



我们的骨骼也会发生肿瘤,包括良性肿瘤和恶性肿瘤。有些不会影响我们的健康,有些对健康有严重威胁,需要及时发现、早期诊断和早期治疗。
骨肿瘤分为哪些类型?
骨肿瘤有良、恶性之分。
良性骨肿瘤易根治,预后良好。
恶性骨肿瘤发展迅速,预后不佳,致残及死亡率较高。
还有一类骨病损称瘤样病变,肿瘤样病变的组织不具有肿瘤细胞形态的特点,但同样具有肿瘤的破坏性,一般较局限,容易根治。
良性骨肿瘤有哪些?
常见的良性骨肿瘤有骨囊肿、骨纤维结构不良、骨软骨瘤、骨样骨瘤、骨瘤、骨化性纤维瘤、非骨化性纤维瘤等。
骨组织的细胞发生异常增殖,呈膨胀性生长,似吹气球样逐渐膨大,生长比较缓慢。由于瘤体不断增大,可挤压周围组织,但一般情况下并不侵入邻近的正常组织内,也不发生远处转移、“扩散”,瘤体大多形状规则、对正常的骨组织破坏程度较小,很少引起病理性骨折。周围常形成包膜、囊壁等所谓的“边界”,因此与正常组织分界明显,手术时容易切除干净,摘除不转移,一般较局限,易根治。很少有复发。
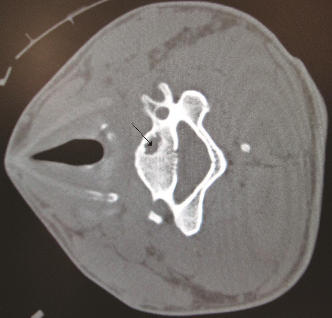
CT影像下所见颈部椎骨的骨囊肿(黑
有些良性骨肿瘤患者没有任何症状,只是在诊断其他疾病中,进行影像学检查中意外发现。
恶性骨肿瘤有哪些?
恶性骨肿瘤又可分为原发性、继发性与转移性三种。
● 原发性骨肿瘤指由骨局部组织长出的恶性肿瘤,原发恶性骨肿瘤以骨肉瘤、软骨肉瘤、纤维肉瘤为多见。
● 继发性骨肿瘤则由良性骨瘤转变而来,如骨软骨瘤恶变为软骨肉瘤。
● 转移性骨肿瘤则是由其他系统的恶性肿瘤发生远处转移至骨骼的后果,常见的有肺癌、前列腺癌、乳腺癌、肝癌、甲状腺癌、子宫颈癌、胃癌、结肠癌、肾癌、鼻咽癌等。转移性骨肿瘤多起源于乳腺癌、肺癌、前列腺癌、肾癌及甲状腺癌等。
大多恶性骨肿瘤恶性较高、发展迅速、容易早期出现转移即所谓的“扩散”,较难根治,易复发,预后不佳,死亡率高。
良性和恶性骨肿瘤区别见下表。
良性和恶性骨肿瘤的区别
骨肿瘤与“骨癌”是什么关系?
所谓“骨癌”其实是缺乏医学专业知识的老百姓对恶性骨肿瘤的“通称”,以此看出普通百姓对该疾病的恐惧、不理解,只知道是一种很严重、预后很差的疾病,所以把恶性骨肿瘤同大多数“癌”等同起来。
根据组织细胞学的分类和属性划分,骨组织属于间叶组织,医学上把发生于间叶组织的恶性肿瘤称为肉瘤,因此恶性骨肿瘤严格的医学名称是骨肉瘤、软骨肉瘤或者直接称为“恶性肿瘤”,如“恶性纤维组织细胞瘤”“恶性骨母细胞瘤”等。
其他组织器官的癌症转移至骨组织的继发性恶性骨肿瘤,应称为“某某癌骨转移”,如“肺癌骨转移”“前列腺癌骨转移”。
骨肿瘤除了以上所介绍的恶性以外,当然还有多种良性的骨肿瘤。所以不能把“骨肿瘤”与“骨癌”混同。
【小知识】
间叶组织是医学上组织胚胎学术语,来源于胚胎发育期间中胚层的间充质分化形成的组织器官,包括骨和软骨、结缔组织、脉管组织、淋巴组织、造血组织和脂肪组织。组织胚胎学把人体组织分为四大类,即上皮组织、结缔组织、肌肉组织和神经组织,像口腔黏膜是上皮组织,肱二头肌是肌肉组织等等。
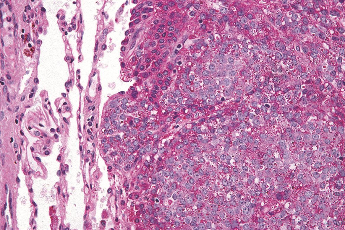
什么是骨巨细胞瘤?
骨巨细胞瘤是一种较为特殊的原发性骨肿瘤,可能起始于骨髓内间叶组织。本病多在20~50岁发病,女性高于男性。因为在显微镜下该肿瘤的细胞体积巨大,故而得名,是一种介于良性与恶性之间的骨肿瘤,有人认为该肿瘤有潜在的恶性。
骨巨细胞瘤的病理图像
骨巨细胞瘤具有较强侵袭性,对骨质的溶蚀破坏作用大,容易造成病理性骨折,极少数有反应性新骨生成及自愈倾向,可穿过骨皮质形成软组织包块,刮除术后复发率高,少数可出现局部恶变或肺转移(即所谓良性转移)。骨巨细胞瘤为低度恶性或潜在恶性的肿瘤。
什么是骨肉瘤?
骨肉瘤,是较常见的发生在20岁以下的青少年或儿童的一种恶性骨肿瘤,是骨恶性肿瘤中最多见的一种。下肢负重骨在外界因素(如病毒)的作用下,使细胞突变,可能与骨肉瘤形成有关。
骨肉瘤
该肿瘤恶性程度较高,发展迅速,容易早期出现转移即所谓的“扩散”,较难根治,易复发,预后不佳,死亡率高。而大家口中所谓“骨癌”其实就是这种肿瘤。
骨肉瘤目前仍是儿童和青少年恶性肿瘤死亡率很高的疾病,但早期发现和及时治疗已经从很大程度上提高了该病的生存率。
什么是尤文肉瘤?
尤文肉瘤是一种低分化的、恶性程度极高的骨恶性肿瘤。它占所有原发性骨肿瘤的6%~8%,是儿童和青少年最常见的恶性原发性骨肿瘤。疼痛和肿胀是最常见的早期症状,其次是神经根及脊髓等神经功能损伤,部分患者伴低热,血清高密度脂蛋白胆固醇和红细胞沉降率明显升高,有时伴有白细胞计数增多和贫血。病变可产生较大的软组织肿块,主要分布在长骨骨干及骨盆。
与骨肉瘤一样,该疾病若早期发现,及时治疗可以从很大程度上提高该病的生存率。
尤文肉瘤(白色箭头所示)转移并侵袭肺部的病理图像
骨肿瘤的病因有哪些?
骨肿瘤的发病因素很复杂,目前还没有确切的致病因素,一般认为由机体内外因素的综合作用引起。内因有基因学说、内分泌学说等;外因有化学元素物质和内外照射慢性刺激学说、病毒感染学说等。部分多发性骨软骨瘤和纤维样增殖症与家族遗传有关。而且骨的良性肿瘤也可以发生恶变:如多发骨软骨瘤可恶变为软骨肉瘤。
骨肿瘤的预防措施有哪些?
如上所述,骨肿瘤的发病因素很复杂,目前还没有确切的病因,因此,骨肿瘤在早期预防上仍存在一定难度。
大多数骨肿瘤的预防在于定期体检、早期筛查、早期诊断及早期治疗。