



实战手术的入路设计基本上是按照术前可行性评估结果进行实际操作的过程,值得强调的是符合手术要求的平面没有现成的,也不是固定不变的,需要借助CT并按照程序寻找和确定。
1.摆体位
根据手术目的采取侧卧位(图3-3-1)或俯卧位(图3-3-2)。
2.粘放定位条贴
在拟行穿刺点附近粘放定位条贴是确定穿刺点的有效举措,我们曾应用金属丝编制的定位网(图3-3-3),也有报道应用造影导管制成栅格样式的(图3-3-4),我们现在常用的是制作简单、与皮肤易贴近的双层胶布含夹等距离金属条做成的定位条贴(图3-3-5)。
3.TOP像扫描
无论什么手术都必须做TOP像扫描,在其上确定手术部位和断层扫描范围。如侧卧位时的椎间隙侧方穿刺入路做脊柱的正位TOP像(图3-3-6),俯卧位时的椎板间入路做脊柱的侧位TOP像(图3-3-7)。
4.角度扫描
图3-3-1 侧卧位定位
A.体位摆放;B.粘放定位条贴;C.定位条贴局部图
图3-3-2 俯卧位定位
A.体位摆放;B.粘放定位条贴;C.定位条贴局部图
图3-3-3 金属丝编制的定位网
图3-3-4 栅格样定位网
图3-3-5 定位条贴制作
A.在长方形胶布上粘放金属条;B.等距离放置完毕;C.将胶布折叠加压;D.制作完成
图3-3-6 侧卧位的正位TOP像
A.无髂骨阻挡时机架零度扫描;B.有髂骨阻挡时的角度扫描
一般的CT机架可以调整角度(图3-3-8),调整机架角度进行扫描是寻找操作平面的关键举措,不同的穿刺途径和手术目的要求机架调整的角度也不同,如L 4/5 经椎间隙侧方入路时,如果手术平面无髂骨阻挡,则采用零度扫描(见图3-3-6A、图3-3-8B),否则为了避开髂骨阻挡,机架应向头侧倾斜(图3-3-6B、图3-3-8C);用于射频靶点消融或内镜髓核摘除的椎板间入路,如果扫描角度与椎间隙平行,将多有椎板阻挡(图3-3-9),其要点在于穿刺靶点为直接突出的椎间盘,而穿刺途径又必须避开椎板经过椎板间隙才能成功,因此要求调整到既能显示靶点又经过椎板间隙的角度,一般向足侧倾斜(图3-3-8A、图3-3-10);椎弓根入路则沿椎弓根轴线扫描(图3-3-11)。
图3-3-7 俯卧位的侧位TOP像
5.选定操作平面
图3-3-8 机架倾斜角度
A.机架向足侧倾斜;B.零度机架;C.机架向头侧倾斜
图3-3-9 机架平行椎间隙扫描
A.沿椎间隙轴线扫描(红坐标线);B.横断位层面多有椎板阻挡
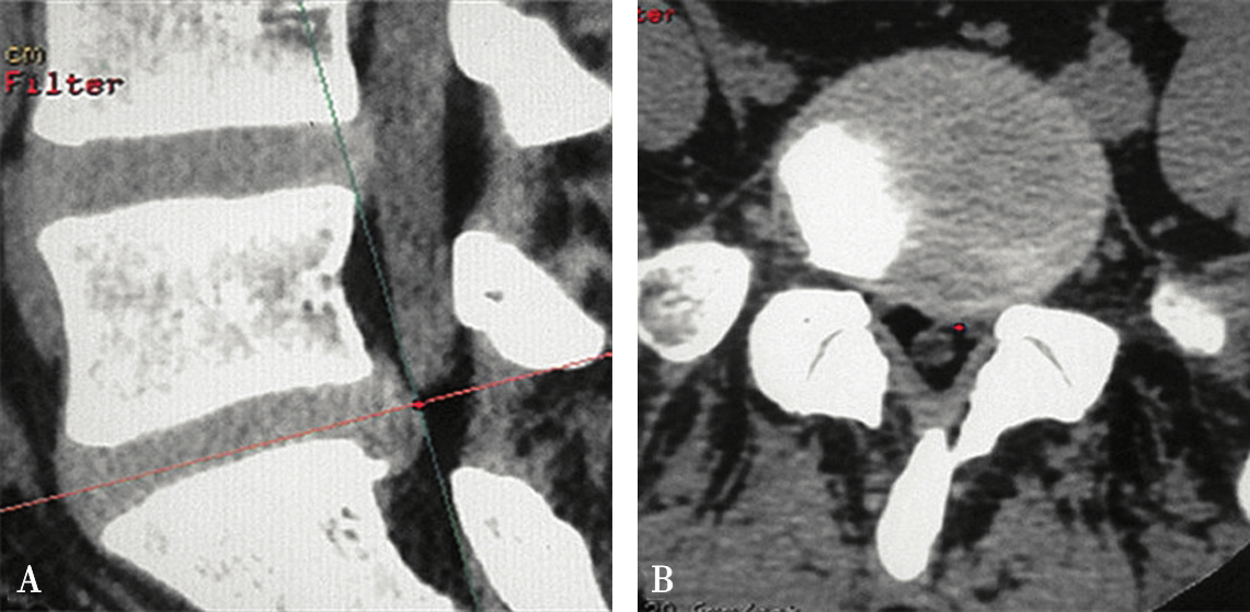
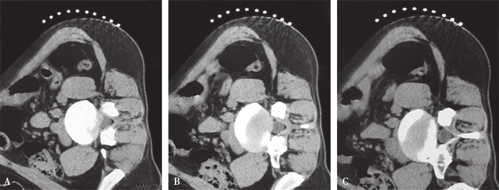
在扫描产生的多层横断面中选择出最符合穿刺要求的一层,作为设计入路和引导穿刺定位的操作平面,我们将该层称为“靶点操作平面”。根据不同的手术目的选择该平面的要求也不同:避骨入路类手术如经椎板间入路椎间盘靶点定位类,应选择具有最大程度避开神经、血管、脏器、骨质而到达靶点的平面,如图3-3-12中显而易见图B是最合适的平面;经椎间隙侧方入路时的扫描图像中(图3-3-13),图B最合适;而经骨入路类手术如经皮椎体骨折复位外固定、椎体成形术等,应选择椎弓根宽大处的平面,如图3-3-14中图B作为操作平面最合适。CT机架角度扫描的横断位平面自然也是倾斜的,而穿刺定位入路是在该平面内的,因此存在如下关系:CT机架扫描角度=靶点操作平面角度=定位针穿刺时的头足倾斜角度(图3-3-15)。
图3-3-10 适当角度扫描
A.经过椎板间隙的角度扫描(红坐标线);B.寻找出符合手术要求的操作平面
图3-3-11 枢椎骨折沿椎弓根轴线扫描
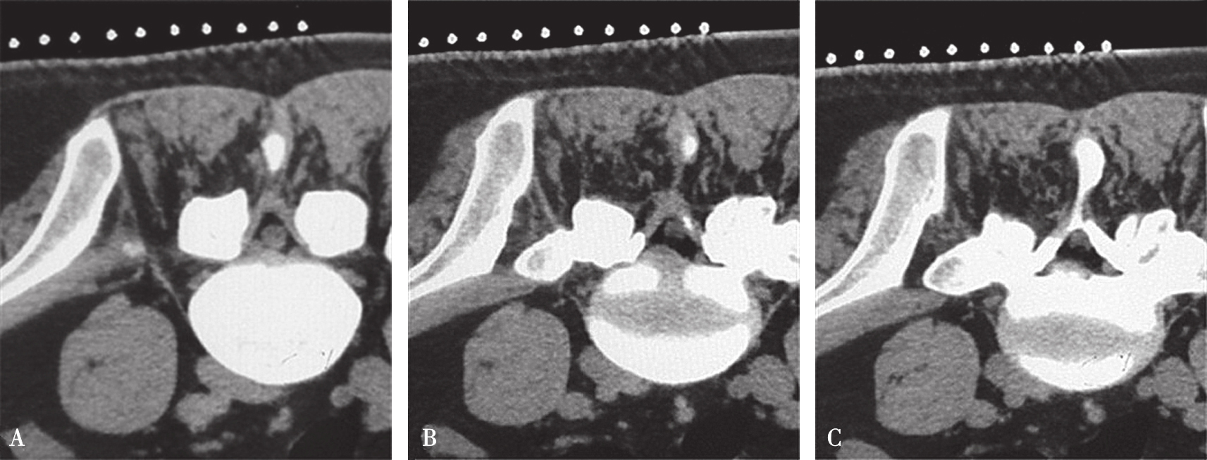
图3-3-12 L 5 /S 1 经椎板间隙入路-不同层面横断位像
A.靶点偏头侧平面;B.靶点操作平面;C.靶点偏足侧平面
图3-3-13 L 4/5 侧方入路-不同层面横断位像
A.靶点偏头侧平面;B.靶点操作平面;C.靶点偏足侧平面
图3-3-14 沿椎弓根轴线扫描的不同层
A.椎弓根偏头侧平面;B.椎弓根中间平面;C.椎弓根偏足侧平面
图3-3-15 工作通道头足倾斜角度与机
在靶点操作平面上设计自进针点至靶点的手术入路并不复杂,但也不是随意之事,选择最佳穿刺途径应遵循以下原则:
1.安全最大化
手术入路距离血管、神经及脏器等危险组织越远越好。
2.角度最佳化
在能达到手术目的的情况下,穿刺角度越小越好,穿刺角度往往与穿刺距离成正比。
3.距离最短化
穿刺距离越短出现偏差的可能性越小。其中穿刺点的确定是关键,是“画龙点睛”之笔,其一旦确定,手术入路在靶点操作平面上的左右倾斜方向和深度也即确定,我们依靠CT激光投影线和定位条贴上的金属条进行确定,方法如下:在患者保持不动的情况下,随着CT机架扫描角度的变化,其在患者皮肤上的投影线位置也相应发生变化(图3-3-16A、B、C分别对应图3-3-8A、B、C);定位条贴的金属条在横断面上以点状显示(图3-3-17)。在靶点操作平面上设计出最佳手术入路,测量角度和深度(图3-3-18),其对应的金属条与CT投影线的交点即是穿刺点,用记号笔标记(图3-3-19)。
怎样将定位针按照设计的入路准确地完成穿刺呢?穿刺三要素中的穿刺点和深度较容易掌握,关键难点是穿刺角度的掌握,“差之毫厘、谬之千里”,虽然有各种减少误差的方法,我们也曾研究过定向仪[有机玻璃制作的两同心半圆仪组成,大半圆仪骑跨于小半圆仪上,既能转动又保持同心(图3-3-20)。通过小半圆仪显示大半圆仪的倾斜度,使其与靶点操作平面的头足倾斜角度一致(图3-3-21),将穿刺针贴放于大半圆仪上,针尖对准穿刺点,针体调整到断面手术入路的倾斜角度(图3-3-22),如此(图3-3-23)穿刺针的方向即与设计的一致]用于确定穿刺针的两个角度,但在实践中均难以达到准确无误、一次穿刺成功。
图3-3-16 投影线位置
A.投影线下移;B.投影线居中;C.投影线上移
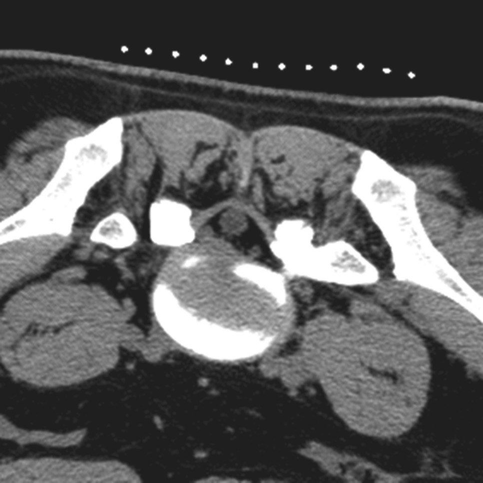
图3-3-17 横断面定位条显示图像
图3-3-18 手术入路的方向、深度及对
图3-3-19 穿刺点的确定
A.靶点操作平面的投影线;B.选定对应的金属条;C.标记金属条两端;D.代表金属条的线段与投影线交点即是穿刺点
图3-3-20 自制定向仪
图3-3-21 靶点操作平面头足倾斜角度
图3-3-22 断面手术入路的倾斜角度
图3-3-23 对应测量两个角度
图3-3-24 经椎间孔侧方入路分段穿刺图像
A.目测下部分进针;B.调整方向穿刺到位
图3-3-25 经椎板间隙入路分段穿刺图像
A.椎管外调整好方向;B.椎管内一次穿刺成功
采取分段穿刺技术、借助CT适时扫描、监测矫正定位针位置才是保证安全无误的金标准。所谓分段穿刺技术是按照设计的手术入路,先在安全深度内目测下部分进针,根据CT扫描图像结果调整进针方向直至成功(图3-3-24、图3-3-25)。
综上所述,CT定位技术大体分为两部分:一是围绕“角”、“面”、“向”、“度”、“点”设计量化入路(角:CT机架的扫描角度=靶点操作平面角度=定位针穿刺时的头足倾斜角度;面:靶点操作平面;向:靶点操作平面内入路的方向;度:穿刺距离;点:穿刺点的确定);二是在CT监测下完成定位针穿刺。
(关家文)