



二、结果与分析 |
|
在42℃条件下持续进行480min的热应激处理,试验组心肌细胞培养液中LDH的含量值均高于对照组(图4-1),其中在热应激处理20min、480min所检测到的LDH值显著大于对照组( P <0.05)。
图4-1 热应激心肌细胞培养液中LDH的水平
[结果用平均值±标准误表示, N = 3。“*”表示差异显著( P <0.05)]
在42℃条件下持续进行480min的热应激处理,试验组心肌细胞培养液中CK的含量值均高于对照组,其中在热应激处理120min所检测到的CK值显著大于对照组( P <0.05),但热应激处理120min后,检测到的CK值呈现出下降趋势(图4-2)。
图4-2 热应激心肌细胞培养液中CK的水平
[结果用平均值±标准误表示, N = 3。“*”表示差异显著( P <0.05)]
在42℃条件下持续进行480min的热应激处理,试验组心肌细胞培养液中AST的含量值均高于对照组(图4-3),而且从热应激处理10min后所检测到的AST值与对照组相比,差异极显著( P <0.01)。
图4-3 热应激心肌细胞培养液中AST的水平
[结果用平均值±标准误表示, N = 3。“**”表示差异极显著( P <0.01)]
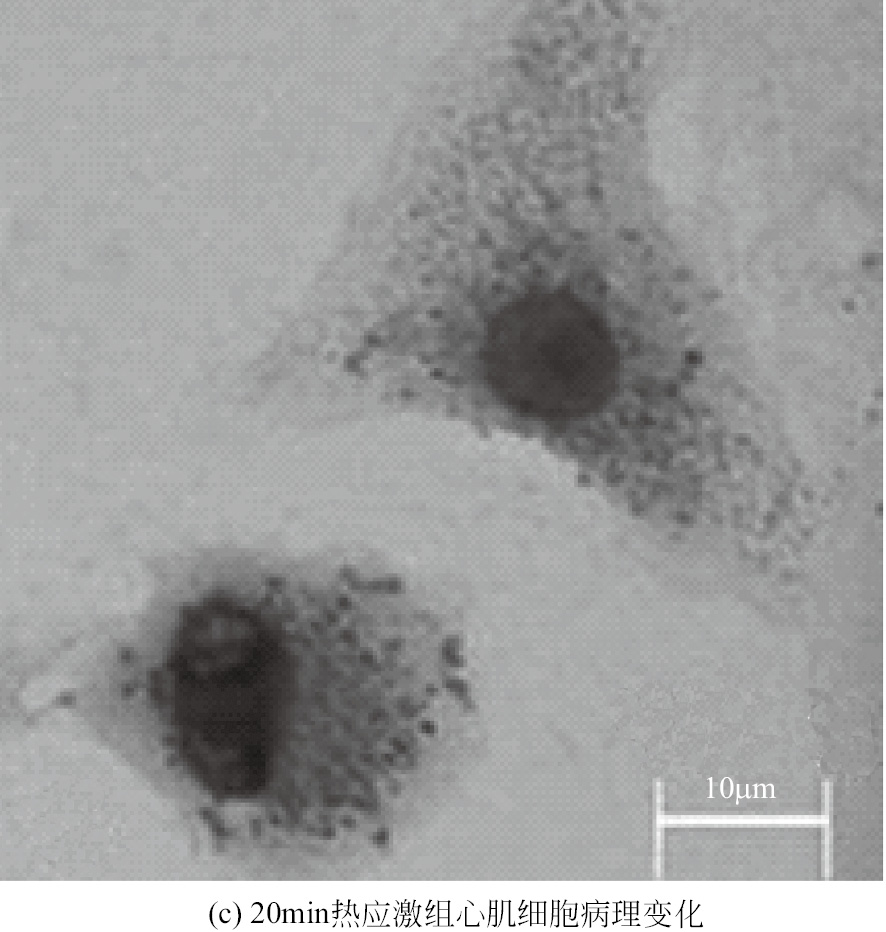
热应激心肌细胞的应激性病理损伤结果见图4-4。在42℃条件下持续进行热应激处理,10min热应激处理组心肌细胞的细胞质内出现少量红染的颗粒,细胞质稍微红染,细胞体积无明显变化[图4-4(b)];20min热应激组心肌细胞的细胞质内出现较多的红染颗粒,心肌细胞体积没有明显变化[图4-4(c)];40min热应激组心肌细胞的细胞质内出现大量密集分布的红染颗粒,细胞体积变大[图4-4(d)];60min热应激组心肌细胞的细胞质内存在大量的红染颗粒,细胞核深染[图4-4(e)];120min热应激组心肌细胞的细胞质内具有多量的红染颗粒,细胞体积显著变大,细胞核深染、体积显著缩小[图4-4(f)];240min热应激组心肌细胞的细胞质内红染颗粒显著减少,细胞核深染、体积缩小[图4-4(g)];360min热应激组心肌细胞的细胞质内红染颗粒减少,细胞染色逐渐变淡、体积无明显变化[图4-4(h)];480min热应激组心肌细胞的细胞质内红染颗粒消失,细胞质均质红染,体积无明显变化,细胞核体积、染色无明显改变[图4-4(i)]。
图4-4
图4-4
图4-4 热应激心肌细胞的应激性病理损伤结果
热应激处理心肌细胞内Hsp110的定位结果如下。对照组心肌细胞的细胞质中分布有较多的Hsp110红染阳性颗粒,细胞核中也有少量分布[图4-5(a)、(b)、(c),37℃];60min热应激组心肌细胞的细胞质内Hsp110红色阳性染色颗粒较对照组明显增多,但在细胞核内较少分布,且与对照组心肌细胞相比,无明显差别[图4-6(a)、(b)、(c),42℃];240min热应激组心肌细胞的细胞质内红色染色阳性颗粒极显著增多,而且细胞核内出现大量粉红色着染的Hsp110阳性颗粒[图4-7(a)、(b)、(c),42℃]。
图4-5
图4-5 热应激对照组心肌细胞内
图4-6 60min热应激心肌细胞内
图4-7 240min热应激心肌细胞内
在42℃条件下经过480min的持续性热应激,心肌细胞内 hsp110 mRNA的转录水平均高于对照组(图4-8)。10min热应激组心肌细胞内 hsp110 mRNA的转录量升高,但与对照组相比差异不明显( P >0.05);20~120min热应激组心肌细胞内 hsp110 mRNA的转录量显著高于对照组( P <0.01);240~480min热应激组心肌细胞内 hsp110 mRNA的转录量均极显著高于对照组心肌细胞( P <0.01),而且其转录量均数倍于20~120min热应激组心肌细胞内 hsp110 mRNA的转录量。
4-8 热应激心肌细胞内hsp110
[结果用平均值±标准误表示, N = 3。“**”表示差异极显著( P <0.01)]
在42℃条件下,经过480min的持续性热应激,心肌细胞内Hsp110的表达水平呈现逐渐升高的趋势(图4-9)。与对照相比,10min热应激组心肌细胞内Hsp110的相对表达量呈现暂时性下降,但与对照组相比差异不显著( P >0.05);20min热应激后,热应激组心肌细胞内Hsp110的相对表达量显著上升,但在热应激20~120min热应激期间,心肌细胞内Hsp110的相对表达量上升幅度有限( P <0.05);而在热应激处理240~480min期间,心肌细胞内Hsp110的相对表达量显著上升,与对照组心肌细胞相比,不仅差异极显著( P <0.01),而且其相对表达量的值均大于1.1。
图4-9 热应激心肌细胞内Hsp110的
[结果用平均值±标准误表示, N = 3。“*”表示差异显著( P <0.05),“**”表示差异极显著( P <0.01)]