购买
下载掌阅APP,畅读海量书库
立即打开
畅读海量书库
扫码下载掌阅APP

病例10

老年肺结核并左心室血栓和脾梗死一例

包海荣 刘晓菊 谭恩丽 张艺

【病例介绍】

患者女性,62岁,因 “间断咳嗽、气短8个月,加重1个月,发热4天”于2013年4月8日入院。患者于2012年8月无诱因出现间断咳嗽,偶咳少量白色黏痰,无咯血。伴气短、胸闷,活动后为著。咳嗽时左上腹钝痛。伴腹胀,进食后加重。当地医院胸部CT“右肺下叶背段小空腔形成”。抗感染治疗后症状缓解。此后仍间断出现上述症状,自服抗“感冒”药或抗生素治疗有效。2013年3月胸部CT“两肺上叶及下叶背段肺结核,并左肺下叶感染”,心脏超声 “肺动脉高压(轻度),左室收缩功能正常,舒张功能减低,余未见明显异常”。多次痰涂片未找到抗酸杆菌。予以头孢哌酮舒巴坦治疗后咳嗽、气短稍缓解。2013年4月4日起出现午后发热,每次持续约3~4小时,最高体温38.9℃,伴多汗,偶有寒战。当地医院抗感染治疗效果欠佳。患者自发病以来精神、饮食、睡眠欠佳,近10日未解大便,小便基本正常,体重减轻约10kg。

既往史: 2003年10月患 “甲状腺功能亢进症”,服 “甲巯咪唑”约7年,2012年8月因 “甲状腺功能减退”服 “左甲状腺素钠”2个月后复查甲状腺功能正常,停药后未再复查。

入院查体: T 38.1℃,P 93次/分,R 22次/分,BP 90/56mmHg。慢性病容,精神欠佳,睑结膜无苍白,扁桃体无肿大,口唇无发绀,甲状腺Ⅱ°肿大,无压痛,未闻及血管杂音。心、肺、腹部未查及异常体征,双下肢无水肿,神经系统未查及阳性体征。

入院后辅助检查:

血常规:白细胞5.28×10 9 /L,中性粒细胞百分比79.5%↑,淋巴细胞百分比14.4%,红细胞5.23×10 12 /L,血红蛋白154g/L,血小板177×10 9 /L。

血生化:天冬氨酸氨基转移酶83U/L↑、丙氨酸氨基转移酶62U/L↑,谷氨酰转肽酶228U/L↑,尿素氮 5.46mmol/L,肌酐 54μmol/L↓,血钾 3.04mmol/L↓,血钠125mmol/L↓,血氯89mmol/L↓。

凝血:抗凝血酶Ⅲ78%,D-二聚体5.86μg/ml↑,纤维蛋白原降解产物17.4μg/ml↑。

类风湿因子15.30IU/L↑,C反应蛋白83.40mg/L↑。

血沉、血脂、血糖、自身抗体、甲状腺功能、肿瘤标志物、尿常规、乙肝三系统、丙肝抗体、梅毒螺旋体抗体、HIV抗体均正常,呼吸道病毒抗体(8项)均阴性。

胸部CT:双肺多发斑片、结节影,以双肺上叶及下叶背段为主,多考虑肺结核;纵隔及肺门多发淋巴结肿大,部分钙化;左侧胸腔积液,双侧胸膜增厚(图10-1)。

图10-1 胸部CT

双肺多发斑片及结节影、纵隔及肺门淋巴结肿大,部分钙化

心电图:双分支传导阻滞。

电子支气管镜检查:双肺各叶段支气管炎症性改变,支气管刷片及肺泡灌洗液涂片均未查到抗酸杆菌。

初步诊断: 1.继发型肺结核(双肺)并感染?2.心律失常双分支传导阻滞;3.水电解质平衡紊乱 低钾、低钠、低氯血症;4.甲状腺功能亢进症治疗后。

诊疗经过: 入院后给予异烟肼、利福平、乙胺丁醇和吡嗪酰胺试验性抗结核、头孢他啶联合阿米卡星抗感染及纠正水电解质紊乱治疗1周后患者仍持续发热,体温38~39.5℃,为排除药物热可能,停抗生素及抗结核药物。停药后仍有发热,查体右上腹压痛,墨菲征阳性。行腹部B超示胆囊炎症并泥沙样结石。于住院第9日给头孢哌酮舒巴坦联合奥硝唑加强抗感染治疗,第11日恢复四联抗结核治疗。当晚患者胸闷、气短加重,伴心慌。查体:血压125/54mmHg,心率120次/分,律齐,各瓣膜听诊区未闻及杂音,双下肺闻及散在湿啰音。急查心肌酶正常,脑钠肽8606ng/L↑;动脉血气示pH 7.494↑,PCO 2 24.4mmHg↓,PO 2 39mmHg↓,SO 2 79%↓,考虑急性左心功能不全,不排外急性肺栓塞。予面罩吸氧3L/min、毛花苷丙、呋塞米静脉注射,硝酸甘油静脉滴注,1小时后胸闷、气短、心慌改善,心率降至108次/分,双下肺湿啰音消失。次日行CT肺动脉造影未见明显肺血栓栓塞征象。心脏超声:双房轻度增大,升主动脉硬化伴瓣钙化,肺动脉瓣、二、三尖瓣反流(轻度),肺动脉高压(中度)。

住院第13日晨起进食后再次突发胸闷、气短、心慌加重,心率170~220次/分,呼吸35次/分,血压80/56mmHg,指氧饱和度74%,急诊心电图:宽QRS波心动过速,考虑房扑(2∶1),给予西地兰静脉注射约半小时后心率115次/分,呼吸19次/分,血压99/64mmHg,指氧饱和度90%,房扑转为窦性心律。之后继续应用毛花苷丙和呋塞米,同时维持原方案抗感染、抗结核治疗,患者病情较平稳,但体温无明显下降。

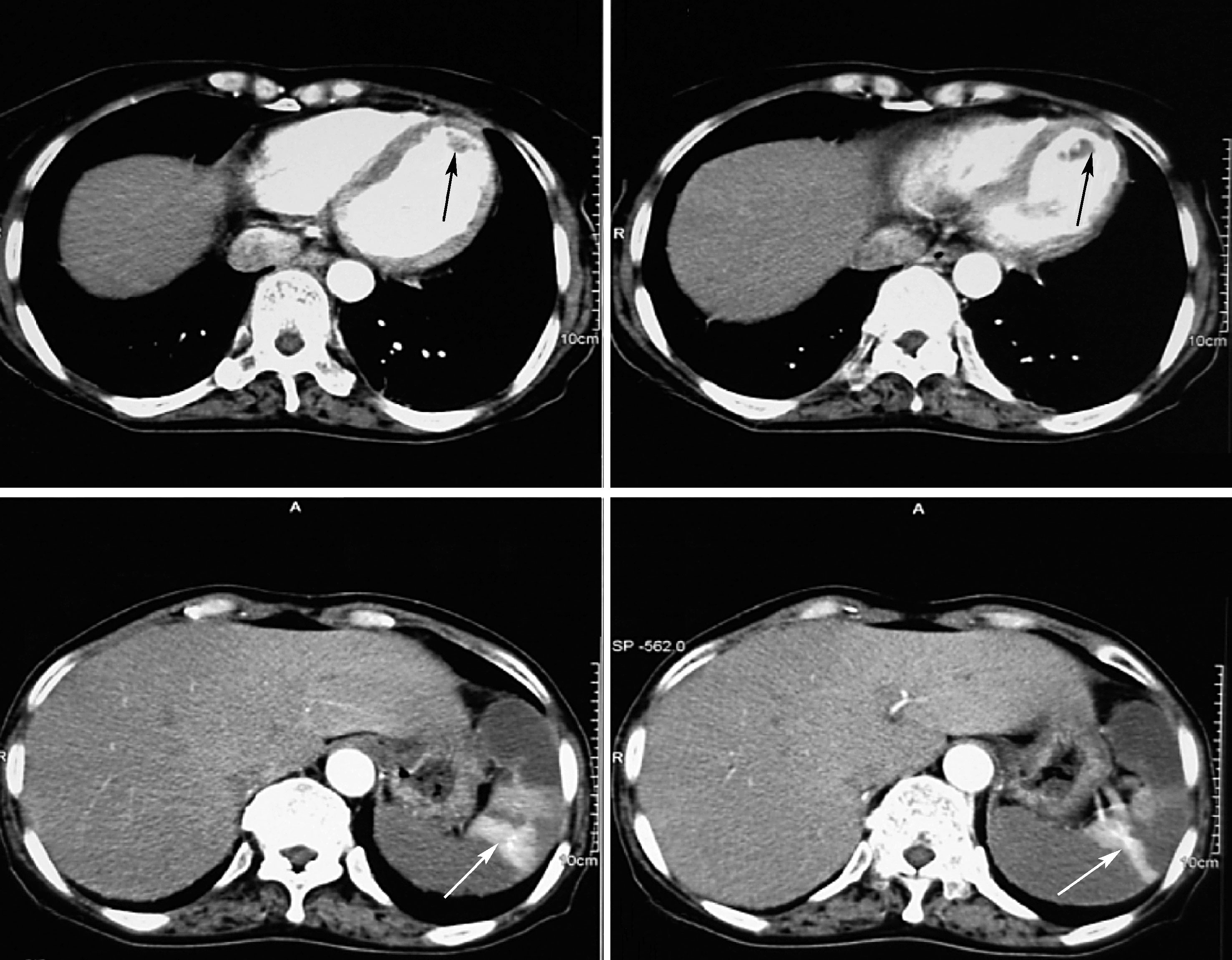
住院第16日进食后突然出现上腹部疼痛,呈钝痛,无肩背部放射痛,无恶心、呕吐、腹泻、呕血及黑便。查体:左上腹压痛、反跳痛,无肌紧张。急诊超声及CT示脾梗死、胆囊炎、腹膜后多发淋巴结肿大、左心室近心尖部血栓(图10-2、图10-3)。明确诊断为左心室血栓、急性左心功能不全、阵发性房扑、急性脾梗死。给予低分子肝素4250IU皮下注射每12小时1次,华法林2.5mg每天1次抗凝治疗3天后,INR由1.46升至2.81,停用低分子肝素。同时按需口服双氯芬酸钠止痛,继续利尿纠正心衰,抗结核、减弱抗感染力度(换为头孢他啶)治疗。

图10-2 上腹部增强CT

左心室血栓、脾梗死(箭头所示)

图10-3 心脏超声

A.左心室血栓(箭头所示);B.左心室血栓消失

住院第22日,患者体温高峰开始下降,发热时续时间缩短,波动于36.8~38.1℃,咳嗽、气短逐渐缓解,腹痛减轻。

住院第28日复查心脏彩超示左心室血栓消失(图10-3),第29日CT引导下经皮肺穿刺活检病理结果回报:小灶型干酪样坏死组织,周围包裹上皮样细胞、多核巨细胞,伴间质、纤维组织增生,慢性炎性细胞浸润。抗酸染色找到抗酸杆菌(见文末彩图10-4)。

图10-4 肺活检病理

A.干酪样坏死(箭头所示);B.抗酸杆菌(箭头所示)

出院后继续四联抗结核治疗,同时口服华法林(据INR结果调整剂量)。抗凝治疗3个月后患者腹痛消失,当地医院复查腹部B超脾梗死消失,停用华法林。抗结核治疗1年后咳嗽、气短症状消失,复查胸部CT肺部斑片影消失,停用抗结核药。随访至今患者未诉特殊不适。

出院诊断: 1.继发型肺结核(双肺)涂阴初治并感染呼吸衰竭Ⅰ型;2.左心室血栓急性左心功能不全阵发性心房扑动;3.急性脾梗死;4.水电解质平衡紊乱 低钾、低钠、低氯血症;5.慢性胆囊炎急性发作;6.甲状腺功能亢进症治疗后。

【病例讨论】

该患者以肺结核相关症状为首发表现,病程中伴有发热、腹痛、心慌、气短等其他表现,随疾病发展,检查深入,结果证实出现上述症状的原因为在肺结核的基础上合并出现了左心室血栓和急性脾梗死。

肺结核是由结核分枝杆菌感染导致的人畜共患病。结核分枝杆菌感染机体后释放的内毒素、结核菌代谢产物及分解产物可激活补体、使炎性细胞聚集并释放酶和过氧化物,继而损害毛细血管或直接作用于毛细血管释放组胺、前列腺素等严重损伤血管内皮细胞 [1] 。D-二聚体是由纤维蛋白单体形成的交联纤维蛋白经纤溶酶水解所产生的降解物之一,其水平增加说明机体可能处于高凝状态或存在较强的继发性纤溶活性。本患者D-二聚体、纤维蛋白原降解产物明显增高,考虑机体已处于高凝状态。且患者既往有甲亢病史,甲亢亦可导致患者凝血功能增强、血管内皮功能紊乱、血小板功能异常 [2] 。从而与肺结核导致的内皮细胞功能异常共同促进内皮损伤,血液的高凝状态,导致左心室血栓形成。血栓脱落可出现体循环动脉栓塞。最常见的栓塞部位是脑,亦可经主动脉、腹腔动脉到达脾动脉,继而引起脾梗死。本患者发生脾梗死即符合上述规律。脾梗死可以无临床症状,亦可以表现为左上腹疼痛。脾梗死的治疗主要是止痛,可以选用麻醉止痛药或非甾体类消炎药。对于有并发症的患者可以选择手术切除。脾梗死也有高度不治而愈的临床特征 [3] 。本患者持续发热,伴左上腹疼痛,疼痛位置集中于脾区,沿脾动脉、脾静脉走行区疼痛明显,考虑与脾梗死有关。该患者发热可能还与肺结核有关。针对脾梗死,考虑患者同时存在肺结核、左心室血栓及继发感染表现,恐不能耐受手术,故未予手术治疗。

本病例在积极抗结核、抗感染的基础上给予抗凝治疗后,患者发热、气短、心慌及腹痛症状明显减轻,复查左心室血栓消失,脾梗死消退,治疗效果良好。考虑与同时系统抗结核治疗后患者结核病得到控制、终止了凝血功能异常的始动因素密不可分。对于本病例,我们及时发现病情变化,检查得当、治疗积极,经随访,患者抗结核治疗1年后已停药,现病情平稳,一般状态良好。

【专家点评】

刘晓菊(兰州大学第一医院老年呼吸科 主任医师)

本病例为在肺结核基础上继发凝血功能障碍,继而导致左心室血栓、脾梗死,考虑凝血功能障碍与结核后高凝状态、感染、甲亢均有关系,且多考虑脾梗死为左心室血栓脱落所致,本老年患者病情复杂,变化迅速,检查及治疗均较得当,是值得我们学习的个案。

有以下几点需要提出:

1.老年人通常基础病和合并症较多、病情复杂、变化迅速,所以需密切观察患者病情变化,细致查体,从而及时发现问题并及时解决。

2.肺结核为呼吸系统常见病、多发病,诊断及治疗方法已被广大医师熟知。但其带来的凝血功能障碍极易被忽视,所以对于一般状态差,尤其是病变范围广泛的肺结核患者,应注意凝血功能的检查,警惕凝血功能障碍的发生。

3.临床上,左心室血栓的形成常继发于急性心肌梗死、扩张型心肌病、心脏瓣膜病、其他影响左心室功能的心脏病及非心血管病,如抗磷脂综合征等。其发生的危险因素主要是心肌损伤、血流动力学异常及全身血液高凝状态。左心室血栓发病隐匿,临床危害主要在于脱落的栓子会导致脑和外周动脉栓塞,且无明显的预兆,有较高的致残和致死风险 [4] 。二维超声心动图是诊断左心室血栓无创,便捷的常用的方法,定期超声心动图检查常可以发现血栓自发的形态及移动度的改变。因此存在上述危险因素时需要临床医师高度重视,严密观察病情,定期超声心动图检查,以便及早发现血栓,及早治疗,减少栓塞发生及患者死亡。

4.左心室血栓是发生动脉系统栓塞的高危因素,因此,抗栓治疗是预防栓塞发生的有效措施。左心室血栓抗栓治疗需联合应用肝素和华法林。由于华法林应用初期可导致短暂的血液高凝状态,因此需要重叠使用肝素抑制高凝状态。当INR达标后可停用肝素,继续使用华法林3~6个月。对于存在左心室血栓的急性心肌梗死患者建议华法林抗凝联合双联抗血小板(阿司匹林+氯吡格雷)治疗至少应持续3个月 [4]

参考文献

1.彭黎明,邓承祺.现代血栓和止血的实验室检测及其应用.北京:人民卫生出版社,2005.

2.梁翠格,高冠起.甲状腺功能亢进症与凝血功能.医学综述,2012,18(12):1833-1835.

3.刘东斌,刘家峰,刘强,等.脾梗死的诊断和治疗(附7例报道).中国普外基础与临床杂志,2011,18(2):200-201.

4.江岳鑫,贾友宏.急性心肌梗死合并左心室血栓的研究现状.心血管病学进展,2013,34(6):756-760. RX/8+yadgnFY8pHKuJjxU17lIOqW2/jdVltudr0XsF4OUL4j6nMGEnhJjEUpzW5B

点击中间区域
呼出菜单
上一章
目录
下一章
×