后期出现脑萎缩征象。低密度区数天至数周后,有些可以恢复至正常脑组织密度,有些进一步发展为更低密度区,提示脑组织软化。挫裂伤重而且范围大,后期可出现脑内囊性病灶。

三、弥漫性轴索损伤

【概述】

弥漫性轴索损伤(diffuse axonal injury,DAI)又称为剪切伤,是头部突然加速或减速或旋转力的作用,而引起脑相对运动,进一步导致脑白质、灰白质交界区、胼胝体、脑干及小脑等处受到剪切力,引起弥漫性轴索断裂的一种脑组织损伤。

【局部解剖】

局部解剖同图2-2-1。

【临床表现与病理基础】

患者伤后即出现原发性昏迷,昏迷时间可长可短,同时可有颅内压增高和蛛网膜下腔出血表现。

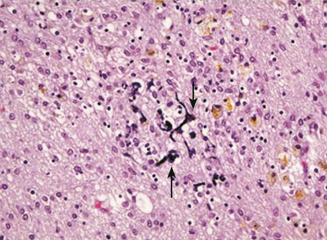
头部在受到急速作用力时,而引起脑相对运动,剪应力损伤可局限也可弥漫,表现为弥散轴索断裂、点片状出血和水肿(图2-4-6)。

图2-4-6 弥漫性轴索损伤病理表现

损伤位置病理变化如黑色箭头所示

【影像学表现】

CT表现:双侧幕上半球多脑叶弥漫性脑水肿和脑肿胀,灰白质界限不清,表现为广泛低密度区,半卵圆中心、内囊、穹窿柱、前后联合结构不清,严重者脑干、胼胝体亦受累;脑室、脑池普遍受压而变小,脑池和脑沟界限模糊;大脑半球灰白质交界处、基底节区、胼胝体、脑干以及小脑可见单发或多发点状至15mm以下的小出血灶;少有中线移位或仅有轻度移位。

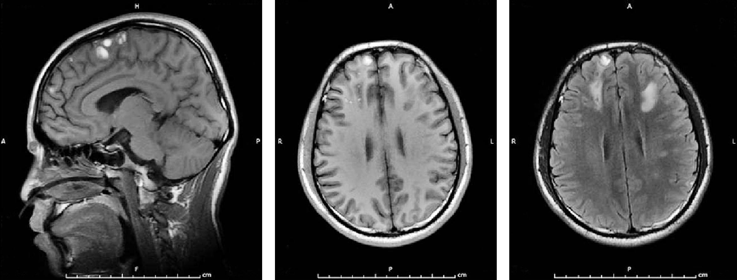
MR表现:若病变无出血,T2WI表现为脑白质、灰白质交界处和胼胝体、脑干及小脑散在、分布不对称的点片状异常高信号,T1WI呈等或低信号。若有出血灶,急性期病灶呈T2WI低信号,T1WI等或高信号,周围可见水肿信号;亚急性和慢性期出血的信号强度随时间而异。DWI对诊断超急性期及急性期脑弥漫性轴索损伤具有很高的敏感性,显示出血为低信号而水肿为高信号;SWI则对微小出血有更高的检出能力(图2-4-7)。

【首选检查】

MR平扫、增强、DWI和DTI的联合检查是目前诊断弥漫性轴索损伤的首选检查方法。检查方法及检查前准备:同“脑静脉窦血栓形成”。

【检查方法分析比较】

图2-4-7 弥漫性轴索损伤MR影像表现

单发或是多发的长T1WI,长T2WI信号

CT检查:主要可见双侧幕上半球弥漫性脑水肿及脑肿胀,灰白质分界模糊,脑室、脑池、脑裂和蛛网膜下腔变窄或消失,胼胝体、第三脑室旁、中央白质、脑干及小脑可有点、片状出血,无中线结构移位,部分病例可见蛛网膜下腔出血、脑室内血或薄层硬膜下出血。

MR检查:比CT检查更为敏感。弥漫性轴索损伤如为非出血性,典型表现为T2WI可见脑白质、脑灰白质交界处和胼胝体、脑干及小脑散在、分布不对称的点片状异常高信号,T1WI上述病灶呈低或等信号。急性期出血病灶在T2WI呈低信号,T1WI呈等信号,周围可见高信号水肿。亚急性期和慢性期出血表现为高信号。损伤后期由于脑白质损伤、轴突变性、萎缩,可使相应部位的脑室扩大。

对弥漫性轴索损伤的诊断价值而言,MRI比CT检查具有更高的敏感性,且T2WI优于T1WI。

四、外伤性脑梗死

【概述】

外伤性脑梗死(traumatic cerebral infarction)是颅脑外伤后的并发症之一,多表现为外伤后的脑缺血或脑梗死现象。随着CT和MRI问世,以前被误诊为颅内血肿、脑挫裂伤的外伤性脑梗死得以确诊。

【局部解剖】

局部解剖同图2-2-1。

【临床表现与病理基础】

除颅脑外伤的症状外,脑梗死的临床表现取决于梗死的部位、大小,梗死的类型;典型的表现为无意识障碍和头痛呕吐等颅内高压症状并出现相应动脉支配区的神经功能障碍,如失语、偏瘫、偏盲、偏身感觉障碍等。外伤性脑梗死是脑损伤一周后最常见的并发症,多为脑疝压迫血管而引起,以及脑内外血肿压迫脑血管实质所致。

【影像学表现】

平片和血管造影:平片多无阳性发现,血管造影可显示相应部位的血管充盈缺失。

CT表现:因CT对小病灶显示能力较差,患者外伤后早期行CT检查常未发现病灶。

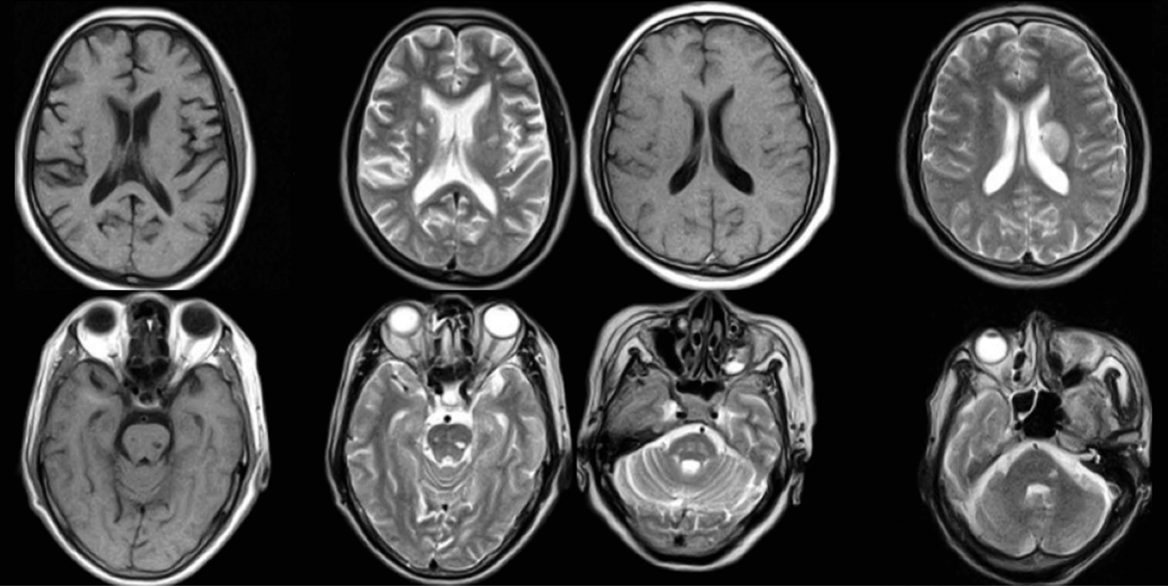
MR表现:呈卵圆形异常信号影,T1WI呈中等稍低信号,T2WI呈高信号,边缘模糊。可发现微小病灶,优于CT,是脑梗死的首选检查(图2-4-8)。

【首选检查】

MR平扫+DWI是目前诊断外伤性脑梗死的首选检查方法。检查方法及检查前准备:同“脑静脉窦血栓形成”。

【检查方法分析比较】

CT检查显示为脑内低密度影,MR检查显示脑内长T1WI、长T2WI异常信号区,病变与供血动脉分布区一致,可有占位效应。MRI显示脑梗死灶优于CT,MRI可发现基底节区腔隙性脑梗死和脑干的小梗塞灶,而CT则较难发现。出现梗塞6h后,MR检查时病灶已很清楚。影像学检查方法首选MR平扫+DWI。

图2-4-8 外伤性脑梗死MR影像表现 DAn2HbU0MXZT8ilW5TJ+oWtI/1shJ9VzqiLM1A28fcz9xbr7zC9org9/m8FKTMqc

点击中间区域
呼出菜单
上一章
目录
下一章
×