



脑积水是最经典的神经外科疾病。目前临床常用的治疗方法包括内镜手术和脑脊液分流手术两种。究其发展历史,内镜手术在先,早在1910年,美国医生Lespinasse就开始应用硬性膀胱镜行脉络丛烧灼术治疗脑积水,距今已有100多年的历史;1922年,Dandy正式提出脑室镜的概念,这是最原始的神经内镜,脑积水的内镜手术由此成为最经典的神经内镜技术。但由于当时内镜设备粗糙,光学照明及放大效果较差,又缺乏配套的手术器械,手术死亡率较高,效果不佳。自1952年起,脑脊液分流手术应用于脑积水的临床治疗,大大降低了手术死亡率,使得内镜手术在脑积水治疗中的应用几近废弃。20世纪60~70年代,随着神经影像学技术的发展以及神经内镜设备及手术器械的不断进步,特别是电子软性内镜的出现,可以在极其微小的创伤下,灵活方便地对脑室系统及基底池进行全面探查,弥补校正神经影像学诊断(图3-1-1-1~图3-1-1-3);对于脑室感染后脑积水可在内镜下精准取材送检(图3-1-1-4),进行病原学鉴定并通过脑室灌洗对脑室系统进行一次彻底清创,明显缩短控制感染的过程。新型内镜下脑室探查有助于明确脑积水的病因和预后判断并进行个性化治疗,手术的安全性和术后疗效也明显改善。脑脊液分流手术陆续出现的多种并发症,使得脑积水分流手术治疗的远期疗效不佳,有的病例分流手术后的并发症使病情变得更加复杂,经神经内镜手术处理却能够得到很好的疗效。目前,越来越多的神经外科医师倾向于对脑积水患者首先使用神经内镜进行脑室探查并根据探查结果进行个性化治疗;内镜手术确实无法恢复脑脊液正常循环时,再序贯行分流手术治疗。需要特别强调的是,不管采用哪种方法,脑积水的治疗都是终身治疗。分流手术至今无法解决分流管梗阻问题,内镜手术也并非一劳永逸,造瘘口也有闭塞可能。脑积水患者术后一旦出现高颅压表现,首先应考虑手术失效的可能。
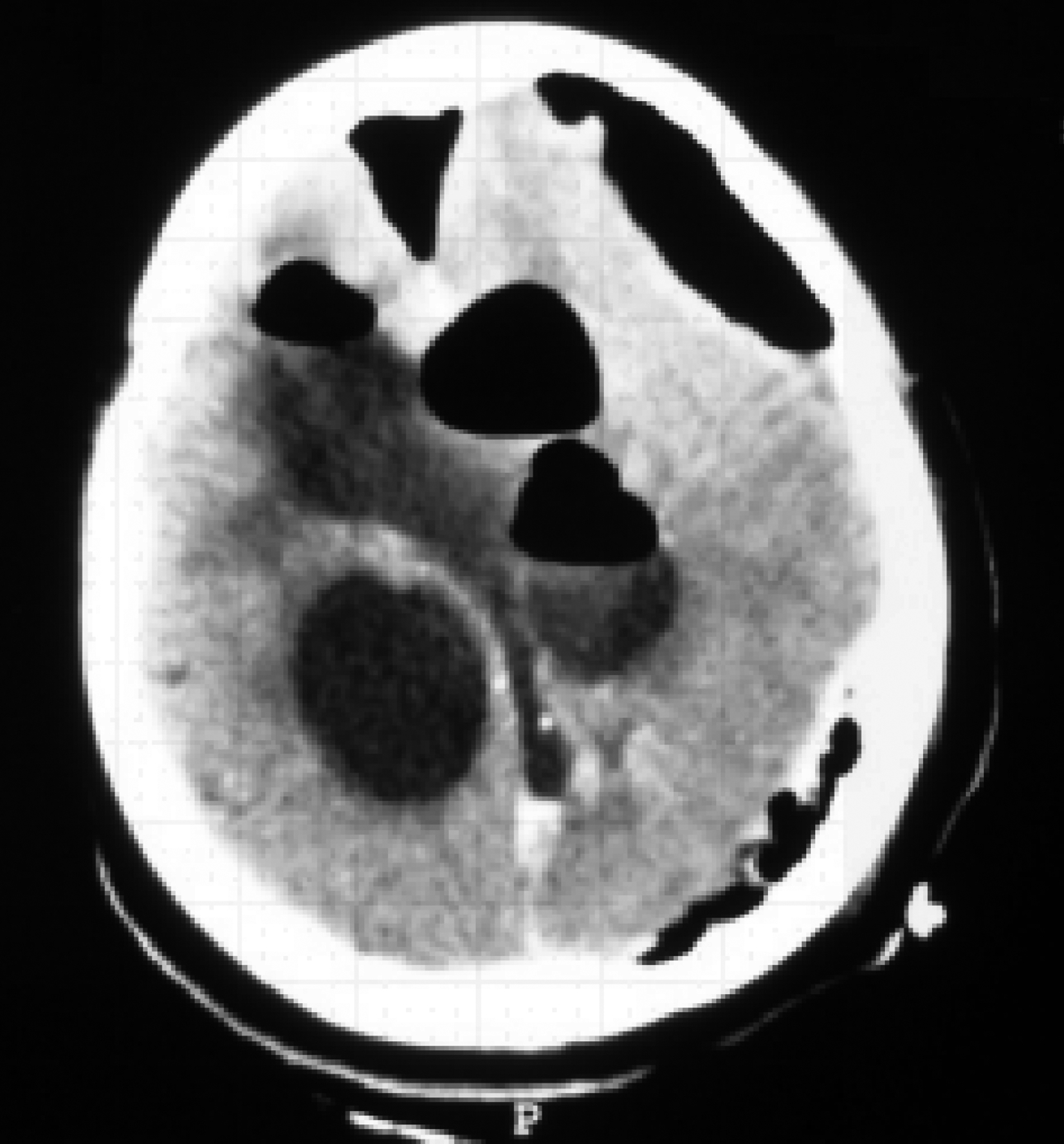
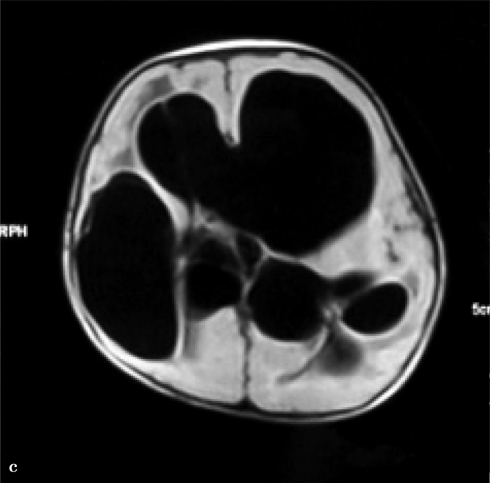
图3-1-1-1 出血后脑积水的脑室演变
a.发病时头颅CT:脑室内血肿呈高密度;b.发病12天后复查CT:血肿已呈低密度;c.发病5个月后头颅MRI:脑室明显扩张,脑室内未见异常信号;d.内镜下探查见脑室内仍有陈旧血斑及含铁血黄素沉积
图3-1-1-2 第三脑室底下疝的神经影
a.头颅MRI矢状位片所见,酷似鞍上池囊肿;b.内镜下探查,证实长期脑积水所致第三脑室底深度下疝
图3-1-1-3 内镜下脑室探查,明确导
a.头颅磁共振矢状位片提示导水管梗阻;b.内镜下探查证实导水管内肿瘤
图3-1-1-4 感染后脑积水内镜下探查所见
a.脑室壁上的菌斑;b.脑室内结核所致干酪样坏死物;c.脑室内真菌感染;d.第四脑室内囊虫
脑积水有多种类型,病情轻重不一。临床上通常把脑积水简单地划分为交通性脑积水和非交通性脑积水两大类。随着CT及磁共振等神经影像学技术的进步,现已能够明确定位脑脊液循环通路上的梗阻部位,进而根据脑脊液循环通路上的梗阻部位对非交通性脑积水进一步细分为室间孔梗阻、导水管梗阻、第四脑室流出道梗阻、基底池梗阻、蛛网膜下腔梗阻、静脉回流障碍以及混合性梗阻,如导水管和第四脑室流出道梗阻同时存在,或双侧室间孔和导水管梗阻同时存在所形成的双腔性脑积水、脑室内多发分隔的复杂性脑积水等多种亚型。内镜下脑室探查有时还能弥补和校正影像学检查结果,有助于明确脑积水的病因,进而根据探查结果进行个性化治疗。脑室内脉络丛肿瘤、脑室内囊虫或邻近脑室的蛛网膜囊肿所引起的继发性脑积水,可通过切除肿瘤、摘除囊虫囊泡或蛛网膜囊肿-脑室-脑池开窗造瘘术进行病因治疗;有明确脑脊液循环通路梗阻的,对梗阻部位进行疏通手术是最理想的治疗,包括室间孔成形、导水管成形、第四脑室正中孔成形等;不能有效疏通梗阻部位的,可选择脑室内旁路手术,通过改变脑脊液循环通路,使脑脊液绕过梗阻部位直接或间接进入蛛网膜下腔,如透明隔造瘘、第三脑室底造瘘术、终板造瘘术等。脑室内多发分隔的复杂性脑积水,可在内镜下打通各个分隔,使其变成单房性脑积水,有些患者需要同时进行脉络丛烧灼,以获得更好的治疗效果。在某些复杂情形下,需根据探查结果,联合采用上述多种技术,甚至内镜手术后仍然需要进行脑脊液分流术。
1.脑积水的病因治疗 脉络丛乳头状瘤可分泌较多脑脊液,引起交通性脑积水,内镜下切除肿瘤对脑积水进行病因治疗,详见第三章脑室肿瘤的内镜手术治疗。四叠体池及鞍上池蛛网膜囊肿可压迫导水管引起梗阻性脑积水,内镜下蛛网膜囊肿-脑室-脑池造瘘术能够使导水管重新开放。对脑积水进行病因治疗,详见第二章第二节四叠体池蛛网膜囊肿及第三节鞍上囊肿。脑室内囊虫导致的脑积水可通过内镜下囊虫摘除术进行病因治疗,详见第十六章脑囊虫病的内镜手术治疗。
2.单侧或双侧室间孔狭窄或闭塞所致一侧或双侧侧脑室积水,采用内镜下室间孔成形术进行治疗(图3-1-2-1)。
图3-1-2-1 室间孔狭窄的影像学表现
a.右侧室间孔狭窄,头颅MRI轴位;b.右侧室间孔狭窄,头颅MRI冠状位;c.左侧室间孔狭窄,头颅MRI轴位;d.双侧室间孔狭窄,头颅MRI冠状位;e.内镜下可见左侧室间孔闭塞、右侧室间孔狭窄;f.内镜下可见左侧室间孔闭塞;g.内镜下可见右侧室间孔闭塞;h.室间孔球囊成形;i.经球囊成形后的室间孔
3.透明隔囊肿所致一侧或双侧脑室积水,采用内镜下透明隔造瘘术进行治疗(图3-1-2-2);单侧室间孔狭窄成形困难者,可通过透明隔造瘘,使患侧脑脊液经过透明隔造瘘口由对侧侧脑室-室间孔进行循环(图3-1-2-3)。
图3-1-2-2 透明隔囊肿
a.冠状位CT片示囊肿向两侧脑室膨胀生长;b.内镜下经透明隔囊肿向双侧脑室及第三脑室造瘘口;c.术后囊肿明显变小,脑积水缓解
图3-1-2-3 透明隔造瘘治疗室间孔狭窄
a.MRI冠状位片示右侧室间孔狭窄,透明隔向左侧脑室移位;b.内镜下室间孔成形困难,行透明隔造瘘;c.术后MRI冠状位片示透明隔居中,双侧脑室对称
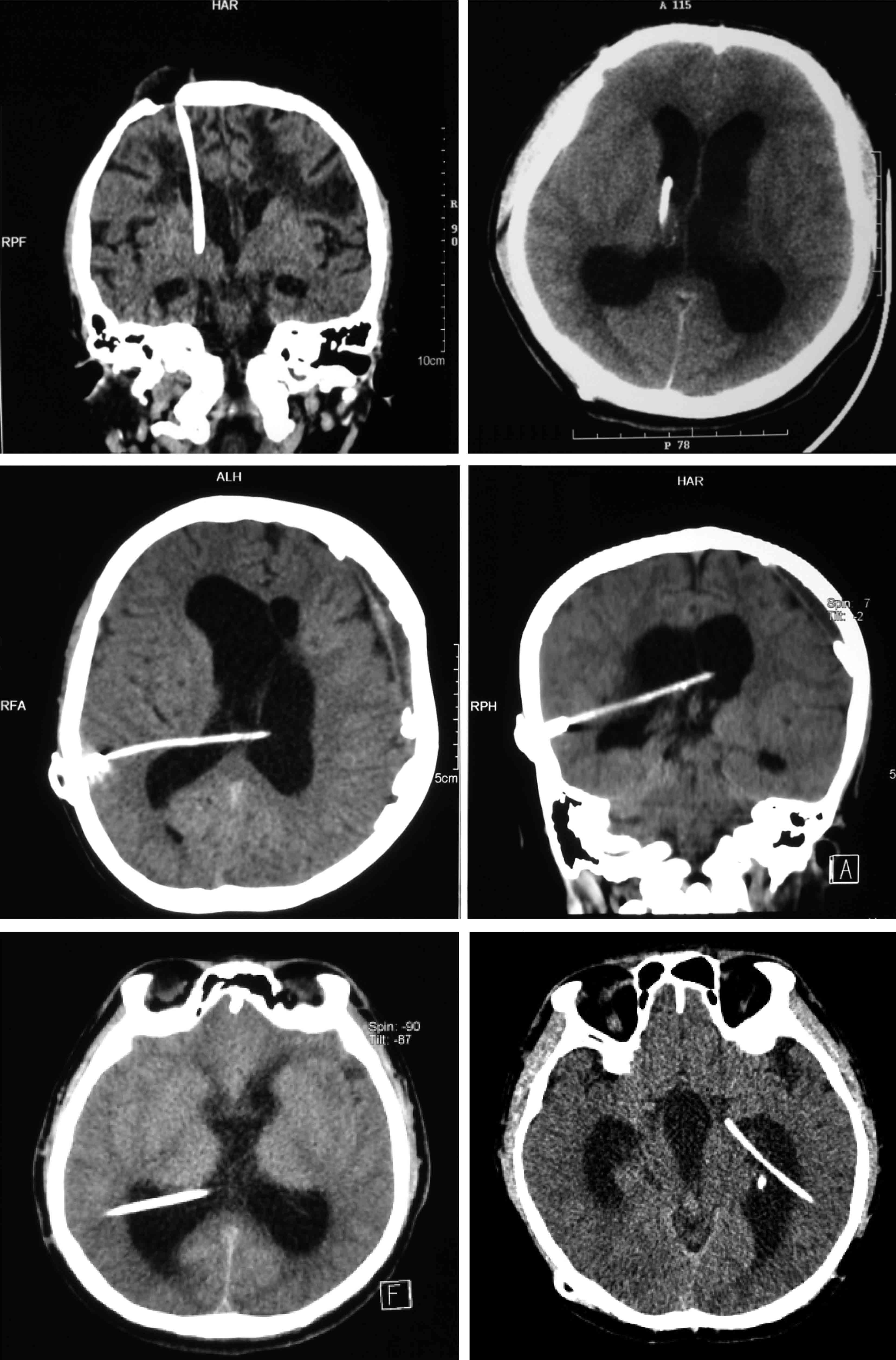
4.导水管节段性狭窄或膜性闭塞所致梗阻性脑积水以及孤立第四脑室,采用导水管成形术,必要时支架植入术进行治疗(图3-1-2-4~图3-1-2-6)。
图3-1-2-4 导水管狭窄性脑积水影像
图3-1-2-5 导水管支架植入
图3-1-2-6 孤立第四脑室,内镜下见
5.第四脑室流出道(包括正中孔和双侧侧孔)膜性闭塞,也可采用第四脑室正中孔成形术进行治疗(图3-1-2-7)。
图3-1-2-7 第四脑室流出道梗阻
a.矢状位片示第四脑室明显扩张;b.内镜下探查见第四脑室正中孔膜性闭塞;c.内镜下第四脑室正中孔成形;d.术后10个月复查第四脑室明显缩小;e.正中孔(Magendie孔)闭塞,结构紊乱富含血管;f.探查右外侧孔(Luschka孔);g.探查左外侧孔(Luschka孔)
6.导水管狭窄且导水管成形困难的梗阻性脑积水,可采用第三脑室造瘘术进行治疗。第三脑室造瘘包括终板造瘘、第三脑室底造瘘、第三脑室-小脑上池造瘘等多种方式,使脑脊液通过造瘘口直接进入蛛网膜下腔。其中第三脑室底造瘘术在脑积水的内镜手术治疗中应用最多,其技术要点在下一节中专门阐述。第三脑室底造瘘后,除脑脊液直接通过造瘘口进入基底池外,还能够将基底动脉的搏动传入脑室系统,通过改善脑脊液循环动力,对部分交通性脑积水起到治疗作用,正常压力脑积水及低压性甚至负压性脑积水多与脑脊液循环动力障碍有关。
7.脉络丛烧灼术 通过减少脑脊液分泌治疗脑积水。应用软性内镜施行脉络丛烧灼术更为简便,通过额部颅骨钻孔向侧脑室内置入内镜后,经透明隔造瘘口可行双侧脑室脉络丛烧灼,经导水管进行第四脑室脉络丛烧灼,效果更佳(图3-1-2-8)。
图3-1-2-8 内镜下脉络丛烧灼
a.侧脑室脉络丛烧灼;b.第四脑室脉络丛烧灼;c.烧灼前的脉络丛;d.烧灼7个月后,脉络丛明显萎缩
8.对于出血后脑积水(post hemorrhagic hydrocephalus,PHH)或感染后脑积水(post infection hydrocephalus,PIH)进行内镜下脑室灌洗术清洁脑室,相当于一次脑室系统的彻底清创,可明显缩短控制脑室感染的过程(图3-1-2-9)。
9.脑室内多发分隔型复杂脑积水(complex multiloculated hydrocephalus)首选内镜下脑室内分隔造瘘,使多房型脑积水变成单房型脑积水,酌情进行第三脑室造瘘术或脑脊液分流手术治疗(图3-1-2-10)。
10.有些合并Chiari畸形的脑积水,单纯行内镜下第三脑室底造瘘术,改变颅腔和脊髓蛛网膜下腔之间的压力梯度后,下疝的小脑扁桃体可以还纳,临床症状缓解(图 3-1-2-11)。
图3-1-2-9 内镜下脑室灌洗
a.出血后脑积水,侧脑室枕角遗留的陈旧性出血;b.脑室积脓
图3-1-2-10 脑室内多发分隔型复杂脑积水
a.MRI矢状位片示脑室内多发分隔;b.分流术后,CT显示脑室内多发分隔;c.脑室出血继发感染后,MRI显示脑室内多发分隔
图3-1-2-11 脑积水合并Chiari畸形
a.术前MRI矢状位片示脑积水,小脑扁桃体下疝;b.第三脑室底造瘘术后1周,MRI矢状位片示小脑扁桃体下疝减轻
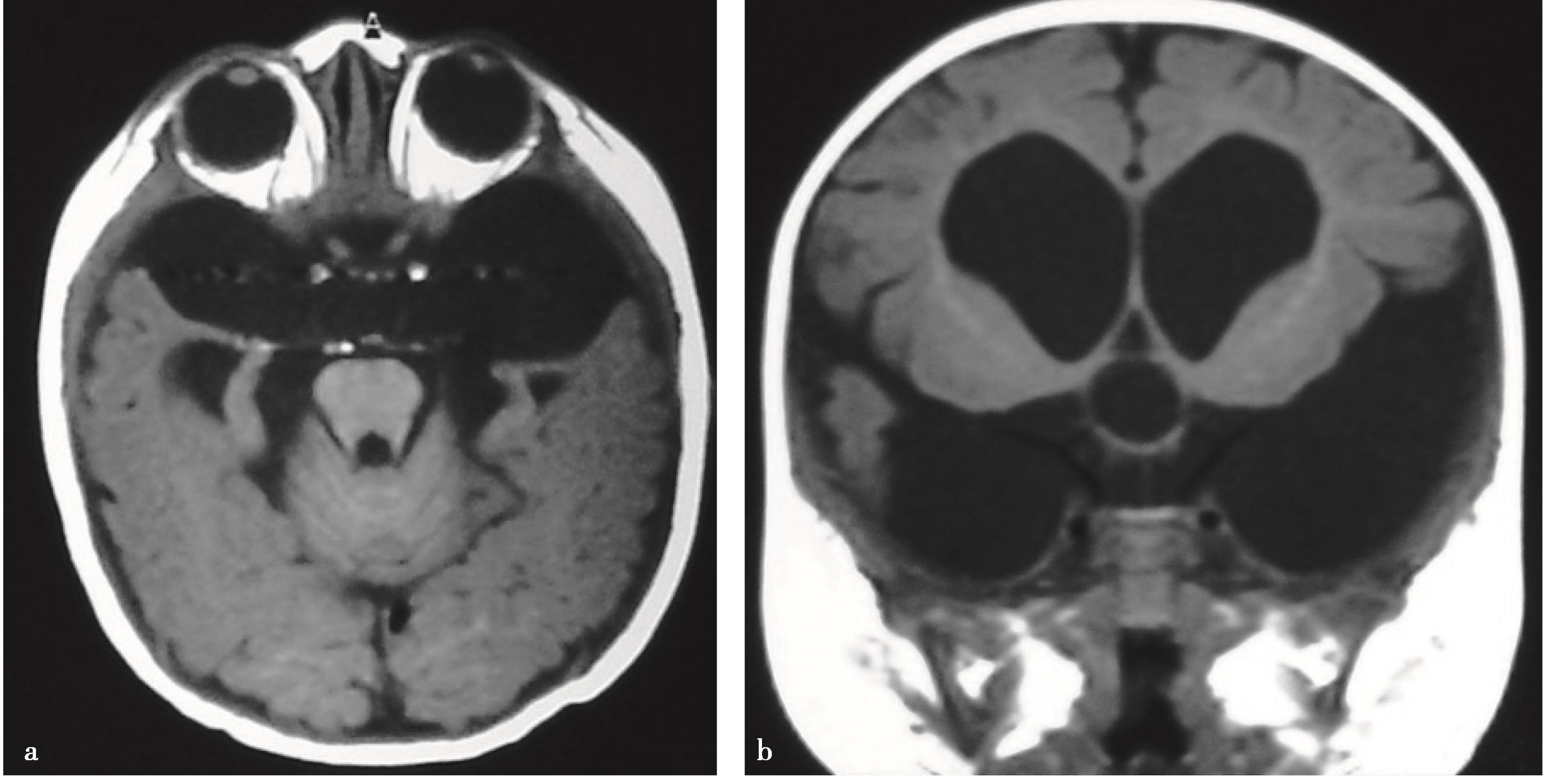
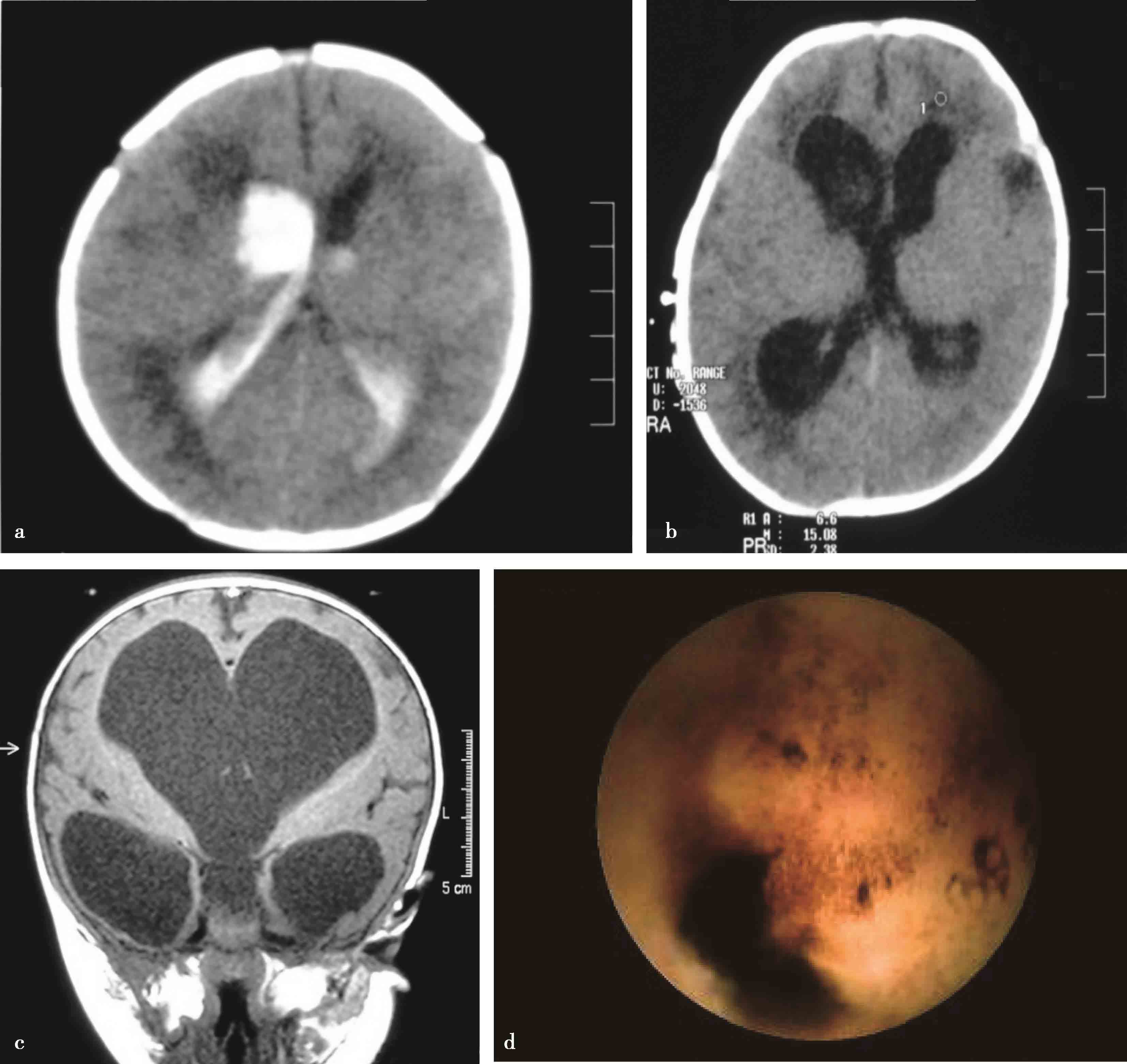
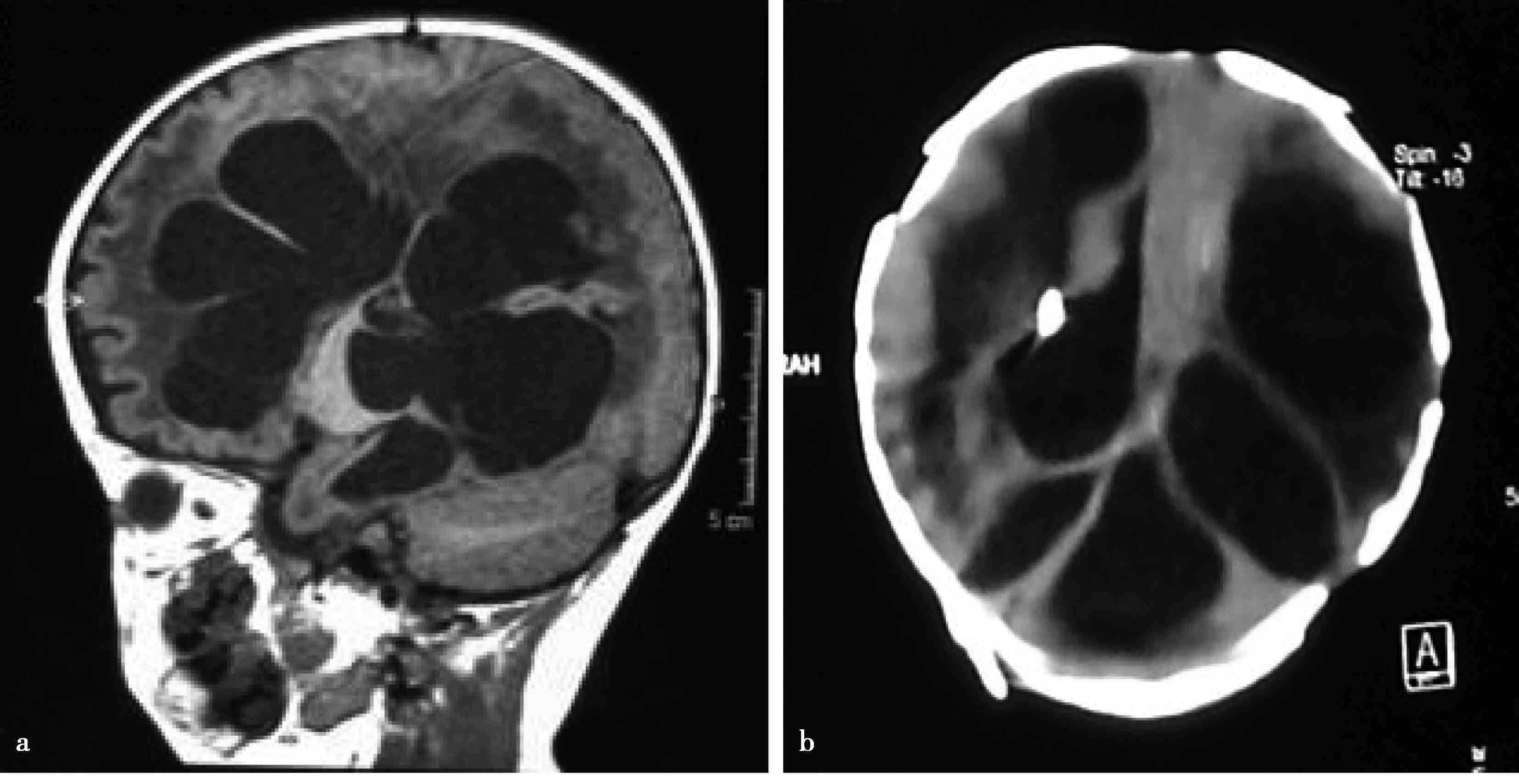
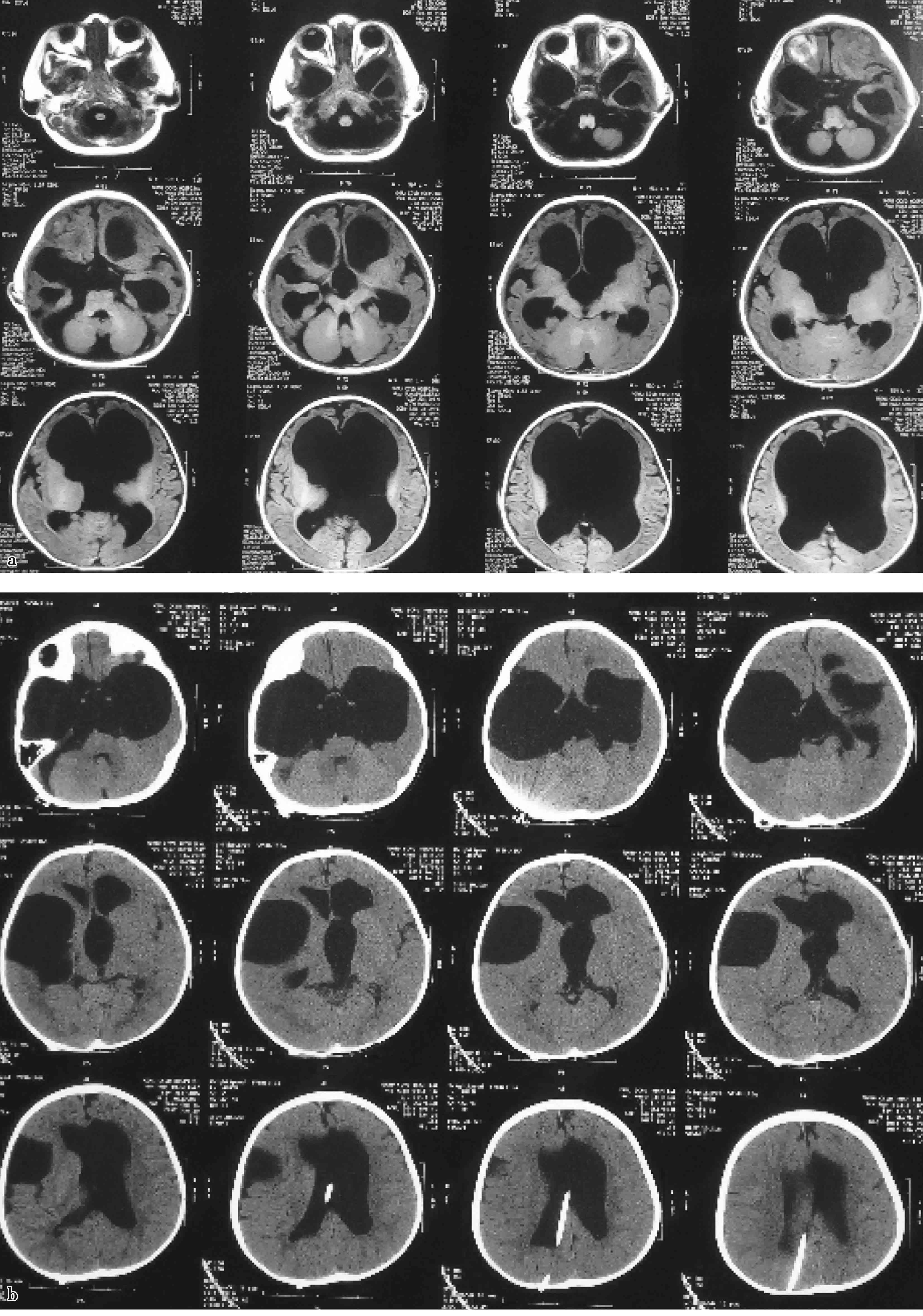
11.蛛网膜囊肿相关性脑积水的内镜治疗 蛛网膜囊肿相关性脑积水(hydrocephalus associated with arachnid cyst)的最佳治疗,是一次性同时解决囊肿和积水问题。如不能同时解决,应首先处理囊肿,禁忌单纯行脑室腹腔分流术,否则会加速囊肿增大(图3-1-2-12)。内镜下微创手术治疗,可为多数患者一次性处理囊肿和积水(图3-1-2-13)。
图3-1-2-12 蛛网膜囊肿相关性脑积
a.脑积水合并中颅窝蛛网膜囊肿及鞍上池囊肿;b.分流手术后囊肿明显增大,中线移位;c.内镜下探查见囊肿突入侧脑室;d.内镜下脑室-脑池-囊肿造瘘术,清晰显示基底池
图3-1-2-13 蛛网膜囊肿相关性脑积
a.MRI轴位片显示脑积水合并双侧颅中窝蛛网膜囊肿;b.脑积水合并双侧颅中窝蛛网膜囊肿冠状位MRI所见;c~e.内镜下第三脑室底造瘘,双侧颅中窝蛛网膜囊肿-基底池造瘘
12.脑脊液分流故障脑积水的内镜治疗 脑脊液分流手术应用于临床治疗脑积水后,手术死亡率明显降低,且手术近期疗效显著,很快成为神经外科临床脑积水治疗的主要方法。随着脑脊液分流术后各种远期并发症的陆续出现,脑脊液分流故障在临床上越来越常见,有些反复多次分流失败的病例处理起来非常棘手,经过内镜手术治疗,相当一部分患者可以摆脱分流依赖。脑脊液分流故障脑积水的内镜治疗将在本章第四节进行专门阐述。
内镜下脑室探查过程中,经常遇到混合性梗阻,如导水管和第四脑室流出道梗阻同时存在、双侧室间孔和导水管梗阻同时存在、脑室内多发分隔等复杂情形。需根据探查结果,联合应用上述各种技术进行治疗,常能获得较好的疗效。
内镜手术治疗脑积水的最大优势,是能够在内镜直视下对脑室系统进行全面探查,明确脑积水的病因及梗阻部位,并对梗阻部位通过各种手术技术进行个性化疏通,其中内镜下第三脑室造瘘术临床应用最多。所谓造瘘术,是指在正常解剖结构上没有通道的部位开窗,人为制造一条通路,使脑脊液绕过梗阻部位进行循环,属于旁路手术,需改变脑脊液循环路径;而成形术是指通过手术解除脑脊液正常循环通路上,如室间孔、中脑导水管、第四脑室正中孔或侧孔等部位因狭窄或闭塞所导致的梗阻,属于疏通手术,不改变脑脊液原有循环路径。本节以内镜下第三脑室造瘘术为代表,介绍脑积水内镜手术治疗的技术要点。
单纯第三脑室底造瘘术有硬性内镜和软性内镜两种选择。硬性内镜图像清晰,有合适的工作通道和冲洗系统,其中0°或30°镜用于手术操作,30°镜和70°镜用于第三脑室后部观察。软性内镜柔软纤细,可更方便地对脑室系统进行全方位探查,有助于明确脑积水病因及预后判断。对于第三脑室底造瘘困难者,可灵活选择终板造瘘或第三脑室-小脑上池造瘘。其他器械包括钝头活检钳、内镜专用的单/双极电凝或电磁刀、激光以及专用球囊导管等。大多数第三脑室底造瘘手术用时较短,不需采用支持臂来固定内镜。
1.体位与麻醉 采用仰卧位,头部抬高20°~30°,气管插管全身麻醉;
2.手术切口的选择应综合考虑患者年龄和头皮情况。成人可采用直切口。小儿头皮和颅骨较薄,容易发生脑脊液漏,多采用弧形切口。颅骨钻孔部位根据脑室形态、室间孔的位置和大小决定。通常采用冠状缝前1~2cm,中线旁2~3cm处钻孔(图3-1-3-1)。使用硬性内镜对骨孔位置要求较高,因为要以直线路径经室间孔到达第三脑室底造瘘部位,以减轻对脑组织的牵拉。软性内镜下对骨孔位置要求不高,可根据大脑皮层情况灵活选择。
3.脑室穿刺 切开硬脑膜,电灼皮层后切开软脑膜,以内镜穿刺导鞘行侧脑室穿刺,穿刺方向为两外耳孔假想连线,稍偏向中线。
4.置入内镜,探查脑室 内镜下可显露额角和室间孔,辨认脉络丛、丘纹静脉、室间孔、隔静脉等重要解剖结构(图3-1-3-2)。若室间孔完全闭塞,沿静脉和脉络丛的走行方向可找到室间孔。内镜通过室间孔,到达第三脑室底,可观察到漏斗、乳头体及第三脑室底等结构(图3-1-3-3)。入路方向偏向中线,可使内镜顺利通过室间孔,抵达第三脑室底中线处,利于行第三脑室底造瘘术。内镜进入第三脑室时,动作应轻柔,防止挫伤穹隆。
图3-1-3-1 手术切口及经额角-室间
a.纵行切口标记线;b.皮内缝合的弧形切口;c.矢状位示手术路径;d.冠状位示手术路径
图3-1-3-2 内镜下可见室间孔周围结构
图3-1-3-3 不同形态的第三脑室底
5.第三脑室造瘘 造瘘位置选在漏斗隐窝和乳头体之间的三角区,最薄弱的无血管处。先用内镜活检钳或单极电凝在第三脑室底进行穿刺,再用扩张球囊导管或活检钳置入穿刺孔(图3-1-3-4),扩大瘘口,通常瘘口直径不应小于5mm,以避免术后瘘口粘连闭塞。瘘口边缘少量渗血,可用双极电凝或电磁刀凝固止血。以37℃生理盐水或林格液冲洗瘘口,观察水流情况。检查下方的Liliequist膜,用同样方式打通该膜,以保证在镜下可清晰辨别基底动脉分叉和斜坡结构,确认瘘口通畅、与脚间池充分沟通。软性内镜下镜头可通过第三脑室底瘘口向下探查基底池直至枕大孔前缘(图3-1-3-5)。对第三脑室底造瘘困难或基底池粘连严重无法有效疏通者,在软性内镜下可探查终板,进行终板造瘘(图3-1-3-6)或第三脑室-小脑上池造瘘(图3-1-3-7)。
6.仔细冲洗脑室后撤出内镜和工作鞘,明胶海绵或胶原蛋白海绵填塞皮层隧道及颅孔,切口逐层缝合。
图3-1-3-4 三脑室底部及造瘘(瘘口
图3-1-3-5 软性内镜下探查基底池直
图3-1-3-6 软性内镜下探查终板进行
图3-1-3-7 软性内镜下行第三脑室
1.切口的设计
脑积水的治疗强调终身治疗。内镜手术治疗后并非一劳永逸,后期有可能因瘘口闭塞需要再次内镜手术或脑脊液分流手术。因此设计切口时应兼顾分流手术,如有需要,后期可应用原切口进行再次手术。
2.造瘘口部位的选择
为保持术后瘘口通畅,造瘘口通常选择在邻近血管部位,血管搏动有助于防止瘘口粘连闭塞。如第三脑室底瘘口下方是基底动脉顶端,终板瘘口前方是前交通动脉复合体。
脑脊液分流手术开始进入临床应用时,因操作简单,创伤小,手术死亡率明显降低,手术近期疗效显著,很快成为脑积水治疗的主要手段。但随着时间的推移,越来越多的远期并发症陆续出现,脑脊液分流手术已成为神经外科并发症最多的手术。有些患者多次行分流手术,术后的并发症处理起来非常棘手,借助神经内镜手术治疗可获得良好效果,有些患者可摆脱分流依赖。
脑脊液分流手术主要并发症,归纳起来可分为以下三大类:①分流管位置相关并发症,包括分流管堵塞、分流管与分流阀接头分离、脑室分流管被脑组织包裹、腹腔分流管穿破腹壁、胃壁、肠壁、子宫壁等进入邻近器官,或脱出体外,或疝入阴囊等。②分流压力相关并发症,包括分流不足或分流过度。脑脊液过度分流,近期有诱发硬膜下积液或硬膜下出血、脑室内出血等可能,远期可导致裂隙脑室或导水管综合征,婴幼儿过度分流后可导致颅缝早闭,形成小头畸形,限制脑组织发育。③分流术后感染,在分流术后多年仍可发生。脑室端严重感染后可形成孤立第三脑室及(或)孤立第四脑室,也可出现单侧或双侧侧脑室颞角孤立。此外,蛛网膜囊肿相关性脑积水患者进行脑脊液分流术,可加速囊肿增大,进一步加重。
1.分流管位置相关并发症的内镜治疗
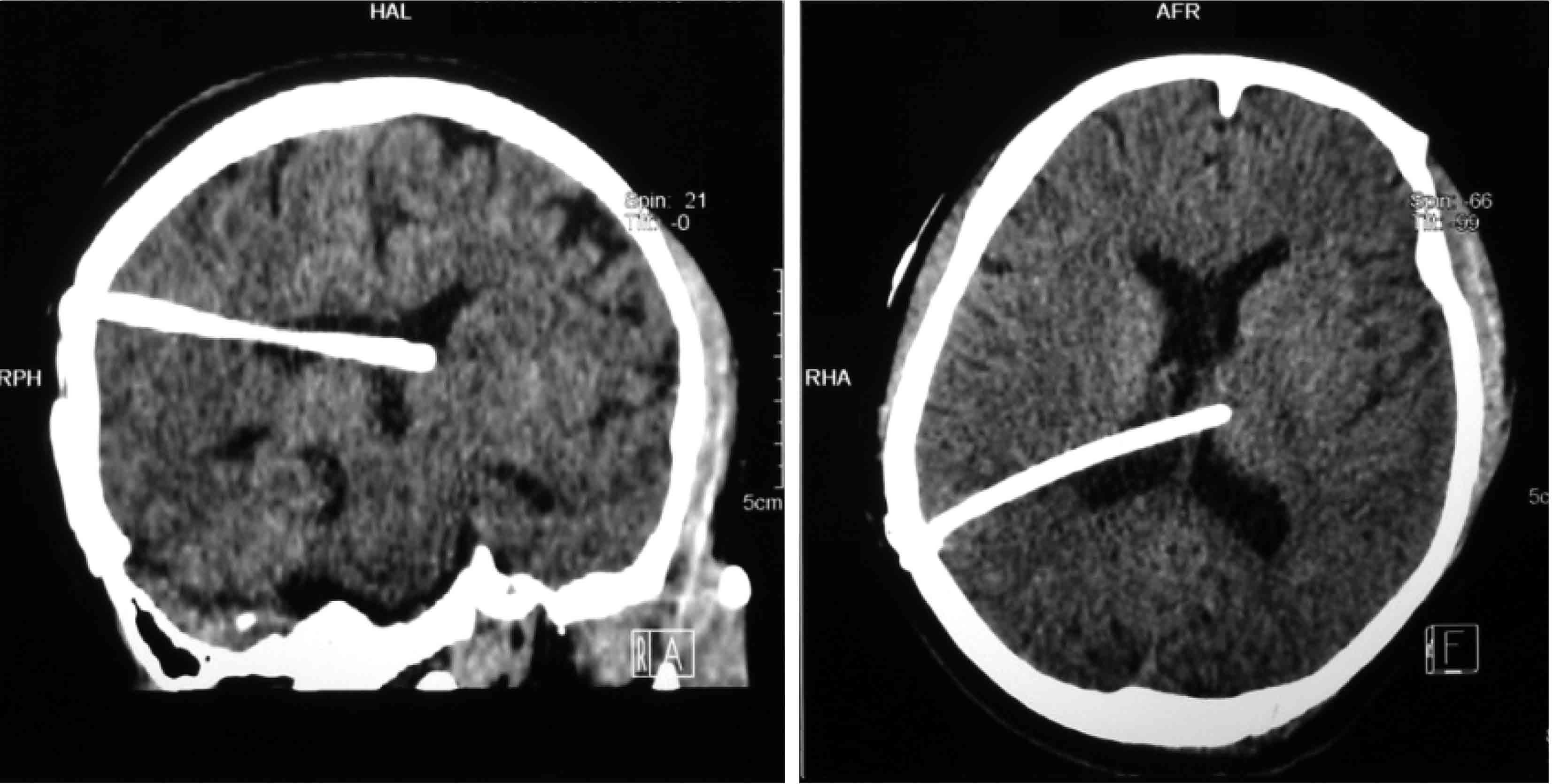
分流管堵塞的防治是脑脊液分流手术的重要技术,其发生常常与分流管位置有关。目前,脑脊液分流手术操作方法多种多样(图3-1-4-1),脑室分流管理想的位置在额角中央略偏向中线(图3-1-4-2),额角没有脉络丛,置于额角中央偏向中线,目的是分流起效脑室缩小后仍能让分流管处于中央位置,减少分流管被脉络丛包裹堵塞的概率(图3-1-4-3)。枕角穿刺置入分流管脑室端,分流管容易被脉络丛包裹(图3-1-4-4)。另外,还有许多分流手术相关并发症(图 3-1-4-5)。
对于分流管脑室端堵塞,可应用神经内镜技术,在内镜直视下,对被脑组织或脉络丛包裹的分流管进行分离、调整或取出,还可及时处理分流管取出术中的脑室出血,保障手术安全。
2.分流压力相关并发症的内镜治疗
近年应用的体外可调压分流系统大大减少了分流压力相关并发症的发生。过度分流所致裂隙脑室,孤立第三脑室和(或)孤立第四脑室,单侧或双侧侧脑室颞角孤立等并发症,处理起来非常棘手(图3-1-4-6、图3-1-4-7)。一般需首先结扎分流管,待脑室适度扩张后,在内镜下进行脑室探查,根据探查结果进行个性化手术可获得满意效果,有些患者可摆脱分流依赖。需特别指出的是,结扎分流管后要严密观察患者状况,分流管急性梗阻后,急性颅压增高有诱发脑疝的可能。
图3-1-4-1 多样的脑脊液分流手术切口
图3-1-4-2 脑室分流管的理想位置
a.CT矢状位见分流管位于侧脑室额角;b.CT冠状位见分流管位于额角略偏向中线;c.内镜下见分流管远端位于室间孔
图3-1-4-3 脑室分流管位置不当导致
图3-1-4-4 枕角穿刺置管后分流管近
a.CT矢状位片所见分流管;b.分流管近端侧孔被脉络丛包裹;c.分流管远端
图3-1-4-5 分流系统故障
a.接头断裂;b.分流管外露;c.分流管自腹壁穿出;d.腹腔分流管进入肠腔,管内充满粪便
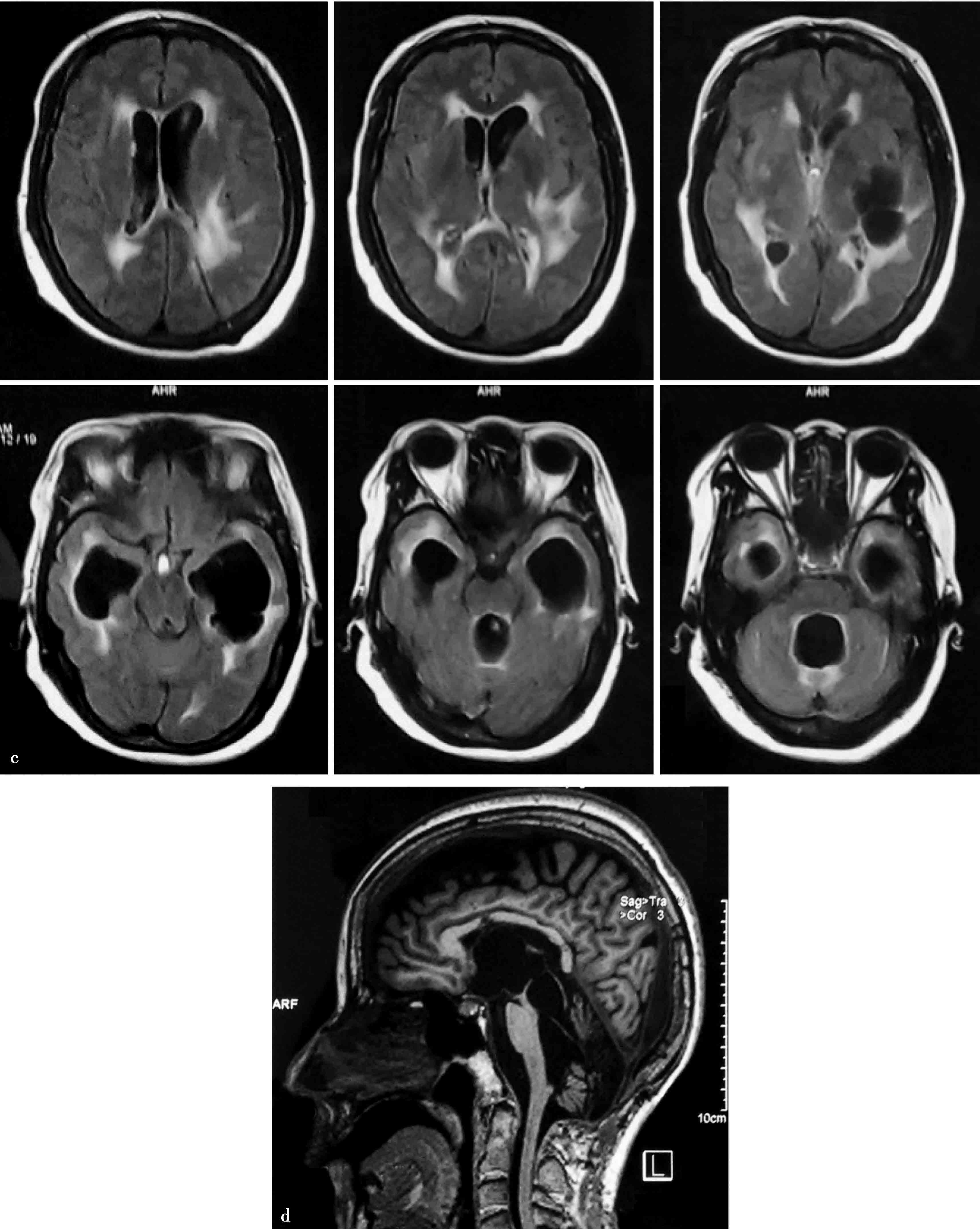
图3-1-4-6 分流术后裂隙脑室
a.CT显示双侧脑室-腹腔分流术后裂隙脑室;b.分流管结扎8小时后,CT显示脑室扩张;c.内镜下脑室探查所见脑室内分流管,其中右侧脑室内分流管被脉络丛包裹
图3-1-4-7 孤立脑室
a.MRI显示孤立第三脑室;b.CT显示幕上脑室裂隙样,孤立第四脑室;c.双侧脑室分流术后,双侧脑室颞角孤立,第四脑室孤立;d.孤立第三脑室与孤立第四脑室同时存在
3.分流术后感染
术后感染是脑脊液分流手术严重并发症之一,脑室端感染引起脑室炎,腹腔段感染导致腹膜炎,腹腔包裹或腹腔积液。分流感染一旦确诊,需尽早取出分流管,感染控制后再行后续治疗。内镜下脑室灌洗清除脑室内积脓,对脑室系统进行一次彻底清创,借助腹腔镜对腹腔感染进行探查、灌洗引流,可明显缩短分流术后感染的治疗过程(图3-1-4-8)。
图3-1-4-8 脑室积脓的内镜治疗
a.头颅CT检查显示分流术后脑室积脓;b.经室间孔、透明隔造瘘口清除双侧脑室及第三脑室内积脓;c.清除导水管内积脓,经导水管清除第四脑室内积脓;d.术后头颅CT示脑室内积脓减少
根据术后临床表现及影像学的改变,综合评估手术疗效。临床症状与体征好转,影像学检查显示脑室扩张较术前缩小;或扩张的脑室无变化或变化不明显,但临床表现有明显好转,均为有效。临床表现的改善为主要指标,而影像学表现为辅助指标。术后行MRI脑脊液电影检查,有助于判断造瘘口是否通畅。即使瘘口通畅,脑室可无明显变化,若患者临床表现明显缓解,为手术有效。如果术后患者临床表现及脑室大小均无改善,甚至加重者,被认为手术疗效不满意,可行脑室-腹腔分流术。
2006年开始,国际小儿神经外科学会(ISPN)和国际神经内镜联盟(IFNE)曾对小儿脑积水内镜手术治疗效果进行过多中心前瞻性随机对照临床试验研究,研究设计为利用10年时间,严格筛选入组病例,大体结果是经过内镜手术治疗后,临床表现及影像学检查明显好转者占1/3,临床表现有好转但神经影像学检查变化不明显者占1/3,临床表现及影像学检查均无改善者占1/3,故脑积水内镜手术治疗总有效率为2/3。随着内镜设备及技术的不断改善与提高,脑积水内镜手术治疗效果仍在逐步提高。
按照发生时间顺序,脑积水内镜手术并发症分为术中并发症、近期并发症和远期并发症。其中术中并发症包括术中出血、周围结构损伤、心率改变等;近期并发症包括术后发热、低颅压、硬膜下积液、脑脊液漏与皮下积液、间脑发作等;远期并发症主要是瘘口闭塞或瘘口远端形成新的梗阻,使手术失效。
1.术中出血 是第三脑室底造瘘术中最严重的并发症。术中损伤隔静脉、丘纹静脉、基底动脉及其分支,可造成严重残疾,甚至死亡。手术野的渗血,经过冲洗多自行停止;小的出血可使用双极电凝或电磁刀凝固止血。如果有较大血凝块存在,则需放置脑室外引流管,利于术后引流残留血性脑脊液或者血凝块。对于较汹涌的出血,术中不能控制,则需行开颅手术,故术前应做好开颅手术准备。术中应注意:①操作轻柔,避免粗暴动作;②术中持续冲洗,始终保持视野清晰,避免误伤;③在乳头体与漏斗隐窝之间无血管区进行造瘘,若第三脑室底部较厚或狭窄,操作应谨慎,动作应更轻柔。若术中发现难以造瘘,不可勉强,应及时改行脑室-腹腔分流术;④术中遇到出血,不可退出内镜,应对出血点持续冲洗,直到术野清晰为止。
2.周围结构损伤 术中操作不当可损伤丘脑、穹隆、丘纹静脉,甚至大脑内静脉,常导致严重的后果。造瘘位置不当,瘘口过于偏前,术后可出现短暂的尿崩;过于偏后或电凝时损伤乳头体,可引起记忆力缺失;过于偏外,可导致动眼神经麻痹;术中打通Liliqueist膜时,沿斜坡操作可损伤动眼神经和外展神经。
3.心率改变 包括心动过速、心动过缓/心跳骤停。术中下丘脑受牵拉可发生心动过速、心动过缓或心跳骤停,术中切忌动作粗暴,适当控制冲洗液速度和冲洗量,一般可避免。
4.术后发热 多为一过性,体温在38℃左右,经对症处理,短时间内即可缓解。术后发热可能与术中冲洗刺激下丘脑体温调节中枢或血性脑脊液有关。为减少术后发热,术中应适当控制冲洗液速度及流量,避免过度冲洗,并保持冲洗液温度在37℃左右。退出内镜前,缓慢持续冲洗脑室,将血性脑脊液及脑室内的组织碎屑冲洗干净。
5.一些患者术后出现头痛、呕吐等低颅压表现,CT显示脑室内或硬膜下积气(图3-1-5-1),可能与术中头位不当或造瘘术后脑压下降有关。气体多在短期内吸收,一般不需特殊处理。手术结束时,向脑室内注满液体,可减少气颅的发生。
图3-1-5-1 术后脑室内及硬膜下积气
6.硬膜下积液 多见于患慢性梗阻性脑积水的婴幼儿,造瘘术后脑压下降所致。由于婴幼儿的脑室严重扩张,皮层很薄,术后易出现脑组织塌陷,形成硬膜下积液。手术结束时,脑室内应注满冲洗液,避免皮层塌陷。少数先天性梗阻性脑积水患儿的脑室极度扩张,术后难以避免发生硬膜下(硬膜外)血肿或硬膜下积液。硬膜下积液大部分无症状,不需特别处理,少数需行积液-腹腔分流术。一旦出现急性硬膜下/硬膜外血肿,常需急诊开颅清除血肿。
7.脑脊液漏与皮下积液 少数患者,尤其婴幼儿,术后可出现脑脊液漏或皮下积液,主要与术后早期颅压仍较高,脑脊液漏出有关,随颅压的逐渐降低,皮下积液也逐渐消退,局部可进行加压包扎。对于这类患者,可以小骨瓣开颅,硬膜弧形切开,内镜手术通道填塞明胶海绵或胶原蛋白海绵,术后严密缝合硬膜,一般可避免脑脊液漏和皮下积液。
8.间脑发作 间脑发作则是三脑室造瘘术后比较严重的并发症,如不及时抢救常因急性肺水肿导致患者死亡。发作特点是术后2~3小时内出现症状,如无意外于24~48小时可缓解,突出表现为呼吸浅快,最高呼吸频率达120次/分;心率加快,常高达220~240次/分;血压升高,体温升高或正常,个别患者可出现癫痫大发作。婴幼儿病例更为多见,可能与婴幼儿间脑功能尚不成熟有关;合并三脑室内肿瘤行病变活检者,术后间脑发作的发生率似乎更高,其原因尚需进一步研究;第三脑室底造瘘同时行终板造瘘者,出现间脑发作的机会偏高,其原因可能是第三脑室底造瘘同时行终板造瘘时脑脊液动力学的改变更显著,从而对间脑功能的影响更大。大剂量药物镇静必要时呼吸机控制呼吸,是有效的抢救措施。
9.瘘口闭合或瘘口远端形成新的梗阻 根据二次内镜下脑室探查所见,造瘘口闭合情形相对少见,手术后效果不佳更多原因是瘘口远端形成新的梗阻(图3-1-5-2),可选择二次内镜手术治疗或脑脊液分流手术治疗。
图3-1-5-2 第三脑室底造瘘口远期演变
a.出血后脑积水第三脑室底造瘘口;b.52天后再次内镜下脑室探查见瘘口闭合;c.第三脑室底造瘘术后7个月再次脑室探查见瘘口光滑正圆,远端形成新的膜性闭塞
综上所述,脑积水的治疗需特别强调其终身治疗这一属性。脑脊液分流手术后的分流管梗阻问题始终困扰着神经外科医师,而内镜手术治疗也并非一劳永逸,术后也可能发生瘘口闭合或瘘口远端形成新的梗阻使手术失效,不管采用哪种手术方式,脑积水术后患者一旦出现高颅压表现,首先要考虑脑积水复发,需解除脑脊液循环梗阻。