



长久以来,心理学家们试图揭开人类动机之谜。为何有些人非常有自控力以及内在动力,而另一些人却发现连早上起床都很困难?20世纪60年代,实验人员就此进行了多项实验。他们将鸽子关在特制的笼子中,然后仔细观察它们的行动。笼中安装有一个开关以及一个电灯。实验人员训练鸽子,让它们每当电灯亮起时就啄开关。他们做了大量的实验,结果显示当实验人员以食物作奖励时,鸽子们学习得快得多。实验人员就此认为,人们就像是大型的没有羽毛的鸽子,因此,可以用同样的奖励措施鼓励人们做出某种行动。这一观点很快被全球各个国家各个组织接受。因此,监狱中的罪犯如果表现良好就可以享受到一定的特殊待遇;学生如果书读得好就会得到一些糖果;员工如果表现突出就能拿到奖金。
不幸的是,人们很快发现,从鸽子实验中得到的结果并不能直接推广应用到现实世界的人类身上。这些奖励系统或者没有长效,或者在某些情况下甚至会阻碍人们做出值得鼓励的行为。
艾尔菲·科恩在其《用奖赏来处罚》一书中,通过大量的证据,分类说明了奖励的负面作用。 比如说,在一项研究中,实验人员追踪了一千名想要戒烟的人。他们将这一千名烟民随机分为两组,让他们参与一个为期八周的戒烟课程。其中一组实验参与者在戒烟运动中得到了多种奖励,包括免费的陶瓷杯以及免费游夏威夷的机会;另一组的实验参与者则作为实验对照标准,并没有得到任何的奖励。一开始,奖励措施非常有用,那些获得了陶瓷杯、做着夏威夷阳光海岸之梦的实验参与者们对于戒烟这一活动显现出了非同寻常的热情。然而,当实验人员在实验开始后三个月对他们进行回访时,发现这两组实验参与者中成功戒烟的人数比例相当;而一年后,获得奖励的那一组的实验参与者中,重新开始抽烟的人数相比更多。
在另一项研究中,弗吉尼亚理工学院的心理学家埃·斯科特·盖勒回顾研究了政府鼓励民众系安全带的二十八项做法。六年间,在仔细研究过二十五万人次的数据后,他得出了一个结论:要鼓励人们养成长期系安全带的习惯,以现金或礼物作奖励这种方式效果最差。同样,也有人研究了奖励在校学生读书的项目,发现其并没有对提高学生阅读兴趣产生长期的积极影响。
此外,实验人员还研究了对艺术创造行为的奖励。没准儿你会以为,若给艺术家们提供一大笔钱,他们就会文思泉涌、灵感迸发。但是布兰德斯大学的特里萨·阿布马勒邀请了一批专业艺术家,请他们评价一些受客户委托以及自发创作而成的艺术作品的艺术价值。她发现,比起那些受客户委托创作而成的艺术作品,那些自发创作的艺术作品获得的评价更高。
由于担心以上结果的产生并非受到奖励的负面影响,而是因为艺术家自己的创作风格受到了委托人要求的制约,阿马比尔进行了一项更为严密的研究。她招募了一批作家新人,请他们写一首俳句风格的诗,其中第一行和最后一行都要用到“雪”这个词。然后,她将实验参与者分为两组。她鼓励第一组中的作家们畅想自己成名后滚滚而来的金钱和声望;鼓励第二组作家仔细想想他们从创作中得到的乐趣。此后,每个人都围绕欢笑这一主题创作了另一首诗。
阿马比尔请来一组专业诗人,请他们阅读这些关于雪和欢笑主题的俳句,然后请他们对每一首诗所体现的创造力进行评价。结果,在第一首关于雪的诗中,两组实验参与者表现出的创造力相当。然而,在那首关于欢笑的诗中,之前做过写作成名梦的创作新人们表现出的创造性明显不佳。由此,我们可以看出,即使是仅仅想象自己获得奖励也会有负面效果。
实验结果令许多心理学家深感震惊。为何在实验室中运作良好的奖励系统在现实生活中却常常碰壁呢?
如果你有机会和一个社会心理学家相处一段时间,你迟早都会听到这样一个关于明智的老人和骂人的孩子的故事。
据说,从前有一位明智的老人,生活在一个环境恶劣的社区。有一天,一群粗暴的十几岁的孩子决定要让他的日子不好过。因此,他们每天都会经过老人的门前,并且对他大声叫骂。如果是其他老人的话,他们估计会大声回骂这些孩子,或者报警,或者指望着这群孩子最终会有一天厌倦这种小心眼的行为。但是,这位明智的老人没有那么做。他深谙人的心理,因此想出了一个完全不同、但是更加狡猾的主意。
他坐在门外,等着那群孩子的到来。等他们出现了,老人马上给他们每人一张五镑纸币,并跟他们说,他很愿意付他们钱、听他们骂他。孩子们很困惑地接过钱,像往常一样骂骂咧咧地走了。老人如此做了一整周。
第二周,情况有点不同了。当孩子们过来时,老人对他们说,自己上周没赚到多少钱,所以只能给他们每人一镑钱了。孩子们并未受此影响,继续接过钱,幼稚地骂骂咧咧。
第三周,情况又发生了变化。当孩子们到来时,老人向他们解释,自己上周依旧没赚到什么钱,因此只能给他们每人付二十便士了。这次,孩子们嫌钱太少,拒绝继续叫骂。
这个故事肯定是假的,但是它告诉我们,人们究竟为什么会做出某种行为。要想真正理解故事中老人的智慧,我们需要回到20世纪70年代,看看如果付钱给一群人让他们玩木制拼图游戏会发生什么。
心理学家爱德华·德西非常喜欢一种市面上有售的名叫“苏马”的拼图游戏。这个游戏需要人们用几块形状奇特的木块拼出一个特定的形状。德西想用这个拼图游戏进行试验,看看“表现”原理是否能够影响人的行动力。
德西将志愿者们请到实验室来,让他们花30分钟的时间玩拼图游戏。开始之前,他告诉一些志愿者,如果他们能够拼出某形状,他们就会得到金钱奖励;另一些人则没有奖励。
30分钟过去了,德西告诉实验参与者,拼图游戏时间结束。然后对他们说,自己将实验下一个环节需要的文件忘在了办公室里,需要离开实验室回去取一下。正如社会心理学试验中的大部分情况一样,“我现在得离开实验室”只是个实验手段而已。实验真正重要的部分才刚刚开始。
德西离开了10分钟。这10分钟里,志愿者可以继续玩拼图,或者阅读之前故意摆在附近桌子上的杂志,或者什么都不做。其间,德西会全程观察他们的行为。
传统的从鸽子实验得出的奖励理论认为,那些玩游戏有奖励的人应该认为游戏更加有意思,因此他们更可能在德西离开实验室后继续玩拼图。相反,“表现”原理则对此有一套不同的看法。
根据“表现”原理,那些玩拼图有物质奖励的实验参与者会不自觉地认为:“别人之所以付我钱,是因为他们想让我做我不想做的事情;他们付我钱来玩这个拼图游戏,那么这个游戏肯定不好玩。”以同样的逻辑,那些没有物质奖励的人会想:“别人想让我做我不喜欢的事情时才会付我钱;他们让我玩这个拼图游戏但没有付我钱,那么它肯定很好玩。”如此,那些获得奖励的人会表现得好像他们不想玩这个拼图游戏,而那些没有得到奖励的人则表现得仿佛这个拼图游戏很好玩。根据“表现”原理,德西的奖赏反而把有趣的游戏变成了艰难枯燥的任务,因此那些获得物质奖励的人在他离开屋子后往往立马把游戏扔在了一旁。
德西的实验结果极好地证实了“表现”原理的魔力。且不论实验参与者拼图完成情况如何,那些之前没有得到物质奖励的人更愿意玩拼图游戏。
其他实验人员很快也做了几个类似的实验,以验证这一有趣的实验结果是否属实。其中最著名的实验莫过于斯坦福大学心理学家马克·莱珀及其同事做过的一个实验。他们来到一些学校,让学生们画画。在拿到画笔和画纸之前,莱珀告诉一组学生,如果他们画画的话,他们就会得到一枚“好孩子”奖章;而另一组学生则没有得到相应的许诺。根据“表现”原理,那些得到奖章的孩子会下意识地认为:“只有当大人们想让我做我不喜欢做的事情时,他们才会给我奖励;画画会得到奖章,所以我肯定不会喜欢画画的。”同样,另一组孩子会想:“当大人们想让我做什么事情时,他们会给我奖励;我画画,他们没有给我任何奖励,那么我就肯定会喜欢画画的。”
几周后,莱珀及其团队回到这所学校,又向孩子们分发了绘画的原料,并且仔细观察孩子们是如何利用它们绘画的。几周前得到奖章的孩子比起其他人画画时间明显短得多。
这些实验的结果相当显著。通过奖励学生、吸烟者和开车者,实验人员其实是在鼓励他们表现得仿佛自己并不喜欢读书,并不想戒烟,并不想系安全带一样。结果,如果不再有奖励的话,人们往往会不再做那些之前获得过奖励的行为,因此奖励甚至会起到反作用。 短期看来,奖励机制是有效的。但是,长期看来,相关组织不得不持续提供特别的优待、糖果、礼物、奖金等奖励措施;一旦奖励没了,人们的动力也会烟消云散。
在确定“表现”原理对人的动机起着重要作用后,研究人员开始探索如何利用这一原理激励人们行动起来。
在工作场合,商业领袖们认为,应该通过帮助员工在工作中形成强烈的自主性、目的性、趣味性,使他们真正地爱上工作。在私人生活方面,一些心理学家开始注意“角色扮演”这一方法。比如说,在哈佛大学莱昂·曼的实验中,他突破性地对戒烟这一问题进行了研究。
曼邀请26名重度吸烟成瘾者来到他的实验室,并将他们随机分为两组。第一组中,实验参与者要通过扮演肺癌患者这一角色,以表现得好像他们就要戒烟了一样。为了使角色扮演更加真实,曼还在学校的办公室里特意布置了一间假的医生办公室。当实验参与者来到这间办公室时,他们会看到许多不同的医疗器械以及一位穿着白大褂的演员。这个演员将扮演医生,他拿出一张假的X光片,告诉你情况不大妙。据一系列虚假的医疗记录显示,实验参与者患上了肺癌。然后,实验参与者要对此做出反应,与医生讨论他的戒烟计划。
相反,作为实验对照的另一组实验参与者,他们也会被诊断出得了肺癌,但是他们不必进行角色扮演,不必改变自己的行为。
实验结果相当惊人。实验开始时,每个参与者平均每天吸烟25支。实验开始后,很快,对照小组的实验参与者每日抽烟量平均减少了5支,而进行过角色扮演的实验参与者每日吸烟量平均减少了10支。实验参与者减少吸烟量的表演对他们的实际行动产生了巨大的影响。随后几年中,实验人员对这些实验参与者进行了追踪调查,发现这一影响是长期的。实验结束两年后,与对照小组中的实验参与者相比,那些进行过角色扮演的烟民的抽烟数量依然明显少得多。
除了为工作冠以意义、让人们在日常生活中进行角色扮演外,心理学家们还忙于探究小小的行动如何产生令人吃惊的大影响。
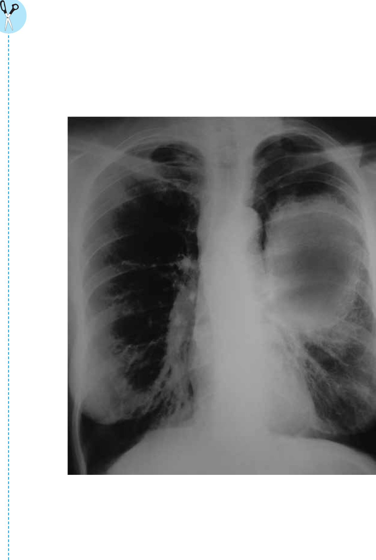
你在试着戒烟吗?也许“角色扮演”这种方法能够帮助你戒烟。找一位好朋友阅读以下关于肺癌的段落,撕掉下一页上的肺部X光片。然后,让你的朋友利用这些信息,扮演一位医生,向你提出戒烟的建议。你应该尽量地融入角色,问“医生”问题,并向他解释自己准备如何戒烟。
肺部位于人体的胸腔上部。人每次吸入空气时,肺部会将其中的氧气提取出来,并将其传送至血液中;每次呼出空气时,肺部会将血液中的二氧化碳分离出来,通过呼气排出体外。
许多吸烟者患有“慢性阻塞性肺疾”或肺气肿。该病会损害肺部转换氧气和二氧化碳的能力,使人感到呼吸困难,阻碍氧气进入人体。肺气肿是西方国家中常见的致死疾病。
此外,香烟中含有一些有毒的化学物质,可能导致肺癌。医生使用X光检测病人是否患有肺癌。在X光片中,黑色的部分表示X光没有受到阻碍,白色的部分则表明X光遇到了一些障碍物,如致密组织或骨骼。
上一页是一张X光片,其中该病人左侧肺部患有癌症。此人60出头,这辈子吸烟成瘾,每天都抽很多支烟。他的肺部有大量的伤疤以及癌细胞,就是X光片上这些白色的组织。肺癌的后果是非常可怕的。比方说,癌细胞直径超过1英寸的患者,即使接受最有效的治疗,也只有不到一半的人能活过五年。像这个病人,根据他的X光片情况,也许他活不过一年。
你吸烟多久了?你是不是已经感到呼吸困难了?你是不是有一些健康问题?如果你继续吸烟,很可能几年后你的X光片就会和这位病人一样了。你对此感觉如何?想想看,这会给你自己以及你身边的人带来怎样的影响?
这是个不好的消息。但好在,你的未来还没有板上钉钉呢。你还有机会做出改变。为了让几年后那张X光片下面的名字不是你,你打算做些什么?